AOTRAUMA.ORG Центр Илизарова  

Ортопедия и травматология Общие вопросы/General questions Help Информационные технологии в медицине
 вверх
 отправить
 поиск
 админ
 главная


Острый гематогенный остеомиелит головки бедра и ребенка
Ортопедия и травматология Отправлено Миронов Андрей 02 Февраль 2013, 20:55
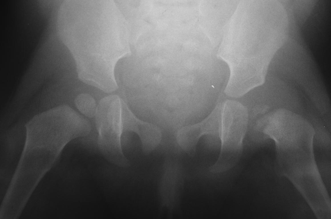
Добрый вечер уважаемые коллеги. Помогите советом, в какую клинику и к кому обратится с данной проблемой (у ребенка в возрасте 1мес. диагностирован гематогенный остеомиелит головки бедра).
Лечили консервативно (выписку и фото в динамике прилагаю). На сегодняшний день ребенку 11 мес. Детские ортопеды по месту сомневаются в тактике( в плане операции или выжидательная тактика). Хотелось проконсультироваться с теми кто занимается этой проблемой.Заранее спасибо. С ув. Андрей

<  |  >

 

  • Сообщения о Ортопедия и травматология
  • Также Миронов Андрей
  • Связаться с автором
  • Ответить

    Re: Острый гематогенный остеомиелит головки бедра и ребенка
    Корюков А.А. 03 Февраль 2013, 17:41
    Уважаемый Андрей. Случай на самом деле не простой.
    Попробуйте обратиться в СПбНИИДОИ им.Турнера (г.Пушкин-С.Петербург) к д.м.н. Горкавенко Е.Г. Он прекрасный специалист в этом вопросе.
    По факту снимков-справа т/б сустав(снимок №6) также не в порядке - в состоянии подвывиха-головка почти на треть вне впадины, снимок №7 - непонятная укладка
    В рекомендациях тоже есть спорные моменты: неясен двигательный режим-ходьба при таких суставах- усугубление состояния ребенка; а назначение стелек для неходящего ребенка-не самый лучший вариант ортезирования.
    С уважением,
    [ Ответить ]


    ( Ответить )

    Powered by Zope  Squishdot Powered MedLink
    Посетитель: 0183164
      "По форме правильно, а по существу - издевательство" В.И.Ленин
    ©2001-2019Orthoforum Coordinator.
    [ Главная | Отправить сообщение | Поиск | Админ ]