AOTRAUMA.ORG Центр Илизарова  

Ортопедия и травматология Общие вопросы/General questions Help Информационные технологии в медицине
 вверх
 отправить
 поиск
 админ
 главная


Дайте добрый совет коллеги плиз - вывих акромиального конца ключицы
Ортопедия и травматология Отправлено Сергей Дукер 09 Январь 2013, 16:19
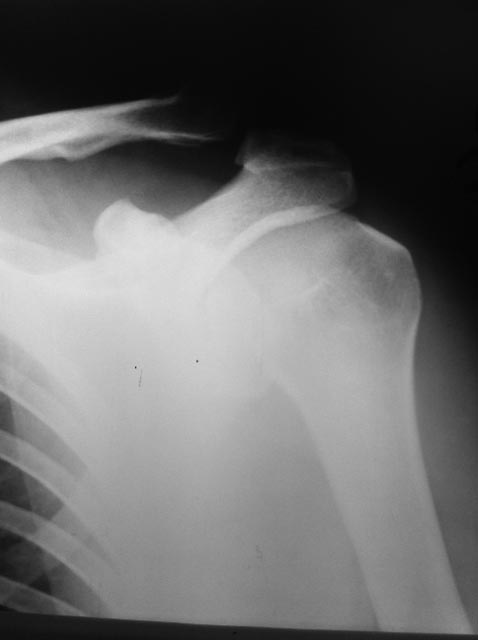
Травма в результате падения на лыжах 4.01.2013Мнения коллег разошлись.Стоит оперироваться или можно обойтись консервативно?


<  |  >

 

  • Сообщения о Ортопедия и травматология
  • Также Сергей Дукер
  • Связаться с автором
  • Ответить

    Re: Дайте добрый совет коллеги плиз - вывих акромиального конца ключицы
    Александр 11 Январь 2013, 16:35
    Стоит. MINAR вам в помощь.
    [ Ответить ]

    Re: Дайте добрый совет коллеги плиз - вывих акромиального конца ключицы
    Владимир 11 Январь 2013, 18:39
    На Вашей рентгенограмме повреждение все же следует трактовать как подвывих.
    Обычный критерий таков: если ключица сместилась более чем на половину толщины, то показано оперативное лечение, если меньше - консервативное. В Вашем случае "не то, не сё". Выполните рентгенографию с нагрузкой пострадавшей руки (5-7 кг). Причем лучше привязать к запястью, а не давать груз в руки. Не будут напрягаться мышцы и "картинка" будет более достоверной. Не помешает рентгенограмма и здорового сочленения. Если увидите, что смещение увеличилось, то вопросов нет. Если не изменилась, то подходы могут быть разные. Что следует учитывать? Возраст, профессию, активность человека. Если оставить ключицу в таком положении, то это будет «уже не та рука». Где тонко, там и рвется. В следующий раз уже более слабое воздействие вызовет вывих и он, наверняка, будет более серьезным. При физических нагрузках со временем могут появляться боли (это же все-таки сустав и явления артроза в нем, несомненно, разовьются).
    Так что, если эта рентгенограмма касается нестарого, активного человека, то мое мнение - показана операция. Методов много и разбирать их здесь вряд ли уместно. Но критерии выбора метода операции должны быть следующими: наименьшая травматичность, желательно меньше «железа», хорошее владение этим методом оперирующим хирургом.
    P.S. При желании и умении можно и консервативными методами добить хороших результатов, но это связано со значительными неудобствами (массивные торакобрахиальные гипсовые повязки и т.п.). Небезызвестный хирург Николай Маркианович Волкович (разрез Волковича-Дьяконова и т.д.) в своей книге «Повреждения костей и суставов» (1928) предложил уж вообще экзотический способ: укладывать пострадавшую руку ладонью на голову и фиксировать ее в таком положении гипсовой повязкой. Он пишет, что результат репозиции был превосходен, но: «я не нашел доброй воли со стороны пациентов». Больные, конечно, срывали эти повязки. Но это так, к слову.

    [ Ответить ]

    Re: Дайте добрый совет коллеги плиз - вывих акромиального конца ключицы
    Дедок Михаил 11 Январь 2013, 19:50
    Сделайте р- гр с нагрузкой 7- 10 кг + снимки здоровой руки. Если смещение на диаметр, то смело оперируйте. Но себя я бы не дал оперировать ни в каком случае. (так же как и при разрыве бицепса).
    Повязка (гипсовая) Смиронва - Ванштейна на 3 недели, затем Дезо на 3 недели и затем ЛФК.


    [ Ответить ]

    Re: Дайте добрый совет коллеги плиз - вывих акромиального конца ключицы
    александр ерохин 12 Январь 2013, 01:40
    Оперировать нужно.Знаете почему?-От греха..Уж очень разнообразна "норма" ключично-акромиального сустава.Ведь суставной диск имеется только у 50% субъектов и он у всех разный-видно на операции-от хрящевого "пятака" до 1,5 см толщиной,до незначительных рудиментов хряща. А как то встретил,вовремя операции, полноценный сустав с суставными подвижными поверхностями и синовиальной жидкостью Иногда суставной диск(на операции хорошо видно) вывихивается,переворачивается,становится подвижным,что обеспечит неудовлетворительный результат,если не оперировать.А случается,что и при довольно значительном смещении образуется плотная рубцовая ткань удерживающая ключицу и достаточно лишь иммобилизации.Как узнать?? Поэтому,"от греха" лучше прооперировать.
    Я всяко делал,перепробовал все методы от закрытого АВФ из одного эполетного кольца до хукплайта.Оперировал и по Босворту,Буннелю и еще черт те по кому.Остановился на Вебере-просто,надежно.дешево. Удачи.
    [ Ответить ]

    Re: Дайте добрый совет коллеги плиз - вывих акромиального конца ключицы
    maxim agalakov 12 Январь 2013, 14:19
    Мало информации, если нет косметического дефекта - я бы не стал и сам бы не дался. Буржуи осторожно относятся к таким повреждениям в плане операции. Если не изменяет память в роквуде и кэмпбелле доходчиво написано
    [ Ответить ]

    Re: Дайте добрый совет коллеги плиз - вывих акромиального конца ключицы
    Сергей Дукер 12 Январь 2013, 15:11
    Спасибо коллеги.
    [ Ответить ]

    Re: Дайте добрый совет коллеги плиз - вывих акромиального конца ключицы
    антон 20 Январь 2013, 17:36
    Здравсвуйте!Подскажите пожалуйста,а стоит ли удалять этот суставной диск,или это зависит от того какой метод фиксации АКС ты выбрал...? Спасибо.
    [ Ответить ]


    ( Ответить )

    Powered by Zope  Squishdot Powered MedLink
    Посетитель: 0180970
      "По форме правильно, а по существу - издевательство" В.И.Ленин
    ©2001-2019Orthoforum Coordinator.
    [ Главная | Отправить сообщение | Поиск | Админ ]