вверх
отправить
поиск
админ
главная
|
Артропатия голеностопного сустава? |
 |
 |
 |
Отправлено Александр Стаханов 19 Февраль 2013, 02:57
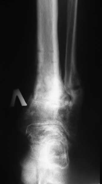
Уважаемые коллеги. Пациентка 1948 г.р., беспокоят боли в области левого голеностопа, прогрессирующая деформация(варусная) и неустойчивость сустава.Травму отрицает. Болеет более 5-ти лет. Согласна на операцию. Вопрос об артродезе г/ст сразу не вызывал сомнений. Но, если это артропатия, то насколько велик риск несращения? Помогите определиться с диагнозом и сответственно с тактикой. Невролог патологии не находит. Во вложенных файлах рентгенограммы за 2007 и 2012 гг.? фото и КТ свежая.
<
|
>
|
|
Ответить
|
Re: Артропатия голеностопного сустава?
александр ерохин 19 Февраль 2013, 19:29
|
А в чём вопрос? С тактикой Вы определились,а будет замедленная консолидация или не будет(да, впрочем,почему вдруг решили ,что должно быть несращение??) и подсчёт вероятности в % какое имеет значение.Делать то всё равно нужно.Удачи.
|
[
Ответить ]
|
Re: Артропатия голеностопного сустава?
Отправитель: Александр Стаханов 19 Февраль 2013, 22:36
|
Вопрос, как я писал, в том что это такое- артропатия или артроз. Мне, например, не доводилось видеть нетравматический остеоартроз голеностопного сустава с прогрессирющей варусной деформацией и выраженной кистозной перестройкой. А несращение после резекции голеностопа у больного артропатией видел. В том случае коллеги дважды фиксировали блокирующим гвоздем и пациент ходил, пока держал металл и в настоящий момент планируется 3 синтез.
И соответственно второй вопрос- фиксация после резекции сустава: АВФ или погружная(блокирующий гвоздь пациентка не потянет).
|
[
Ответить ]
|
Re: Артропатия голеностопного сустава?
Отправитель: александр ерохин 20 Февраль 2013, 15:46
|
Я бы аппарат поставил (более надежно) и если пришлось бы убрать до 2-х -3-х см с тарана и тибии,то и остетомировал бы в том же аппарате большеберцовую кость( в компрессии еще до 2х см потеряется длины) в проксимальной трети.Недавно только был такой больной,правда с постравматическим артрозом.
А что это?- Думать можно о многом:диабет,системное заболевание,нейропатия,миелопатия итд.Заочно диагноз вряд ли кто поставит точно.
|
[
Ответить ]
|
|
Re: Артропатия голеностопного сустава?
A.Liberson 19 Февраль 2013, 23:36
|
It looks like an end-stage probably either of neuropathic joint or Tibialis Posterior insufficiency.
She seems to be overweight, is she diabetic? Otherwise healthy?
The options are between PANTALAR FUSION and Subtalar fusion with a Total Ankle in one session, depending on stability.
Good luck with this case.
AL
|
[
Ответить ]
|
Re: Артропатия голеностопного сустава?
Отправитель: Александр Стаханов 20 Февраль 2013, 13:06
|

Диабетом пациентка не страдает. Может быть какие-то скрытые формы, дообследуем. Лишниий вес в пределах разумного. Недостаточности Tibialis posterior тоже нет(в прикрепенном файле виден выраженный варус).
Думаете, что одного артродеза голеностопного сустава будет недостоточно?
|
[
Ответить ]
|
Re: Артропатия голеностопного сустава?
Отправитель: A.Liberson 24 Февраль 2013, 09:11
|
Pantalar with both Ankle and Subtalar joints would be me choice. I do not recall such a deformity, where we could not find a reason for. Alcoholic neuropathy? Is her EMG normal? Concerning Tib Post the proper way is either a supine physical exam or an MRI. Even in case the costs are too high, it will be better to have a diagnosis before surgery which is in geopardy if the cause is not obvious. A pantalar with correction could b done by Ilizarov in case it is cheaper. You go laterally, turn down the fibula above the Ankle, clean both the joints (if you do not see well, a small medial incision helps you. Correct the deformity by wedges or osteotomies. When the alignment is good help yourself with a thick wire from calcaneus to tibia. Then either put an IMN with compression or apparatus. You can prepare the medial surface of fibula with the corresponding tibial one to be included laterally. Another option would be 3-4 long cannula red screws from calcaneum up. This is not as strong. I do pantalar IMN routinely- this is better for the p-nt. A L
|
[
Ответить ]
|
|
Re: Артропатия голеностопного сустава?
Бережной Сергей 20 Февраль 2013, 02:52
|
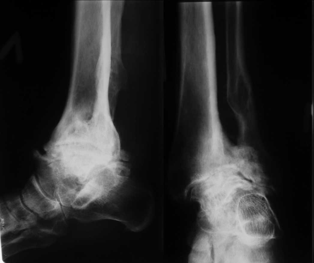
У пациентки резко выраженная вальгусная деформация стопы. При попытке выполнения артродеза без коррекции оси конечности вероятность несостоятельности артродеза и сохранения болей крайне велика. Артроз имеет односторонний характер и связан, с большой степенью вероятности, с нарушением оси конечности. При восстановлении правильной оси такой сустав сможет послужить еще не один год. В плане дообследования обязательны снимки в переднезадней проекции под нагрузкой с захватом бугра пяточной кости, которые помогут лучше оценить осевые взаимоотношения голени и стопы. Исправить эти взаимоотношения можно, как путем медиализирующей остеотомии пяточной кости, так и путем остеотомии большеберцовой кости. Сохраняющая голеностопный сустав хирургия сейчас на подъеме, ей посвящаются симпозиумы, статьи. Она служит, как для сохранения сустава, так и для подготовки последующих успешных операций артродезирования или протезирования.

Во вложении - пример операции при гораздо более грубом посттравматическом артрозе, позволившей пациенту 61 г. через 1.5 г. после корригирующей остеотомии не думать о следующем вмешательстве. Хотя, есть работы, показывающие, что максимальный эффект после подобных остеотомий развивается к двум годам.
|
[
Ответить ]
|
Re: Артропатия голеностопного сустава?
Отправитель: Бережной 20 Февраль 2013, 20:01
|
Да, лучше бы сразу фото двух стоп выложили. А то уж больно первая фотография на вальгусную деформацию похожа. И все-таки ось голени и стопы должна быть восстановлена тем или иным способом. Без этого вероятность несостоятельности артродеза очень велика.
|
[
Ответить ]
|
Re: Артропатия голеностопного сустава?
Отправитель: Роман Д. 25 Февраль 2013, 22:02
|
Красиво конечно, но верится с трудом , что с таким артрозом пациента перестали беспокоить боли и ограничение движений в суставе. Возможно я и ошибаюсь.
|
[
Ответить ]
|
Re: Артропатия голеностопного сустава?
Отправитель: Бережной Сергей 26 Февраль 2013, 14:59
|
При чем тут ограничение движений когда речь идет об артродезе? Конечно ограничение осталось. А вот боли уменьшились на порядок. И стопа стала на место. Во всяком случае, сейчас вопрос об операции не стоит. А если встанет, то можно будет гораздо проще и с большей степенью вероятности получения положительного результата выполнить артродез. Но на самом деле артрозы голеностопного сустава при правильной оси конечности часто протекают очень благоприятно даже при далеко зашедших стадиях.
|
[
Ответить ]
|
|
( Ответить )
|
|