вверх
отправить
поиск
админ
главная
|
Отправлено Соболев Игорь 06 Март 2013, 06:27 центральная БОМБЕЙСКАЯ больница
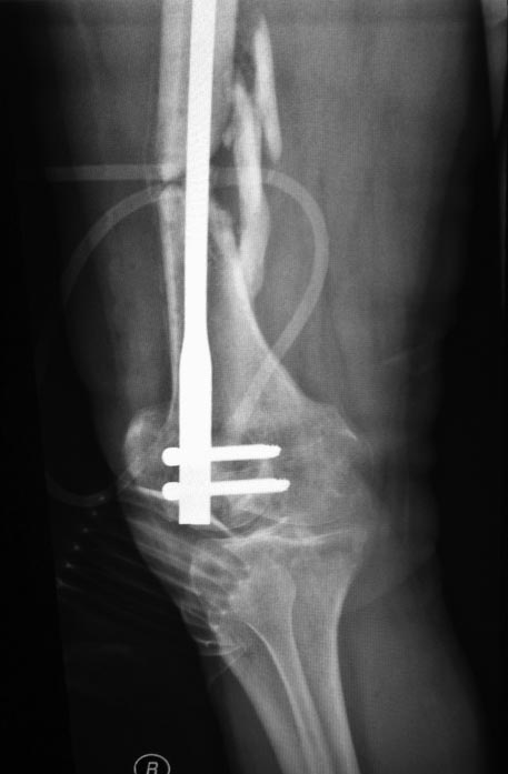
Доброго времени суток . Больной ( 35лет ) дважды оперирован после ДТП от марта 2012 пластинами с угловой стабильностью в том числе мостовидной мыщелковой пластиной . Обе конструкции сломал при этом соблюдал предписаный режим. 2 недели назад прооперирован в одной из клиник Санктпетербурга . укорочение минимальное 1 см ротационных смещений нет .Коленный сустав перестал сгибаться . Что делать дальше . больной морально и финансово истощен . ждать сращения а затем вставать на квоту на эндопротезирование коленного сустава .сейчас БОМБЕЙСКАЯ мсэ дала 3 гр инвалидности . РАботать мужчина не может . Не спрашиваю кто виноват ,что делать дальше .
<
|
>
|
|
Ответить
|
Re: ЛОЖНЫЙ СУСТАВ ПОСЛЕ БИОС
Соболев Игорь 06 Март 2013, 18:07
|

еще снимки
|
[
Ответить ]
|
Re: ЛОЖНЫЙ СУСТАВ ПОСЛЕ БИОС
Отправитель: Станислав Дмитриев 07 Март 2013, 19:02
|
1. Боковая проекция где?
2. Удалить гвоздь и ресинтезировать адекватно с исправлением оси и заходом через межмыщелковую вырезку. Как исправлять ось - на форуме много раз обсуждалось: можно в аппарате, можно с помощью поллеров.
P.S. после такого синтеза суставу определенно кирдык. (Извините за жаргон, но через латеральный мыщелок ввести ретроградный гвоздь...) Здесь можно было и антеградно сделать, не "вскрывая" сустав.
|
[
Ответить ]
|
|
Re: ЛОЖНЫЙ СУСТАВ ПОСЛЕ БИОС
Станислав Дмитриев 06 Март 2013, 23:05
|
Мало информации: снимки бы побольше форматом:)Весь сегмент.И в 2-х проекциях.
Гвоздь в суставе стоит - с чего бы ему(суставу) сгибаться...
|
[
Ответить ]
|
Re: ЛОЖНЫЙ СУСТАВ ПОСЛЕ БИОС
Бережной Сергей 07 Март 2013, 00:24
|
Что такое БОМБЕЙСКАЯ МСЭ? Просто чтобы быть в курсе терминологии. И где ложный сустав?
|
[
Ответить ]
|
Re: ЛОЖНЫЙ СУСТАВ ПОСЛЕ БИОС
Соболев Игорь 08 Март 2013, 09:46
|

Бомбейская - для меня синоним страны третьего мира, больницы где врачу дают в руки клизму и градусник и требуют от него евростандартов. мсе - медикосоциальная экспертиза. должна заниматься реабилитацией больных. На деле всё сложнее. Несращение перелома в течении одного года - это вторая группа инвалидности. Кстати Индия далеко ушла вперёд в травматологии. По крайней мере, существуют дешёвые и качественные аналоги металлоконструкций. Пишу БОМБЕЙСКАЯ, потому что не хочу подвергаться репрессиям администрации больницы и ходить безработным по улицам и петь песню Раджи Капура "Бродяга я" (шутка). А на самом деле просто стыдно.
