AOTRAUMA.ORG Центр Илизарова  

Ортопедия и травматология Общие вопросы/General questions Help Информационные технологии в медицине
 вверх
 отправить
 поиск
 админ
 главная


Застарелый переломовывих предплечья
Ортопедия и травматология Отправлено Andrey Ratev 24 Январь 2013, 21:05
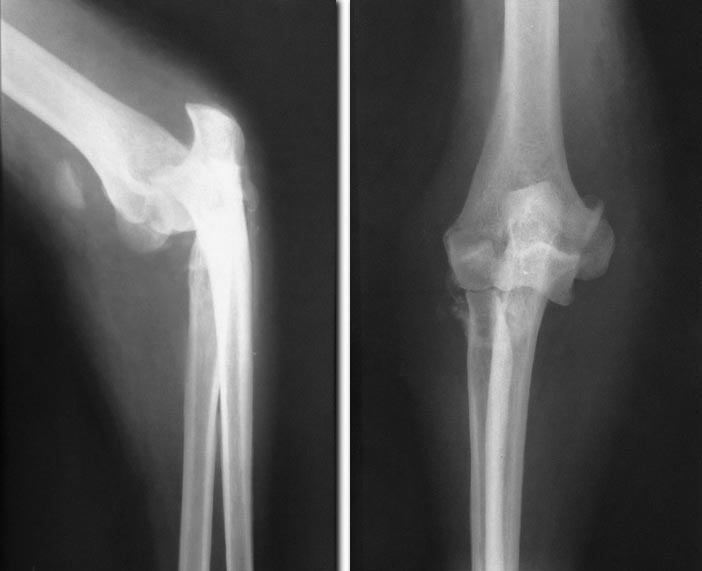
Доброго времени суток. В клинику обратился мужчина, 46 лет, с переломовывихом предплечья. Со слов пациента, травма в результате падения с высоты собственного роста от 10.12.12г!!!
За мед. помощью обратился в травм. пункт по месту жительства, где повреждение было расценено как ушиб локтевого сустава, вследствие чего не выполнялись р-граммы, устранение вывиха и адекватная иммобилизация. В связи с усилением болевого синдрома и уменьшением амплитуды движений в локтевом суставе, 18.01.13г. обратился в нашу клинику.Глубокоуважаемые коллеги, необходим ваш совет в выборе тактики лечения.

<  |  >

 

  • Сообщения о Ортопедия и травматология
  • Также Andrey Ratev
  • Связаться с автором
  • Ответить

    Re: Застарелый переломовывих предплечья
    Maxim Agalakov 25 Январь 2013, 08:26
    открытое вправление, трансфиксация спицами на 3 нед, затем ЛФК с хорошим инструктором
    [ Ответить ]

    Re: Застарелый переломовывих предплечья
    Paul 25 Январь 2013, 13:56
    При возможности КТ локтевого сустава. Готовить к открытому вправлению вывиха и ревизии сустава, удаление фрагмента головки локтевой кости. Послеоперационное ведение, желательно, в шарнирно-дистракционном аппарате.
    [ Ответить ]

    • Re: Застарелый переломовывих предплечья
      Отправитель: Ушаков Сергей 25 Январь 2013, 16:13
      Добрый день! Коллеги! для полной картины не хватает косых проекций либо КТ, но КТ без тракции в суставе малоинформативно.не исключено, что кроме перелома головки лучевой кости есть повреждение мыщелка плечевой кости, а следовательно кроме открытого вправления может потребоваться остеосинтез (винты герберта) или артрориз. в нашей практике было 6 подобных пациентов. в одном случае выполнили трансартикулярную фиксацию. спицы сломались удалять было очень проблематично. в остальных случаях аппарат Илизарова с шарнирами результат хороший. С уважением Ушаков С.А.

