вверх
отправить
поиск
админ
главная
|
киста или саркома - помощь в лечении |
 |
 |
 |
Отправлено Сергей Миронов 11 Февраль 2013, 09:52 детская областная больница
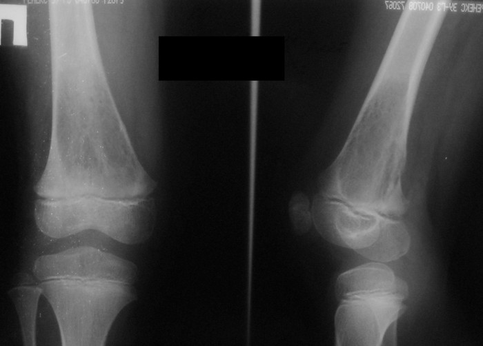
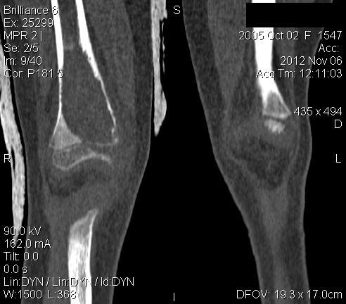
3 месяца назад в отделении была прооперирована девочка 7 лет с клинико- рентгенологической картиной аневризмальной кисты (открытая биопсия). Гистологическое заключение местных гистологов и ФНКЦ им. Д. Рогачева -аневризмальная киста. 2 недели назад девочка взята на костную пластику - на операции полный лизис костной ткани циркулярно на протяжении 10 см от эпифиза на 10 проксимальней и массивное артериовенозное крововтечение из оставшейся надкостницы . Операция закончена наложением стержневого аппарата и остановкой кровотечения тахокомбом, тампонадой мышцами. Повторная гистология неоднозначна. ФНКЦ им. Д. Рогачева дает прежний результат , ФГБУ РОНЦ НН Блохина -телеангиэктатическая остеосаркома, онкологи из института Герцена - киста .Как быть дальше. Кому верить и что делать? Заранее благодарен.
<
|
>
|
|
Ответить
|
Re: киста или саркома - помощь в лечении
Илья 12 Февраль 2013, 07:18
|
Судя по рентгенам и КТ, больше похоже на саркому, так как границы опухоли размыты. Аневризмальная киста обычно находится не по центру кости, а с одного края. Результаты гистологии надо всегда смотреть вместе с рентгенами. Если в каких-то из трёх центров видели только гистологию, то имеет смысл попросить их посмотреть и рентгены с КТ. Ежели всё видели и заключение не меняется, то можно попробовать послать в какой-нибудь очень крупный онкологический центр вроде Instituto Ortopedic Rizzoli в Италии или Mayo Clinic в США.
|
[
Ответить ]
|
Re: киста или саркома - помощь в лечении
Отправитель: Алексей 13 Февраль 2013, 18:13
|
Если не секрет, Илья, где Вы работаете?
|
[
Ответить ]
|
Re: киста или саркома - помощь в лечении
Отправитель: Илья 14 Февраль 2013, 02:27
|
Mount Sinai Hospital, город Нью-Йорк, США.
|
[
Ответить ]
|
Re: киста или саркома - помощь в лечении
Отправитель: Алибек 17 Февраль 2013, 10:15
|
Вам повезло,Илья!!! Думаю,что Сергей Миронов уже пишет переводной эпикриз в клинику Мейо.
|
[
Ответить ]
|
|
( Ответить )
|
|