Ответить
|
Re: Атрофия плечевой кости
Alexander Chelnokov 11 Февраль 2013, 22:35
|
Так что произошло в результате этого падения 2 мес. назад? Ничего свежего вроде не видно.
А КТ не делали? Тут 3D, наверно, хорошо покажет, что где есть.
В отношении хирургического лечения, уверенно улучшающего ситуацию, пока что-то ничего не придумывается...
|
[
Ответить ]
|
Re: Атрофия плечевой кости
Игорь Владимирович Шведовченко 12 Февраль 2013, 01:16
|
Доброй ночи, уважаемый Борис. Грустно писать, но ведь анамнез "болеет с детства" это не анамнез. По поводу чего была удалена головка плечевой кости и выполнен последующий артродез плечевого сустава? Эпифизарный остеомиелит, опухоль, последствия родового повреждения плечевого сплетения? При такой атрофии проксимального конца плечевой кости невольно возникает вопрос - а был ли состоявшийся артродез плечевого сустава.
На вопрос "что делать" можно задать встречный вопрос - а каково состояние дистальнее расположенных сегментов? Какой объем активных и пассивных движений в локтевом суставе. Какова функция кисти? Насколько активно использует имеющуюся функцию конечности пациентка?
Если с точки зрения функции плеча, предплечья и кисти все в порядке, то какова активная подвижность лопатки? Можно ли использовать имеющуюся подвижность лопатки для восстановления объема движений свободной верхней конечности на уровне "плечевого сустава".
Примерно в таком алгоритме имеет смысл обсуждать действия у данной конкретной больной.
|
[
Ответить ]
|
Re: Атрофия плечевой кости
Отправитель: Борис 12 Февраль 2013, 18:13
|

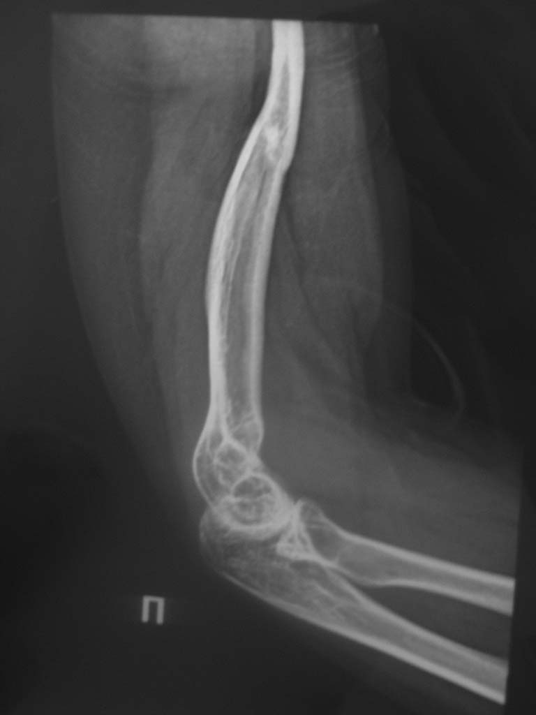
Игорь Владимирович . Пишу подробно. Больная травму получила в детстве (в 1996г) . Через год после травмы было подозрение на опухоль головки плеча (со слов больной), оперирована - резекция опухоли, артродез правого плечевого сустава с перемещением аутотрансплантата из малоберцовой кости. Послеоперационный период спокойный. Со слов больной, артродез состоялся. Года 3 назад почувствовала боль. (ударилась). В настоящее время движений в плечевом сустава нет. В локтевом и лучезапястном суставах движения не ограничены, в полном объеме. Функция предплечья в норме. Выложу рентгеновские снимки локтевого сустава. Спасибо за совет.
Борис
|
[
Ответить ]
|
|
Re: Атрофия плечевой кости
Павел К. 12 Февраль 2013, 23:38
|
Уважаемый Борис, поинтересуйтесь у пациентки, что Она сама хочет получить в конечном результате лечения? А от этого планируйте свои действия.
Выяснить причину боли и этиологию деформации вам поможет КТ, МРТ в том числе в "сосудистом режиме" (начиная от шейного отдела поз-ка) и электронейромиография.
По представленным рентгенограммам судить о "былом артродезе" очень тяжело, а точнее даже сомнительно.
|
[
Ответить ]
|
Re: Атрофия плечевой кости
Шведовченко Игорь Владимирович 12 Февраль 2013, 23:54
|
Добрый вечер, уважаемый Борис. А что хочет сама пациентка? Ведь если она достаточно длительный срок прожила с состоявшимся артродезом плечевого сустава, то воспоминания о этом периоде у нее сохранились. И если подобная ситуация ее полностью устраивала, то надо вернуться к идее артродеза и обсуждать возможную технологию его выполнения.
