вверх
отправить
поиск
админ
главная
|
Ложный сустав шейки бедра и неправильно срастающийся сегментарный перелом костей голени |
 |
 |
 |
Отправлено Абдурашид 17 Декабрь 2012, 23:04
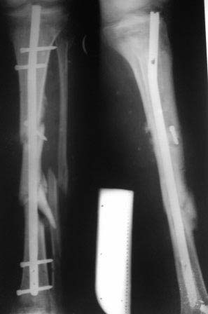
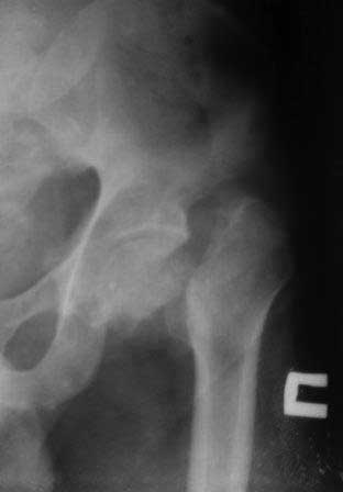
Здравствуйте, уважаемые коллеги!Больной 1976г.р. получил тяжелую сочетанную травму в апреле ,был в коме около 1 месяца. 09.05.12г.операция КДО аппаратом Илизарова в другом регионе,перелом шейки бедра пропущен. Обратился к нам сегодня для дальнейшего лечения, ходит c двумя костылями, укорочение 4см, на правой голени аппарат Илизарова в вальгусном положении, разболтанность в пр.т/б суставе,повреждение ипсилатеральное. В плане сначала БИОС б/берцовой кости после остеотомии м/берцовой и коррекции деформаций голени,после т/эндопротезирование пр. т/б сустава, Нужен совет: 1.последовательность операции? 2.или другие варианты лечения? С уважением Абдурашид. р-снимки прилагаются-от 17.12.12г.
<
|
>
|
|
Ответить
|
Re: Ложный сустав шейки бедра и неправильно срастающийся сегментарный перелом костей голени
Александр Ангельский 18 Декабрь 2012, 19:34
|
Если нет признаков воспаления (раны, воспаление м/тканей вокруг спиц и т.п.) или остеомиелита голени, то я бы начал с протезирования сустава, создав опорную конечность, а затем доводка голени до оптимальной биомеханических взаимоотношений с другой конечностью при ходьбе для расставания с костылями. Кстати второй этап можно оставить проводить в аппарате, с его естественно коррекцией по классике Илизарова, или аппарат на штифте ( как вариант). Обязательно учесть последствия комы. Если же есть воспаление на голени фиксированной аппаратом, то начинать с голени и корректировать воспалительную реакцию. С уважением Ангельский Александр.
|
[
Ответить ]
|
Re: Ложный сустав шейки бедра и неправильно срастающийся сегментарный перелом костей голени
Отправитель: Абдурашид 18 Декабрь 2012, 23:20
|
Спасибо Александр!
Воспаление м/т вокруг спиц нет, аппарат стоит около 8-месяцев, мы эндопротезирование начали недавно и инфекцияфобия выражена сильно-все ж открытая ворота в этой конечности, поэтому хотели бы начать с голени, исключить всякую возможную инфекцию, и еще надо ли опустить б/вертел вниз вытяжением или другими способами перед протезированием?
С уважением Абдурашид.
|
[
Ответить ]
|
|
Re: Ложный сустав шейки бедра и неправильно срастающийся сегментарный перелом костей голени
maxim agalakov 19 Декабрь 2012, 17:16
|
Мне кажется, нужно заштифтовать голень,с шейкой вроде шансов нет. Заживить раны, потом протезировать.
|
[
Ответить ]
|
Re: Ложный сустав шейки бедра и неправильно срастающийся сегментарный перелом костей голени
Отправитель: Абдурашид 22 Декабрь 2012, 23:01
|
Максим, спасибо. Мы готовимся так и делать. Только думаю закрыто не получиться, в проксимальном изломе нам придется о/остеотомия,адаптация к/отломков и репозиция, хотя у Александра Николаевича я точно знаю имеется другая тактика и очень хотелось бы узнать методику(схематично) и использовать в данном случае.