|
[
Ответить ]
|
Re: ЛОЖНЫЙ СУСТАВ ПОСЛЕ БИОС
Сергей 09 Март 2013, 07:52
|
Отправить в клинику Санкт-Петербурга, хватит сваливать на периферию все свои огрехи, врачу следует исправить свою работу и принести свои извинения пациенту. Больному требуется квота, удаление металлоконструкции и ЧКО апп. Илизарова.
|
[
Ответить ]
|
Re: ЛОЖНЫЙ СУСТАВ ПОСЛЕ БИОС
Отправитель: Владимир 09 Март 2013, 17:16
|
Насчет апп Илизарова - погорячились. Биос как метод выбран правильно, только вот некорректна установка импланта. Необходим ресинтез штифтом - удалить этот и, лучше всего, выполнить антеградный БИОС.
|
[
Ответить ]
|
Re: ЛОЖНЫЙ СУСТАВ ПОСЛЕ БИОС
Отправитель: Сергей 09 Март 2013, 19:39
|
Обратите внимание на название темы и анамнеза. Пациент находится на лечении с марта 2012 года, применялись и пластины и гвозди, результата нет, образовался ложняк. В Питере видимо думали также как вы, штифт и все будет хорошо, но опять неудачный результат. Так видимо нужно что то менять. Чрескостный остеосинтез в лечении ложных суставов не имеет себе равных, так как это уже не перелом и просто фиксация здесь уже не подходит. Видимо незря за бугром изобретают гвоздь с дистракцией и компрессией. А грамотное стационарное и амбулаторное лечение с помощью ЧКО всегда приносит положительный результат. Можно ознакомится с многочисленными трудами сотрудников РНЦ ВТО им. акад. Илизарова по данной тематике. Есть предположение что у пациента остеомиелит.
|
[
Ответить ]
|
Re: ЛОЖНЫЙ СУСТАВ ПОСЛЕ БИОС
Отправитель: Станислав Дмитриев 09 Март 2013, 22:32
|
Судя по количеству "следов" от винтов и их расположению, нарушены принципы фиксации пластинами с угловой стабильностью. Можно распотрошить зону перелома, девитализировать отломки, и потом долго удивляться: почему это не срастается? И остеомиелит скорее всего здесь не причем.
А по тактике - полностью согласен с Михаилом Дедком.
|
[
Ответить ]
|
Re: ЛОЖНЫЙ СУСТАВ ПОСЛЕ БИОС
Отправитель: Владимир 09 Март 2013, 23:27
|
Думаю, если посмотреть на результаты предыдущих операций, то так же будет неадекватность фиксации. Дело оказалось не в методике(она верна), а в исполнителях. Так сказать "попал" пациент
|
[
Ответить ]
|
Re: ЛОЖНЫЙ СУСТАВ ПОСЛЕ БИОС
Отправитель: Alexander Chelnokov 10 Март 2013, 07:35
|
Чрескостный остеосинтез в лечении ложных суставов не имеет себе равных, так как это уже не перелом и просто фиксация здесь уже не
Если ретроградный гвоздь вводить через нагружаемую поверхность наружного мыщелка, то почему аппарат нельзя с той же степенью компетентности применить? Ни в какой остеосинтез не встроена сколько-нибудь надежная "защита от дурака".
|
[
Ответить ]
|
|
Re: ЛОЖНЫЙ СУСТАВ ПОСЛЕ БИОС
Дедок Михаил 09 Март 2013, 16:16
|
Перештифтовать (да хоть этим же штифтом). А дефект мыщелка бедренной кости восполнить, выполнив костную и аутохондропластику. затем стандартное ведение как после мозаичной аутохондропластики.
|
[
Ответить ]
|
Re: ЛОЖНЫЙ СУСТАВ ПОСЛЕ БИОС
Отправитель: Соболев Игорь 09 Март 2013, 21:40
|
Спасибо за советы . Больному повезло лишь в одном -- нет остеомиелита , а предложение Михаила мне нравиться больше всех .
|
[
Ответить ]
|
Re: ЛОЖНЫЙ СУСТАВ ПОСЛЕ БИОС
Отправитель: Чернюк Евгений 10 Март 2013, 23:33
|
А как на счёт костной аутопластики? После ресинтеза стержнем, естественно?
|
[
Ответить ]
|
Re: ЛОЖНЫЙ СУСТАВ ПОСЛЕ БИОС
Отправитель: Дедок Михаил 12 Март 2013, 20:34
|
Может и есть смысл. Но если перештифтовать более толстым стержнем с рассверливанием- то нет.
|
[
Ответить ]
|
|
( Ответить )
|
|