AOTRAUMA.ORG Центр Илизарова  

Ортопедия и травматология Общие вопросы/General questions Help Информационные технологии в медицине
 вверх
 отправить
 поиск
 админ
 главная


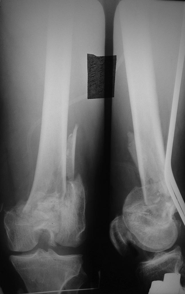
Перелом бедра
Ортопедия и травматология Отправлено АДАМ 16 Январь 2013, 15:59
Помогите определиться с тактикой и объемом оперативного вмешательства
пациент мужчина 55 лет травма получена в ДТП 21.12.12г

<  |  >

 

  • Сообщения о Ортопедия и травматология
  • Также АДАМ
  • Связаться с автором
  • Ответить

    Re: Перелом бедра
    александр ерохин 17 Январь 2013, 07:41
    Для начала,хоть вытяжение установите правильно.Это же не так сложно- тянуть нужно при согнутой под 90 град голени.Или подвешиваете в гамачке к Балканской раме или на той же шине Бёлера,частично сняв гамачок- 1-й вариант предпочтительней. А далее простор для фантазии,при имеющихся возможностях: пластина с угловой стабильностью,аппарат,комбинированные методы,да и консервативно даже! -при грамотно наложенном вытяжении.Удачи.
    [ Ответить ]

    Re: Перелом бедра
    Вадим 18 Январь 2013, 00:25
    Если есть ортопедический стол и ЭОП -малоинвазивно, LSP-ПЛАСТИНА
    [ Ответить ]

    Re: Перелом бедра
    Юрий Алексеевич Булахтин 21 Январь 2013, 13:46
    Здравствуйте, Адам!

    Перелом очень сложный, я бы не рисковал и LISS. Широка артротомия позволит отрепонировать фрагменты, участвующие в образовании суставной поверхности и зафиксировать их винтами, а потом БИОС ретроградным или универсальным гвоздем.

    С уважением и наилучшими пожеланиями,
    Юрий Алексеевич Булахтин
    Камчатский Военно-морской госпиталь

    [ Ответить ]


    ( Ответить )

    Powered by Zope  Squishdot Powered MedLink
    Посетитель: 0388382
      "По форме правильно, а по существу - издевательство" В.И.Ленин
    ©2001-2019Orthoforum Coordinator.
    [ Главная | Отправить сообщение | Поиск | Админ ]