Ответить
|
Re: Незавершенный перелом
Олегыч 03 Декабрь 2012, 22:39
|
Возраст пациента? Снимки, если есть возможность.
|
[
Ответить ]
|
Re: Незавершенный перелом
лёва 03 Декабрь 2012, 22:57
|
только у детей.
|
[
Ответить ]
|
Re: Незавершенный перелом
Denis Glukhov 04 Декабрь 2012, 14:28
|
Вопрос, насколько я понял, достаточно праздный и сугубо теоретический (без привязки к конкретному пациенту). При формулировке диагноза необходимо пользоваться общепринятыми классификациями. Не припомню классификацию переломов "по завершенности", хотя ... я понимаю о чем идет речь и даже могу привести примеры...
|
[
Ответить ]
|
Re: Незавершенный перелом
Сергей Александрович 04 Декабрь 2012, 16:09
|

лет 38
|
[
Ответить ]
|
Re: Незавершенный перелом
Отправитель: Александр 05 Декабрь 2012, 03:46
|
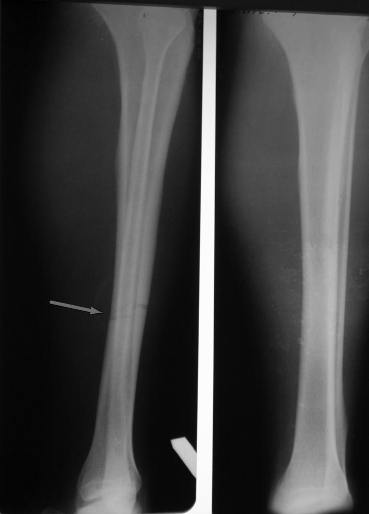
А где Вы увидели "незавершенный перелом"???
Вполне-таки нормальный поперечный перелом 4-2-A3 по классификации АО.
Сделайте прямую проекцию правильно, без ротации и сами в этом убедитесь.
|
[
Ответить ]
|
Re: Незавершенный перелом
Отправитель: Олегыч 05 Декабрь 2012, 21:42
|
Полностью согласен! П
|
[
Ответить ]
|
|
Re: Незавершенный перелом
Андрей 04 Декабрь 2012, 17:12
|
Такой диагноз имеет место быть.
|
[
Ответить ]
|
Re: Незавершенный перелом
Отправитель: Антон Жаглин 06 Декабрь 2012, 10:31
|
Это что-то типа "немного беременная", да?
|
[
Ответить ]
|
|
Re: Незавершенный перелом
техник 04 Декабрь 2012, 19:17
|
Есть в нашей старой отечественной литературе термин - незавершенный ( пронационный или супинационный) перелом лодыжек.Термин существует, диагноза такого нет.
|
[
Ответить ]
|
Re: Незавершенный перелом
alexandr 04 Декабрь 2012, 23:07
|
В популярных классификациях такого таксона нет. Это относится к переломам без смещения с учетом локализации. Приемлимо в кругу травматологов в разговорной речи.
|
[
Ответить ]
|
Re: Незавершенный перелом
Сергей Александрович 07 Декабрь 2012, 01:02
|
Спасибо за ответы, смысл понятен. Смутило еще то, что кроме не большого отека нет ни пато подвижности, не деформации, не крепитации.
|
[
Ответить ]
|
Re: Незавершенный перелом
Djoldas Kuldjanov, M.D. 07 Декабрь 2012, 18:17
|
Существует термин “неполный перелом” (incomplete fracture), когда линия перелома не пересекает поперечник кости. В основном встречается у детей, после стрессовых состоянии, а также после огнестрельных ран. Переломы у детей можно лечить консервативно, а у взрослых зависит от вовлечения диаметра кости. При вовлечении более 40% поперечника, во избежании перелома и смещения, нагрузочные кости лучше профилактически фиксировать.
В данном случае изолированный поперечный перелом большеберцовой без вовлечения малоберцовой. Проверка на деформацию и на крепитацию очень плохая идея!
|
[
Ответить ]
|
Re: Незавершенный перелом
Отправитель: травматолог 06 Январь 2013, 16:16
|
термин “неполный перелом” (incomplete fracture), когда линия излома не проходит через весь поперечник кости.
энциклопедический словарь медицинских терминов в 3-х томах. т.2, -1983г.
|
[
Ответить ]
|
|
Re: Незавершенный перелом
Андрей 07 Декабрь 2012, 23:22
|
Ув. коллеги!
В плане дисскусии внесу смуту:)
1. неполный перелом ( по типу зеленой ветки) у детей.
2. А куда мы отнесем (прилепим) стрессовый (маршевый) перелом у молодых (солдат, 8 часов на плацу).
Сам попадался, на Р НИЧЕГО, КТ прерывание более половины кортикального слоя.
С ув. Андрей!
|
[
Ответить ]
|
Re: Незавершенный перелом
Отправитель: Алибек 14 Декабрь 2012, 04:55
|
1.по типу " зеленой ветки" -по моему исчерпывающая характеристика незавершенного(неполного) перелома.
2. A зачем его куда- то относить? Пусть остается стрессовым (маршевым).
До сих пор все было ясно и понятно, но классификационный зуд не дает нам покоя. Хотя с позиции международной унификации наверно имеет смысл.
|
[
Ответить ]
|
Re: Незавершенный перелом
Отправитель: Евгений 05 Январь 2013, 20:09
|
а как на счёт костного дефекта на пол поперечника трубчатой кости, например, как следствие воздействия "болгарки"? У нас он "открытый краевой перелом с дефектом костной ткани"?
|
[
Ответить ]
|
|
( Ответить )
|