AOTRAUMA.ORG Центр Илизарова  

Ортопедия и травматология Общие вопросы/General questions Help Информационные технологии в медицине
 вверх
 отправить
 поиск
 админ
 главная


Аваскулярный некроз таранной кости
Общие вопросы/General questions Отправлено Антон Андрианов 18 Январь 2013, 20:44
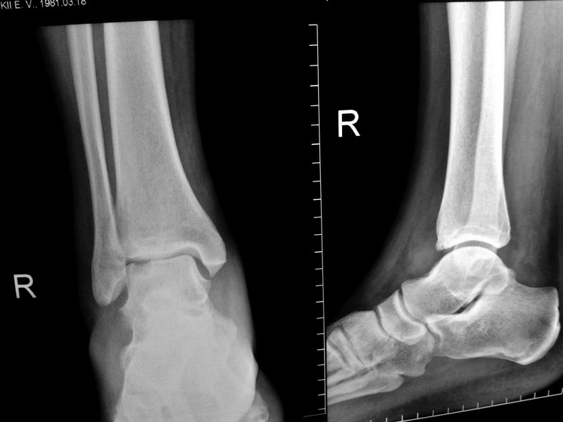
У 40-летнего мужчины около 3 месяцев появляются боли и отек в правом голеностопном суставе. Травмы, перегрузки, спорт и вредные привычки отрицает.
На Рграммах 2 месячной давности патология стопы не видна\качество снимков низкое\ На свежих снимках виден глубокий некроз блока тарана.Отек, хромота и боли стихают после терапии НПВП. Выбираем тактику- открытая артротомия латеральным доступом с остеотомией лодыжки и костная аутопластика после кюретажа. Вторым вариантом видится артроскопическая ревизия сустава, остеоперфорация дрелью под визуальным контролем и 8 недель разгрузки сустава в АВФ.Патология досточно редкая и буду признателен за совет коллег, кто уже работал с такими пациентами.

<  |  >

 

  • Сообщения о Общие вопросы/General questions
  • Также Антон Андрианов
  • Связаться с автором
  • Ответить

    Re: Аваскулярный некроз таранной кости
    тони 18 Январь 2013, 22:05
    Болезнь Диаса. Занимаемся данной проблематикой плотно и часто. Обязательно нужно МРТ голеностопа, чтоб определиться с точными границами асептического некроза. Т.к. некроз с дефектом костной ткани, не поверхностный, то простое рассверливание не эффективно. Нужна мозаичная хондропластика дефекта, с забором аутотрансплантата из колена при помощи специального инструментария фирмы Джонсон. Доступ к дефекту через остеотомию лодыжки.
    [ Ответить ]

    Re: Аваскулярный некроз таранной кости
    александр ерохин 18 Январь 2013, 23:11
    Лучше не ковырять.Ортопедический режим,НПВС,физиолечение итд.Результат операции непредсказуем. Реабилитация после не менее полугода
    Не такая уж это и редкая патология.Если дальше будет прогрессировать-артродез.
    Про эндопротезирование голеностопа только слышал.Результатов и больных не видел сам.
    [ Ответить ]

    Re: Аваскулярный некроз таранной кости
    Бережной Сергей 19 Январь 2013, 16:39

    Дефект глубокий, обширный, в молодом возрасте лучше оперировать. Иногда в выборе доступа помогает КТ в положении максимального подошвенного сгибания стопы: если дефект таранной кости при этом выходит из-под большеберцовой, лучше идти простым и менее травматичным передним доступом. На монтаже из представленной Вами рентгенограммы стопа согнута на 30°, дефект практически "вышел". Поскольку он расположен не по центру, то с большой степенью вероятности обнажится при гораздо меньшем угле.
    [ Ответить ]

    Re: Аваскулярный некроз таранной кости
    Адиль 21 Январь 2013, 12:42
    Уважаемые коллеги. В недавнем прошлом прошла конференция с международным участием в г.Алматы (Казахстан). В одном из докладом, представил свои работы доктор Шнетлер, с хондропластикой. Думаю, такой вариант будет довольно таки приемлемый.
    [ Ответить ]

    Re: Аваскулярный некроз таранной кости
    Юрий Алексеевич Булахтин 21 Январь 2013, 12:51
    Здравсвуйте, Антон!


    Если согласится с существующим мнением, что единственное проблема после артродеза - это легкая хромота, то прихрамывание,боли и длительная реабилитация, после любых остеоперфораций и васкуляризаций, склоняют чашу в пользу артродеза.

    С уважением и наилучшими пожеланиями,
    Юрий Алексеевич Булахтин
    Камчатский Военно-морской госпиталь


    [ Ответить ]

    Re: Аваскулярный некроз таранной кости
    Андрей Верховский 22 Январь 2013, 14:51
    Выбираете тактику как оперировать, а почему нужно обязательно оперировать? Прошло всего 3 месяца, сейчас II-IIIст. асептического некроза, пациент хорошо отвечает на НПВП, по месту расположения угрозы дефигурации блока нет. Так и продолжайте НПВП для длительного приема, частичную разгрузку при помощи трости, может и гиалуронат в сустав добавить и наблюдайте, глядишь месяца через 3 и завершится процесс. Прооперировать всегда успеете. Другое дело если на терапию не отвечает, можно думать о радикальном методе.
    [ Ответить ]

    Re: Аваскулярный некроз таранной кости
    Антон Андрианов 28 Январь 2013, 19:43
    Спасибо всем откликнувшимся. На днях пациент, которому всего 31 год, появится с КТ, где оценим еще раз глубину остеонекроза.Скорее всего начнем с артроскопии и при сгибании стопы прикинем возможность выхода на очаг передне-латеральным доступом. Дальнейшие действия будут зависеть от глубины поражения.При необходимости пластики дефекта сможем использовать гребень подвздошной кости, опыта и набора для мозаичной хондропластики не имеем. Позднее выложу КТ и снимки ПО.
    [ Ответить ]


    ( Ответить )

    Powered by Zope  Squishdot Powered MedLink
    Посетитель: 0179854
      "По форме правильно, а по существу - издевательство" В.И.Ленин
    ©2001-2019Orthoforum Coordinator.
    [ Главная | Отправить сообщение | Поиск | Админ ]