      [ Ответить ]
    Re: Застарелый переломовывих предплечья
    igor 25 Январь 2013, 14:26
    Мы попробывали открытое вправление вывиха с удалением геторопических оссификаций. Доступ задний срединный с сепоровкой кожных покровов кпереди, мобилизацией локтевого нерва. Несколько мобилизуя сухожилие трицепса удалили рубцы локтевой ямки, проксимального предплечья. Доступ к головки лучевой кости скорее не вызовит проблем, мобилизация супинатора с локтевой кости. После впраления удаление рубцов спереди либо из переднего доступа, либо доступа Кохера. С помощью эоп определить точку ротации в локтевом суставе. Провести спицу. Через точку ротации наложить любой шарнирный аппарат любой модификации, для разработки движений в суставе.
    [ Ответить ]

    Re: Застарелый переломовывих предплечья
    maxim agalakov 25 Январь 2013, 20:52
    Вы не найдете серьезных исследований по этой проблеме - мало случаев. У нас очень скромный опыт подобных операций - 1 (но с отличным результатом). К сожалению, выражение выглядит голословным (не уверен, что случай задокументирована должным образом, но постараюсь найти). Оперировали, потому что профильное отделение закрылось на ремонт. Почитали Campbell , другие вражеские руководства и сделали так, как они рекомендуют. Трансфиксация спицами и гипсовой повязкой избыточна если вы уверены, что пострадавший будет педантично соблюдать ваши рекомендации.
    Случайным образом пациент столкнулся у инструктора ЛФК с коллегой по несчастью, леченным как раз в профильном отделении, разница была заметной, практически полный объем движений против качательных.
    К сожалению, эффект Илизарова универсален для любых тканей и рубцовая ткань растет еще быстрее, кто протезировал ложняки шейки после лечения в аппаратах с остеотомиями меня поймет

    [ Ответить ]

    Re: Застарелый переломовывих предплечья
    Leonid Solomin 26 Январь 2013, 12:51
    Здравствуйте, Andrey Ratev!
    Мы бы предпочли закрытое вправление приемами чрескостного
    остеосинтеза. Если необходима методическая помощь - сообщите.

    С уважением,
    Л.Соломин
    [ Ответить ]

    Re: Застарелый переломовывих предплечья
    Andrey Ratev 27 Январь 2013, 23:50
    Коллеги, спасибо за ваши советы. КТ локтевого сустава и прямую проекцию обещаю выложить 28.01.13. Открытое устранение вывиха с трансартикулярной фиксацией спицами это логичное решение и в нашей клинике мы склоняемся к этой операции (есть опыт). Но есть еще 2 идеи. 1. После открытого устранения вывиха и удаления отломков лучевой кости (головки лучевой кости) выполнить эндопротезирование головки лучевой кости - это добавит стабильности.
    2. Более радикальная идея - эндопротезирование локтевого сустава.
    [ Ответить ]

    Re: Застарелый переломовывих предплечья
    Andrey Ratev 27 Январь 2013, 23:50
    Коллеги, спасибо за ваши советы. КТ локтевого сустава и прямую проекцию обещаю выложить 28.01.13. Открытое устранение вывиха с трансартикулярной фиксацией спицами это логичное решение и в нашей клинике мы склоняемся к этой операции (есть опыт). Но есть еще 2 идеи. 1. После открытого устранения вывиха и удаления отломков лучевой кости (головки лучевой кости) выполнить эндопротезирование головки лучевой кости - это добавит стабильности.
    2. Более радикальная идея - эндопротезирование локтевого сустава.
    [ Ответить ]

    • Re: Застарелый переломовывих предплечья
      Отправитель: maxim agalakov 02 Февраль 2013, 12:16
      Мне кажется, эндопротезирование - слишком радикальн, вполне возможно, что функция сустава устроит. Протезирование головки, по моему ни к чему не приведет, а риск осложнений увеличит, стабильности после 3-х нед фиксации буде хоть отбавляй

      [ Ответить ]

     

    ( Ответить )

    Powered by Zope  Squishdot Powered MedLink
    Посетитель: 0392088
      "По форме правильно, а по существу - издевательство" В.И.Ленин
    ©2001-2019Orthoforum Coordinator.
    [ Главная | Отправить сообщение | Поиск | Админ ]