вверх
отправить
поиск
админ
главная
|
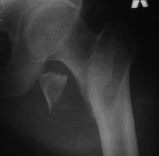
Отправлено Юрий Алексеевич Булахтин 21 Январь 2013, 15:12 Камчатский Военно-морской госпиталь
Уважаемые коллеги! На консультацию пришел больной 44-х лет (снимки 1 и 2): упал на улице 26.11.2012г., оперирован в одном из лечебных учреждений 26.11.2012. Сделали контрольные рентгенограммы и КТ. Хотели-бы обсудить варианты оперативного лечения: DHS или БИОС?
С уважением и наилучшими пожеланиями, Юрий Алексеевич БулахтинКамчатский Военно-морской госпиталь
<
|
>
|
|
Ответить
|
Re: Реостеосинтез?
Kerimov Artur 22 Январь 2013, 00:43
|
Доброго времени суток!
Если честно, то на первом снимке отломки "стояли" лучше, чем после "репозиции" и остеосинтеза пресловутой Г-образной пластиной-не восстановлена дуга Адамса, ну или по другому- отсутствие медиальной опоры. По этой же причине не рекомендую DHS, только штифт типа Гамма, при этом обязательно
восстановить шеечно-диафизарный угол, а клинок установить максимально близко к дуге Адамса, до субходральной зоны головки бедр. кости.
С уважением!
Керимов Артур Асланович
ФГКУ ГВКГ им.Н.Н.Бурденко
|
[
Ответить ]
|
Re: Реостеосинтез?
Alexander Chelnokov 22 Январь 2013, 15:49
|
Тут проблемы не с имплантатом тем или другим, а с хорошим восстановлением формы проксимального отдела бедра. Что может быть непростой задачей спустя 2 мес.
Мы бы убрали пластинку, восстановили бы закрыто шеечно-диафизарный угол (закрытая остеоклазия или межвертельная остеотомия может понадобиться) и сделали остеосинтез каким-то из достуных PFN.
|
[
Ответить ]
|
Re: Реостеосинтез?
Игорь Беленький 22 Январь 2013, 15:57
|
Уважаемый Юрий Алексеевич!
DHS в этом случае не показан, так как перелом из чрезвертельного чудесным образом превратился в подвертельный (А 3 по классификации АО). На мой взгляд, можно рассматривать 2 варианта:
1.Пластины. 95-градусная мыщелковая пластина. Корректно введённый в проксимальную часть клинок позволяет относительно легко выполнить репозицию, манипулируя диафизарной частью пластины. Несмотря на то, что имплантат старый, эта операция до сих пор нередко практикуется даже в продвинутых зарубежных клиниках в подобных случаях. Это может в силу разных причин не получиться. Хорошо бы иметь в запасе на всякий случай какую-нибудь пластину с угловой стабильностью (хотя бы DF на другую ногу, его можно перевернуть и установить проксимально).
2. Альтернатива - любой гвоздь гамма-конфигурации. Но репозиция - открытая.
С уважением,
Игорь Беленький
|
[
Ответить ]
|
Re: Реостеосинтез?
Отправитель: Юрий Алексеевич Булахтин 14 Февраль 2013, 12:15
|
Уважаемые коллеги!
Спасибо всем, кто оказывал практическую помощь в принятии решения. Сегодня сделали операцию. Снимки интраоперационные, аксиальный не "публикую" еле видно.

Поверьте на слово - стержень прошел через центр шейки, в обоих плоскостях. Других вариантов не было из-за следов предшествующего вмешательства. Хотели-бы обсудить результат в свете послеоперационного ведения (какую разрешать активность, в какие сроки).
С уважением, Юрий Алексеевич Булахтин
Камчатский Военно-морской госпиталь
|
[
Ответить ]
|
|
Re: Реостеосинтез?
Юрий Алексеевич Булахтин 15 Февраль 2013, 10:30
|

Александр Николаевич, вот, что удалось сегодня выдавить из Армана. С аксиальным никак, расскажи, пожалуйста, по-подробнее про укладку с согнутыми ногами - я такую не знаю (сгибать обе? куда кассету?).
С уважением, Юрий Алексеевич Булахтин
Камчатский Военно-морской госпиталь
|
[
Ответить ]
|
Re: Реостеосинтез?
Отправитель: Алексей Минервин 15 Февраль 2013, 23:00
|
Вместо АН ;)
Пациент лежит на спине (как и при обычной передне-задней проекции), кассета под тазобедренный сустав (точно также как обычной передне-задней проекции), трубка тоже перпендикулярно (как при обычной передне-задней проекции). Далее пациент сгибает ногу в тазобедренном суставе до 90 градусов (нога вертикально вверх), колено сгибается тоже на 90 градусов (так удобнее лежать) и бедро отводиться немного кнаружи. Второе бедро лежит просто прямо. Пока действует спинальная анестезия такую проекцию сделать легко (нога просто укладывается на рядом стоящий стул: пациент на каталке, каталка рядом с рентгенологическим столом, стул - на столе). Хорошо смотреть так под ЭОПом. Проблематично в течение первых дней после операции - не все больные могут так безбоязненно согнуть ногу.
Букв получилось много, на самом деле все просто. Укладка несколько напоминает по Лаунштейну, можно посмотреть в атласе (или в сети) - только бедро не нужно укладывать в плоскость стола.
|
[
Ответить ]
|
Re: Реостеосинтез?
Отправитель: Юрий Алексеевич Булахтин 16 Февраль 2013, 02:56
|
Алексей, добрый день! Спасибо большое за разъяснения, теперь все ясно, стихнут боли попробуем.
С уважением, Юрий Алексеевич Булахтин
Камчатский Военно-морской госпиталь
|
[
Ответить ]
|
Re: Реостеосинтез?
Отправитель: женя 08 Апрель 2013, 02:19
|
Это укладка по Фрумкину, правда, изначально была придумана для изучения каких-то мочеполовых дел с контрастированием еще в доКТ/МРТ-эпоху.
|
[
Ответить ]
|
Re: Реостеосинтез?
Отправитель: Alexander Chelnokov 08 Апрель 2013, 10:16
|
C центрацией на тазобедренный сустав это Dunn view (Anteversion of the neck of the femur; a method of measurement. Dunn DM. J Bone Joint Surg Br. 1952 May; 34-B(2):181-6.)
А на оба сустава - RIPPSTEIN METHOD
Foreshortened view of the femurs and femoral neck.
Requires a Rippstein leg support.
Patient supine with the hips flexed 90 degrees and abducted 20 degrees. The legs are parallel in a Rippstein leg support. Vertical central ray centred to the symphysis pubis.
Ref: Rippstein, J. (1955). On Assesment of the Neck of the Femur by Means of Two X-rays. Z. Orthop. 86; 345-360.
|
[
Ответить ]
|
|
( Ответить )
|
|