Ответить
|
Re: Перелом верхней трети костей голени
Сергей Хомич 10 Декабрь 2012, 17:28
|
Думаю - достаточно одной! При плохом качестве кости - используйте пластину с угловой стабильностью :-))
|
[
Ответить ]
|
Re: Перелом верхней трети костей голени
Alexander Chelnokov 11 Декабрь 2012, 19:12
|
Тут вполне можно не связываться с пластинами, а сделать закрытый интрамедуллярный остеосинтез.
|
[
Ответить ]
|
Re: Перелом верхней трети костей голени
Игорь Беленький 11 Декабрь 2012, 19:13
|
Уважаемый Марк!
Не так важно, какую пластину Вы выберете. Важно то, как Вы её поставите. Мы в подобных случаях используем пластину в качестве мостовидной и имплантируем её малоинвазивно, контролируя положение отломков, пластины и винтов ЭОПом. При этом не стремимся к идеальной репозиции, а восстанавливаем только ось, длину и устраняем ротационные смещения. Если после этого есть сомнения в медиальной стабильности, Накладываем медиально моноплоскостной наружный фиксатор на непродолжительное время. Он намного предпочтительнее второй пластины в биологическом смысле. Традиционный остеосинтез со вскрытием зоны перелома также возможен.
С уважением,
Игорь Беленький
|
[
Ответить ]
|
Re: Перелом верхней трети костей голени
Юрий Алексеевич Булахтин 11 Декабрь 2012, 19:18
|
Уважаемый Марк!
Мало информации - общий статус пациента, запросы к срокам
восстановления и т.п. Почему Вы сами говорите о второй пластине, но ее не планируете? Доступны ли другие варианты остеосинтеза?
Юрий Алексеевич Булахтин, Камчатский Военно-морской госпиталь
|
[
Ответить ]
|
Re: Перелом верхней трети костей голени
Djoldas Kuldjanov 11 Декабрь 2012, 19:29
|
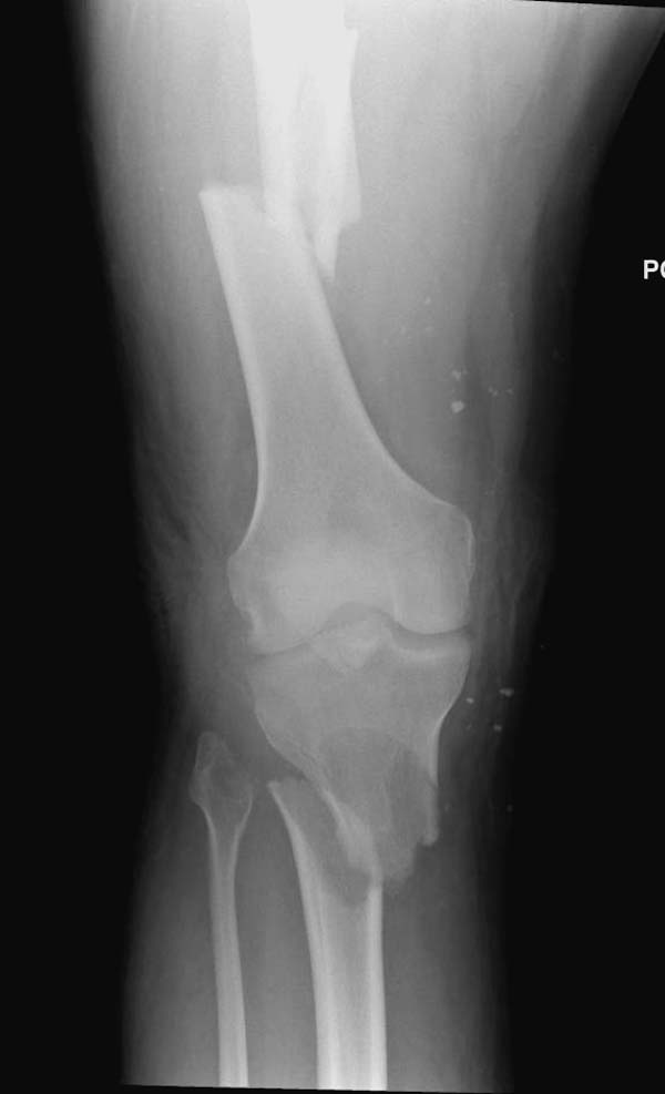
Здесь, кроме перелома верхней трети голени, имеется вовлечение сустава, и, чтобы не пропустить смещение суставной поверхности, надо делать КТ. Срезы КТ покажут о необходимости субхондральной фиксации, которая проводится 3.5 мм параллельными шурупами (Raft technique). Не имеет значения, как проводить: отдельно субхондрально или через верхний ряд пластины. Главная задача фиксации удержать суставную поверхность от коллапса в вальгус или варус.
