AOTRAUMA.ORG Центр Илизарова  

Ортопедия и травматология Общие вопросы/General questions Help Информационные технологии в медицине
 вверх
 отправить
 поиск
 админ
 главная


Удаление стержня
Ортопедия и травматология Отправлено Абдурашид 08 Январь 2013, 17:24
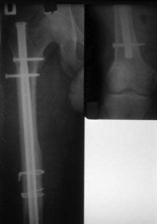
Уважаемые коллеги, обратился пациент1978г.р. , для удаления и/м стержня из правого бедра,
оперирован 2008году в городе Ангарск, Иркутской обл. Честно признаться я не знаю такого стержня, и как его удалить, кажется он еще сильно зажат в обл.истмуса, больной настаивает на удалении!
Если у кого есть опыт, поделитесь, пожалуйста!
С уважением Абдурашид.

<  |  >

 

  • Сообщения о Ортопедия и травматология
  • Также Абдурашид
  • Связаться с автором
  • Ответить

    Re: Удаление стержня
    alex 08 Январь 2013, 20:36
    Точно он, синтез. Есть прорезь сбоку, что видно на рентгене. В комплекте по удалению был конический болт, который хорошо садился в гвоздь за счет расширения бокового паза. Проблем по удалению никогда не имел. Иногда надо было долго закручивать болт, чтобы он хорошо взялся и выдавил резьбой из гвоздя соединительную ткань.
    С уважением,
    [ Ответить ]

    Re: Удаление стержня
    Alexander Chelnokov 08 Январь 2013, 22:25
    Это старый универсальный гвоздь Synthes.
    [ Ответить ]

    • Re: Удаление стержня
      Отправитель: Alexey Semenisty 08 Январь 2013, 23:19
      Он самый. Стальной, полый расщепленный. Но если нет специального инструмента, то лучше не браться за это дело. Если в Ангарске ставили, скорее всего у них и инструмент для удаления есть. Лучше всего отправить больного по месту первичной операции. Или пусть ищет клинику, где точно есть инструмент именно для удаления этой модели универсального штифта Synthes.

      С уважением, А.Семенистый.
      ГКБ № 13, Москва.

      P.S. У нас в клинике есть такой инструмент....

      [ Ответить ]
    Re: Удаление стержня
    женя 08 Январь 2013, 23:53
    Да пусть он хоть занастаивается - существуют же показания для удаления конструкций! Инфекции нет, миграции нет, несращения нет - уберите торчащий (верхний статический) винт - и, привет! Стоит-ли вообще "запариваться" на пациентские прихоти и бредни (иногда, правда спровоцированные нашими-же коллегами)?
    [ Ответить ]

    • Re: Удаление стержня
      Отправитель: Абдурашид 09 Январь 2013, 21:57

      Спасибо уважаемые коллеги! Я все понял. Больной должен явиться на след.недели, ему предлагается три варианта -или поехать самому или пригласить специалиста у кого имеется инструменты и опыта, или оставить как есть.
      С уважением Абдурашид.


      [ Ответить ]
    • Re: Удаление стержня
      Отправитель: Роман 09 Январь 2013, 23:43
      Недовольство пациента наличием МК является относительным показанием к удлаению.

      [ Ответить ]

     

    ( Ответить )

    Powered by Zope  Squishdot Powered MedLink
    Посетитель: 0000047
      "По форме правильно, а по существу - издевательство" В.И.Ленин
    ©2001-2019Orthoforum Coordinator.
    [ Главная | Отправить сообщение | Поиск | Админ ]