Ответить
|
Re: Перелом головки малоберцовой кости.
Алексей 11 Март 2013, 15:19
|

Не разобрался как сразу отправлять много снимков.
Боковая проекция Вашему вниманию.
|
[
Ответить ]
|
Re: Перелом головки малоберцовой кости.
Djoldas Kuldjanov, M.D. 11 Март 2013, 21:08
|
Авульсионные переломы, т.е. отрывные повреждения связок можно лечить, как переломы. Здесь повреждение латеральной связки коленного сустава и огромный фрагмент, который можно фиксировать шурупом 3.5 мм. Меньшие фрагменты фиксировать чрескостными швами.
Конечность в разгибании до 4х недель, затем наладить движение в суставе, но 2.5 мес. ортез для предупреждения чрезмерных варусных движении. Снимок датирован февралем, будут трудности сопоставить фрагмент на место, а фиксацию надо комбинировать “шуруп +костные швы”.
|
[
Ответить ]
|
Re: Перелом головки малоберцовой кости.
Отправитель: maxim agalakov 27 Март 2013, 21:42
|
а почему в разгибании, один из основных стабилизаторов в разгибании - IT&
|
[
Ответить ]
|
|
Re: Перелом головки малоберцовой кости.
Дедок Михаил 11 Март 2013, 22:40
|
Зная, что крепится к данному костному фрагменту, лечение только оперативное- рефиксация костного фрагмента если случай свежий. В противном случае заднелатеральная нестабильность гарантирована. Осторожнее с N peroneus.
Удачи!
PS Сделайте нагрузочные р- гр на предмет целостности ЗКС.
|
[
Ответить ]
|
Re: Перелом головки малоберцовой кости.
Алексей 12 Март 2013, 13:21
|
Благодарим за советы от лица всех врачей). Про анатомические особенности данной области - понятно. Вот и хотели услышать о методах фиксации и доступе к данной области. Первый раз у нас такое.
|
[
Ответить ]
|
Re: Перелом головки малоберцовой кости.
Отправитель: Алексей 12 Март 2013, 15:15
|
Не лишним было бы выполнить МРТ коленного сустава. Даже по данным обычных Р-гр складывается впечатление о многокомпонентном повреждении сустава
|
[
Ответить ]
|
Re: Перелом головки малоберцовой кости.
Отправитель: Станислав Дмитриев 12 Март 2013, 22:13
|
В боковой проекции есть отрывной костный фрагмент от б/берцовой кости- посмотрите на предмет повреждения крестообразных связок. Также, учитывая высококинетический,по-видимому, характер повреждения - стоит обратить внимание на возможность повреждения всего задне-латерального связочного комплекса. Если есть возможность - МРТ.
|
[
Ответить ]
|
|
Re: Перелом головки малоберцовой кости.
Дедок Михаил 12 Март 2013, 22:05
|
Доступ хорошо показан в прилагаемом фильме. Правда он несколько из другой серии. Оперировал данный перелом через год с момента травмы. Фрагмент не дотянул и прошляпил разрыв ЗКС. Фрагмент дотянулся только до мыщелка б/б кости и я этим удовлетворился. В результате больной доволен. А я нет, так как остался задний ящик и на мой взгляд явная латеральная нестабильность. Но пациента это устраивает так как ему "намного лучше, чем было". Теперь всем делаю функциональные снимки.

FLV, 56 Mb
|
[
Ответить ]
|
Re: Перелом головки малоберцовой кости.
Отправитель: ерохин александр 14 Март 2013, 12:04
|
Спасибо за видео.Нужно попробовать так сделать. Я прежде оперировал ЗКС по Августину (всего несколько раз сделал-это просто),но отдалённых результатов не видел.
|
[
Ответить ]
|
|
Re: Перелом головки малоберцовой кости.
Илья 13 Март 2013, 05:28
|
Совершенно согласен с Алексеем насчёт МРТ колена. Так сместить головку малоберцовой кости невозможно не порвав обе крестовидные связки. И даже на рентгенах видно расширение латеральной части сустава. Так что скорее всего придётся оперировать и крестовидные связки. А малоберцовую кость можно будет зафиксировать интрамеддулярным винтом после открытой репозиции. Насчёт крестовидных связок есть много мнений о том как и когда их оперировать.
|
[
Ответить ]
|
Re: Перелом головки малоберцовой кости.
Алексей 13 Март 2013, 13:01
|
Провести МРТ возможности нет. Гипермобильность голени во фронтальной плоскости очевидная. Сегодня прооперировали. Честно - замаялись. Выделили малоберцовый нерв. Диастаз между отломками 5 см. Выделили апекс со связкой и до мышцы, мобилизировали. Провели в сагтальной плоскости спицу за которую подтянули. Учитывая 2-х недельность травмы и мобилизацию - дотянули, но с физическими усилиями. С апекса провели две спицы, получилось интамедуллярно. Пытались прификсировать фрагмент к большеберцовой кости винтом - не совсем стабильно. Хоели провести проволоку, но она прорезалась. Взяли и дистально провели винт, на который зацепили проволочную петлю - компрессировало! На том и ушли. Снимки завтра после обеда. Благодарю всех!
|
[
Ответить ]
|
Re: Перелом головки малоберцовой кости.
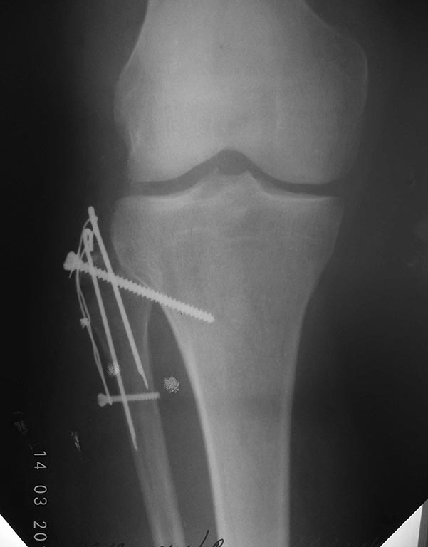
Алексей 14 Март 2013, 11:28
|