Фактически все компании выпускают проксимальные с угловой стабильностью пластины. Можно от DePuy, потому что у них имеются различные варианты преконтурированных пластин, подходящих для любой голени. http://www.biomet.com/traumaTransition/fileLibrary/BMET0001.0ALPSProxTibia.pdf
Кроме этого, у них имеются более толстые полиаксиальные, но в данном случае это не имеет значения, потому ято в любом варианте нагрузку можно разрешить только после 10-12 недели. http://www.biomet.com/traumaTransition/products/platesScrews/polyaxPeriarticularPlatingSystem.cfm#overview
Здесь случай, так называемого floating knee перелома выше и ниже коленного сустава.

Djoldas Kuldjanov, M.D.
|
[
Ответить ]
|
Re: Перелом верхней трети костей голени
Отправитель: Савранский Александр 13 Декабрь 2012, 00:02
|
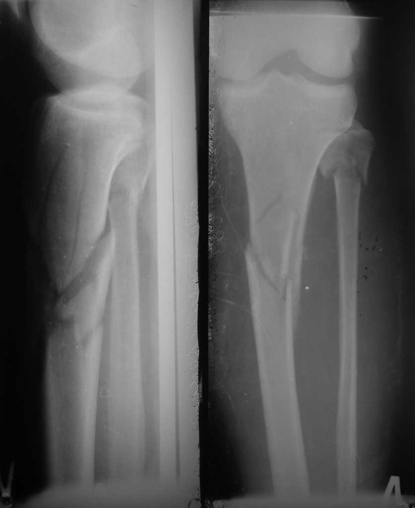
здравствуйте! создается впечатление о фиксации перелома голени в варусном положении
|
[
Ответить ]
|
Re: Перелом верхней трети костей голени
Отправитель: Djoldas Kuldjanov, M.D. 15 Декабрь 2012, 11:49
|
Согласен, на снимке “создается впечатление о фиксации перелома голени в варусном положении”, но на других отсутствует..

|
[
Ответить ]
|
|
Re: Перелом верхней трети костей голени
Савранский Александр 13 Декабрь 2012, 00:07
|
LCP по медиальной поверхности+артроскопический контроль суставной площадки
|
[
Ответить ]
|
Re: Перелом верхней трети костей голени
Volodymyr Kovalchuk 14 Декабрь 2012, 02:07
|
Одной пластины будет достаточно.
|
[
Ответить ]
|
Re: Перелом верхней трети костей голени
BONEDOC 15 Декабрь 2012, 16:47
|
Оптимальный метод БИОс штифтом PTNL
|
[
Ответить ]
|
Re: Перелом верхней трети костей голени
Андрей 15 Декабрь 2012, 20:08
|
Коллеги!
1 механизм травмы и вид мягких тканей?
2.Если все стандартно - Я своего родственика я бы полечил вытяжением и этапными повязками.
|
[
Ответить ]
|
Re: Перелом верхней трети костей голени
Андрей 17 Декабрь 2012, 22:29
|
Ув. коллеги!
