AOTRAUMA.ORG Центр Илизарова  

Ортопедия и травматология Общие вопросы/General questions Help Информационные технологии в медицине
 вверх
 отправить
 поиск
 админ
 главная


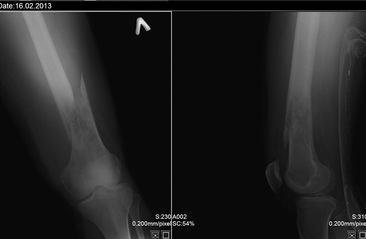
остеогенная саркома бедра?
Ортопедия и травматология Отправлено Пименов Владимир 18 Февраль 2013, 00:48
Уважаемые коллеги! Прошу высказать свое мнение и порекомендовать тактику.
16.02.13поступил молодой человек 26 лет с переломом бедра.Травма при падении на улице. Ранее отмечал боли в коленном суставе поврежденной , лечился у ревматолога с синовитом. В настоящее время проводится ДСВ. Хотелось бы узнать мнения о диагнозе и где лучше оперировать такого пациента.

<  |  >

 

  • Сообщения о Ортопедия и травматология
  • Также Пименов Владимир
  • Связаться с автором
  • Ответить

    Re: остеогенная саркома бедра?
    adonin 19 Февраль 2013, 05:09
    нужна биопсия. Биопсию должен делать онкоортопед, который будет в последующем проводить возможную радикальную резекцию и эндопротезирование, или хотя бы кто-нибудь, знающий технику операции ( чтоб при радикальном вмешательстве иссечь биопсийный рубец) и правила проведения биопсии. В идеале - во время биопсии замороженная секция и окраска по Граму.
    комп томография груди, живота, таза.
    анализы крови- электролиты, кальций, печеночные пробы, воспалительные маркеры. Если есть возможность - радиоизотопное сканирование с технецием. Если биопсия придет злокачественная - неплохо бы МРТ бедра
    радикальная операция - по результатам биопсии
    ИМХО, на остеосаркому не похоже.

    [ Ответить ]

    Re: остеогенная саркома бедра?
    Илья 22 Февраль 2013, 08:25
    Дифдиагноз включает саркому (Юинга, остеосаркому, MFH of bone и другие), лимфому и инфекцию. Как упомянуто доктором Adonin, ортопед-онколог, который будет в дальнейшем лечить пациента, должен сделать биопсию. МРТ мало поможет сейчас, так как гематому от перелома будет трудно отличить от самой саркомы. В случае, что это саркома, перелом лечится в гипсе и даётся химия. Если перелом срастается после химии, что случается в 80-90 процентах случаев, то потом следует сделать МРТ и провести удаление саркома с реконструкцией конечности. Если перелом не срастается, то потребуется ампутация. В случае лимфомы, перелом можно фиксировать пластиной и потом делать химию и возможно радиацию. Но сначала следует сделать биопсию, чтобы установить диагноз и проверить на метастазы.
    [ Ответить ]

    Re: остеогенная саркома бедра?
    Пименов Владимир 22 Февраль 2013, 11:15
    В областной больнице не взяли на лечение, мол обследуйте,делайте биопсию там посмотрим. Планируем наложить АНФ и взять биопсию. С результами биопсии скорее всего порекомендуем обратится в НИИ ТО Н.Новгорода.
    [ Ответить ]

    • Re: остеогенная саркома бедра?
      Отправитель: Илья 23 Февраль 2013, 10:42
      Попробуйте связаться с ортопедом онкологом который будет потом оперировать пациента и спросите его, при помощи какого доступа он предпочёл бы делать биопсию. Ему же потом легче будет, если вы сейчас всё правильно сделаете, так что в его интересах вам помочь сейчас.Разумные варианты либо латеральный доступ, либо через кварицепс, как при замене коленного сустава, но у каждого хирурга свои предпочтения. Не следует открывать коленный сустав, чтобы не обсеменить его злокачественными клетками.

      [ Ответить ]

     

    ( Ответить )

    Powered by Zope  Squishdot Powered MedLink
    Посетитель: 0000188
      "По форме правильно, а по существу - издевательство" В.И.Ленин
    ©2001-2019Orthoforum Coordinator.
    [ Главная | Отправить сообщение | Поиск | Админ ]