Во всем этом очень смущает состояние проксимального конца плечевой кости. Весьма сомнительно, что несколько лет после перелома в области артродеза могли привести к таким изменениям и я поддерживаю сомнение доктора Челнокова - а был ли артродез?
|
[
Ответить ]
|
Re: Атрофия плечевой кости
Александр 14 Февраль 2013, 21:30
|
По моему мнению лучше туда не лезть, судя по состоянию костной ткани оперативное лечение ни к чему хорошему не приведет. Дополнительная травматизация сосудов питане кости не улучшит. Если пофантазировать, какой нибудь онкологический протез (как на т/бедренном или коленном суставе) может быть и можно было установить. А так, артродезом там и не пахло. Скорее всего на рубцах было что то вроде анкилоза, и во время травмы все это расшаталось. Я бы порекомендовал ношение плечевого ортеза 4 недели.
|
[
Ответить ]
|
Re: Атрофия плечевой кости
Наконечный Д. 15 Февраль 2013, 00:59
|
Добрый вечер, уважаемый Борис. поступило 2 предложения: артродез и эндопротезирование.
вариант "не лезть" не вызывает ортопедического азарта, поэтому пользуясь тем, что мы в форуме, а не у постели больного, обсуждать его не будем.
Если исключить как возможную зону имплантации эндопротеза - свободный трансплантат малоберцовой кости, то остается нижняя треть плеча. Длина костно-мозгового канала слишком мала. Кроме того, если пациентке в детском (16 лет назад) возрасте был выполнен артродез (даже если костный анкилоз не состоялся), мышечная система плечевого пояса адаптирована скорее для использования конечности именно таким образом. Пользоваться адекватно эндопротезом она вряд ли сможет.
Я за повторную попытку артродеза.
Технически для его осуществления понадобится воспользоваться костной пластикой, причем трансплантат придется брать кровоснабжаемый. Из расположенных "поблизости", не требующих микроскопа, в голову приходит угол лопатки (короткий, хватит только, чтобы перекрыть зону контакта костей), или ребро (с торакодорзальным лоскутом). из отдаленных - вторая малоберцовая кость…
Интересно было бы обсудить возможности фиксации при этом. АВФ? что-то изящнее?
В нашей клинике приходилось решать похожую проблему по артродезированию плечевого сустава после множества других операций, при дефекте кости. Тогда была выполнена транспозиция кровоснабжаемого ребра на торакодорзальном лоскуте, фиксация индивидуальной пластиной, предложенной И.А.Воронкевичем, «вилкой» надевающейся на ость лопатки в проксимальной части.
Артродез состоялся.
Прошу прощения, пост получился длинноват. Наконечный Д.
|
[
Ответить ]
|
Re: Атрофия плечевой кости
Отправитель: Борис 15 Февраль 2013, 17:38
|
Уважаемые Наконечный Д спасибо за ваш ответ.
|
[
Ответить ]
|
Re: Атрофия плечевой кости
Отправитель: Наконечный Д. 15 Февраль 2013, 23:26
|
Было бы интересно обсудить альтернативные решения. Особенно касательно фиксации. Надеюсь, обсуждение продолжится.
|
[
Ответить ]
|
|
Re: Атрофия плечевой кости
Шведовченко Игорь Владимирович 17 Февраль 2013, 14:41
|
Браво, уважаемый господин Наконечный!!!! Единственный возможный вариант-кровоснабжаемый комплекс тканей! Самый простой в этой ситуации вариант - наружный край лопатки на соответствующем сосудистом пучке! С фиксацией-всегда мучения, поскольку это плоская кость. В связи с этим напрашивается вариант-некий аллотрансплантат, как несущая конструкция, на который будет помещен кровоснабжаемый комплекс тканей!
|
[
Ответить ]
|
Re: Атрофия плечевой кости
Шведовченко Игорь Владимирович 17 Февраль 2013, 14:46
|
Извините за перерыв, мы делали подобные вмешательства при более значительном дефекте тканей, наружного края лопатки хватает как минимум на проксимальную треть диафиза! Тут возникает еще один вопрос-пациенту хватает имеющейся длины, либо ставится задача восстановить оптимальные линейные параметры?
Тогда первым этапом надо использовать дистракционный аппарат, причем величину удлинения лимитирует величина линейных размеров наружного края лопатки!
|
[
Ответить ]
|
Re: Атрофия плечевой кости
Наконечный Д. 19 Февраль 2013, 00:37
|
Спасибо, глубокоуважаемый Игорь Владимирович. Жаль, что дискуссию завязать не удалось.
|
[
Ответить ]
|
( Ответить )
|
|