Ответить
|
Re: поставить диагноз
Galina Diachkova 21 Январь 2013, 23:04
|
Уважаемый доктор, скорее всего- некроз(инфаркт ) костного мозга (двухсторонний)
профессор Дьячкова Г.В.
|
[
Ответить ]
|
Re: поставить диагноз
Rashid Tikhilov 21 Январь 2013, 23:06
|
Уважаемый Коллега,
Речь идет об АНГБК
С уважением, Р.Тихилов
|
[
Ответить ]
|
Re: поставить диагноз
Dr. 23 Январь 2013, 22:11
|
Если честно немного не характерно для асептического некроза, локализация смущает, и при таком обширном участке поражения головка сохранна, для уточнения диагноза я бы сделал биопсию - больше похоже на новообразование, тем более беспокоят боли два года, асептическому некрозу для разрушения достаточно пару месяцев.
|
[
Ответить ]
|
Re: поставить диагноз
Отправитель: Дедок Михаил 23 Январь 2013, 23:05
|
Очень даже характерно. Асептический некроз.
1. Мужик
2. Молодой
3. Нетипичная локализация для Neo
4. Коллапс бывает не всегда а иногда года через 2- 3 ( особливо на фоне приема цитостатиков).
А вот причина- инфекция, алкоголизм и.т.д
|
[
Ответить ]
|
Re: поставить диагноз
Отправитель: Андрей Волна 26 Январь 2013, 15:29
|
Согласен с Вами по всем пунктам, кроме заключения по причине. Зачастую и не видно ее...
|
[
Ответить ]
|
|
Re: поставить диагноз
Djoldas Kuldjanov, M.D. 30 Январь 2013, 19:36
|
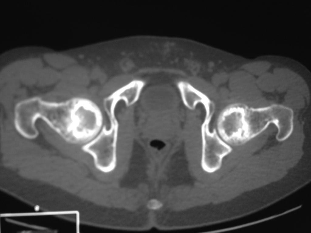
AVN. Синонимы: ишемический костный некроз, костный инфаркт, костный некроз, асептический некроз.
Возможно сомнения в диагностике связаны с нетипичной рентгенологической картиной. На снимке большая киста, которая расположена в центре головки, а при АВН начинается в верхней нагрузочной зоне. Отсутствует коллапс, сохранилась сферичность головки; не очень выраженный, но характерный признак "Crescent Sign".

Диффернциальную диагностику надо делать с доброкачественной кистой или метастазами. Но двухсторенная киста встречается очень редко, и киста в шейке распологается более дистально, чем при АВН. Гетерогенная картина головки немного напоминает метастаз, но без первичной опухоли и затяжной характер течения заболевания снимает подозрение на злокачественный процесс.
При наличии коллапса диагноз устанавить очень легко. Сканирование с изотопами тоже хороший метод исследования, который покажет "холодные" участки, окруженные "теплыми" зонами. Исследование в 25% дает погрешность, и поэтому на сегодня МРТ является "золотым стандартом" исследования. Пункция не помешает, но мне кажется, что здесь по классификации Ficat преколлапсный, т.е. вторая степень АВН.
АВН прогрессивное заболевание, чем раньше лечение, тем лучше результаты. Предложены разные методы лечения начиная от Core Decompression, Non-vascular bone graft, Free vascularized fibular graft, Osteotomies, Resurfacing Arthroplasty, Total hip arthroplasty.
Core Decompression для восстановления внутри-костного кровообращение, и рекомендуется при преколлапсном периоде. В 70% дает положительный результат в стадиях заболевания от 1 до 3. Лучше получается с аллографтом, DBM, Танталовые или костными заменителями.
Stulberg et al. Osteonecrosis of the Femoral Head: A prospective randomized treatment protocol. CORR 1991;268:140-151
Mont MA, Carbone JJ, Fairbanks AC. Core decompression versus non-operative management for osteonecrosis of the hip COORR 1996; 324:169-178 Mont et al
Reviewed 42 studies (1960-1993):1,206 total hips treated with core decompression, 819 with non-operative.Successful results in:Prior to collapse 71% success with core decompression. 35% success with conservative treatment. 63% success rate overall
От остеотомии лучший результат получается, когда имеются минимальные суставные изменения, сравнительно небольшой участок некроза, а также не старше 45-летнего возраста. Другие варианты лечения - Resurfacing и THA - оптимальны после коллапсного АВН.
|
[
Ответить ]
|
Re: поставить диагноз
Петр 31 Январь 2013, 23:50
|
мне кажется его стоит проверить на ИППП ( хламидии, микоплазма, уреаплазма)...
|
[
Ответить ]
|
( Ответить )
|
|