С уважением Абдурашид.
|
[
Ответить ]
|
Re: Ложный сустав шейки бедра и неправильно срастающийся сегментарный перелом костей голени
Отправитель: Абдурашид 24 Декабрь 2012, 22:56
|

Добрый вечер.Больной лежит на платной койке, долго ждать не можем, сегодня прооперировали: в обл. проксимального перелома открытая (разрез кожи 5см) остеотомия, репозиция, в дистальном закрытая остеоклазия,коррекция деформации.Но после введения гвоздя проксимальный фрагмент смещается кпереди, поэтому пришлось фиксировать винтом.
Р-снимок прилагается.
C уважением Абдурашид.
|
[
Ответить ]
|
Re: Ложный сустав шейки бедра и неправильно срастающийся сегментарный перелом костей голени
Отправитель: Савранский Александр 26 Декабрь 2012, 01:04
|
по-моему получилось очень неплохо.молодцы!
покажите еще снимки тазобедренного когда сделаете
|
[
Ответить ]
|
Re: Ложный сустав шейки бедра и неправильно срастающийся сегментарный перелом костей голени
Отправитель: Абдурашид 27 Декабрь 2012, 19:42
|
Cпасибо Александр, т/б сустав теперь после нового года, постараюсь показать.
|
[
Ответить ]
|
Re: Ложный сустав шейки бедра и неправильно срастающийся сегментарный перелом костей голени
Отправитель: Alexander Chelnokov 14 Январь 2013, 18:58
|
в проксимальном изломе нам придется о/остеотомия,адаптация к/отломков и репозиция, хотя у Александра Николаевича я точно знаю имеется другая тактика
Как-то я пропустил это сообщение, прошу прощения. В этом случае, полагаю, эндопротезирование будет лучшим вариантом. Межвертельная вальгизирующая остеотомия тут вряд ли имеет много шансов на успех.
|
[
Ответить ]
|
Re: Ложный сустав шейки бедра и неправильно срастающийся сегментарный перелом костей голени
Отправитель: Абдурашид 15 Январь 2013, 17:05
|
Саша, я имел ввиду проксимальный излом большеберцовой кости!
С уважением Абдурашид.
|
[
Ответить ]
|
|
Re: Ложный сустав шейки бедра и неправильно срастающийся сегментарный перелом костей голени
Андрей 14 Январь 2013, 15:23
|
Учитывая исходную картинку - результат неплохой. Однако! 1.Стержень торчит в коленку. 2.Вальгус все же есть, о величине судить не берусь. 3.Укорочение осталось, судя по м/берцовой кости. Колено явно пострадает.
Как стопа? Сколько укорочение и что собираетесь с ним делать?
Что решили делать с бедром?
|
[
Ответить ]
|
Re: Ложный сустав шейки бедра и неправильно срастающийся сегментарный перелом костей голени
Отправитель: Abdurashid 15 Январь 2013, 17:03
|
Уважаемый Андрей,
-".Стержень торчит в коленку"- стержень не торчит в коленку, он находиться в переднем плануме чуть-чуть в толще жировика. и при движении не мешает, проверено во время и после операции, раньше я тоже боялся, но после нескольких случаев убедился,(из-за ограничения выбора импланта) что это вынужденно допустимо. все эти больные несколько лет ходят без никаких неудобств!
-".Вальгус все же есть, о величине судить не берусь"-По сравнение с тем что было до операции, я думаю рентгенологически градусов 2-3 допустимо, тем более клинически это не заметно.
-".Укорочение осталось"-да,укорочение в пределах 1,5-2см за счет голени и еще 4см за счет шейки бедра и для устранения этого опять на месяцы аппарат( он находился на аппарате около 8 месяцев)
да вообще и надо ли?. Лучше наверное во время ТЭП т/бедренного сустава все это корректировать!
Стопа - контрактура г/стоп.суставе, тылное сгибание до90 гр,. Рекомендована разработка движений по м/жительству. б-ной из другой обл.
С уважением Абдурашид.
|
[
Ответить ]
|
|
( Ответить )
|
|