Вот результат. Явления неврит всё таки имеются.
|
[
Ответить ]
|
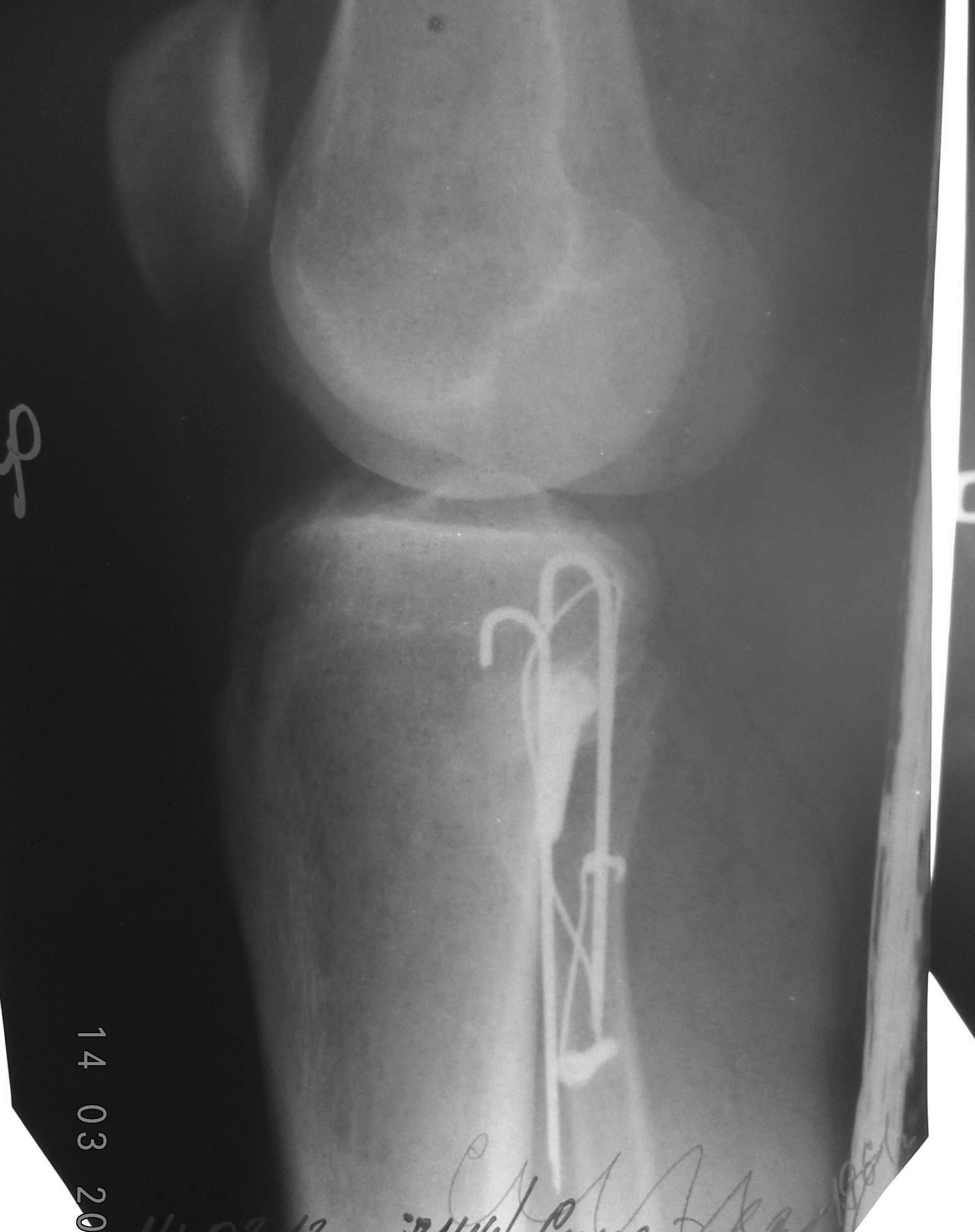
Re: Перелом головки малоберцовой кости.
Алексей 14 Март 2013, 11:29
|

Вторая проекция.
|
[
Ответить ]
|
Re: Перелом головки малоберцовой кости.
Отправитель: Дедок Михаил 14 Март 2013, 21:58
|
Неврит должен пройти. По картинке симпатично.
|
[
Ответить ]
|
|
Re: Перелом головки малоберцовой кости.
Бехтерев Антон 16 Март 2013, 12:10
|
К сожаленью, неврит не пройдет. Проволочная петля аккурат лежит по наружной поверхности малоберцовой кости, придавив мышечные ветви малобецового нерва.
С уважением, Бехтерев Антон.
IMG_20130316_110515.jpg
27KB (28649 bytes)
|
[
Ответить ]
|
Re: Перелом головки малоберцовой кости.
Отправитель: Алексей 18 Март 2013, 11:47
|
Насколько я помню, от места перелома и до места проведения винта наружная поверхность малоберцовой кости обработана распатором. Всё равно всем спасибо!
|
[
Ответить ]
|
|
( Ответить )
|