в плане обсуждения:
1. 1 пластина?
2. 1 пластина + артроскопия?
3. интомедулярный стержень?
4. скелетное вытяженние 4 нед, затем гипс. повязка 4-6 нед.
А ответить как для родных...
С ув. Андрей.
|
[
Ответить ]
|
Re: Перелом верхней трети костей голени
Отправитель: Роман 09 Январь 2013, 23:31
|
надо очень сильно ненавидеть своих родственников чтобы лечить их по 4му пункту.
|
[
Ответить ]
|
|
Re: Перелом верхней трети костей голени
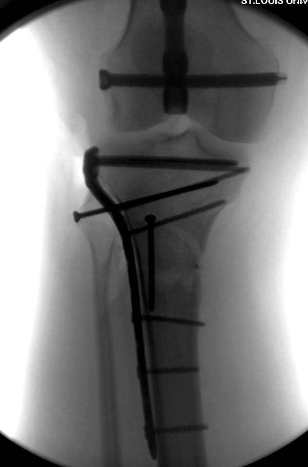
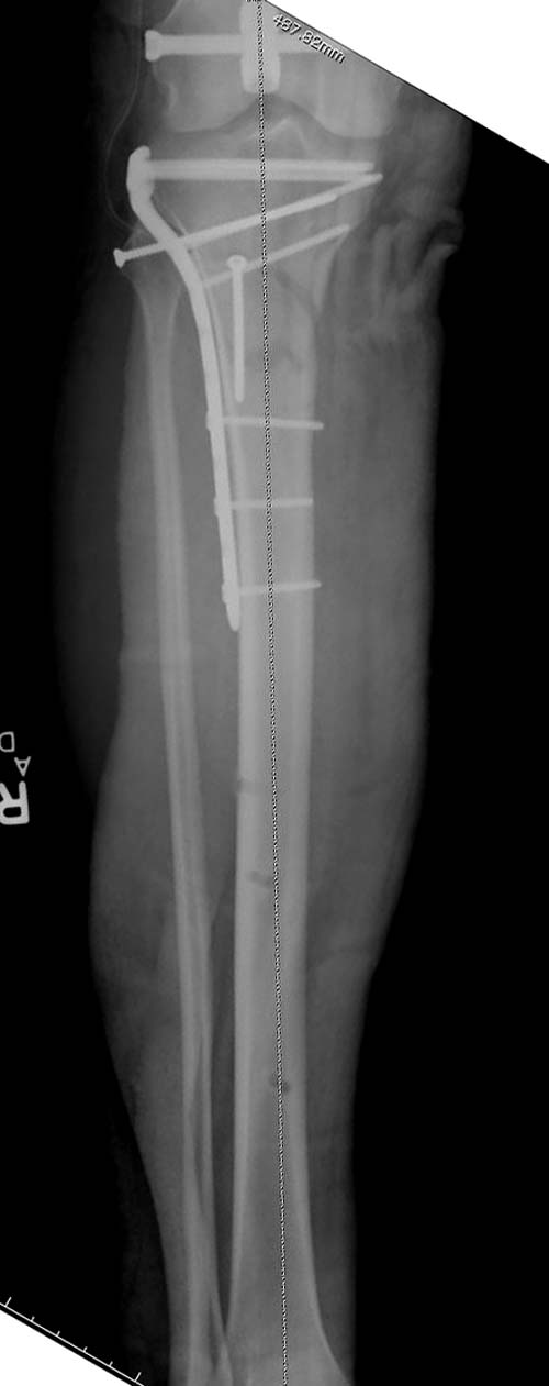
Maxim Agalakov 11 Январь 2013, 11:27
|

Похожий случай, вчера прооперировали. Непрямая репозиция, малоинвазивный остеосинтез без обнажения зоны перелома.
|
[
Ответить ]
|
( Ответить )
|