вверх
отправить
поиск
админ
главная
|
Нейрофиброматоз - удлинение или укорочение? |
 |
 |
 |
Отправлено Сергей Тарасов 22 Март 2013, 17:26
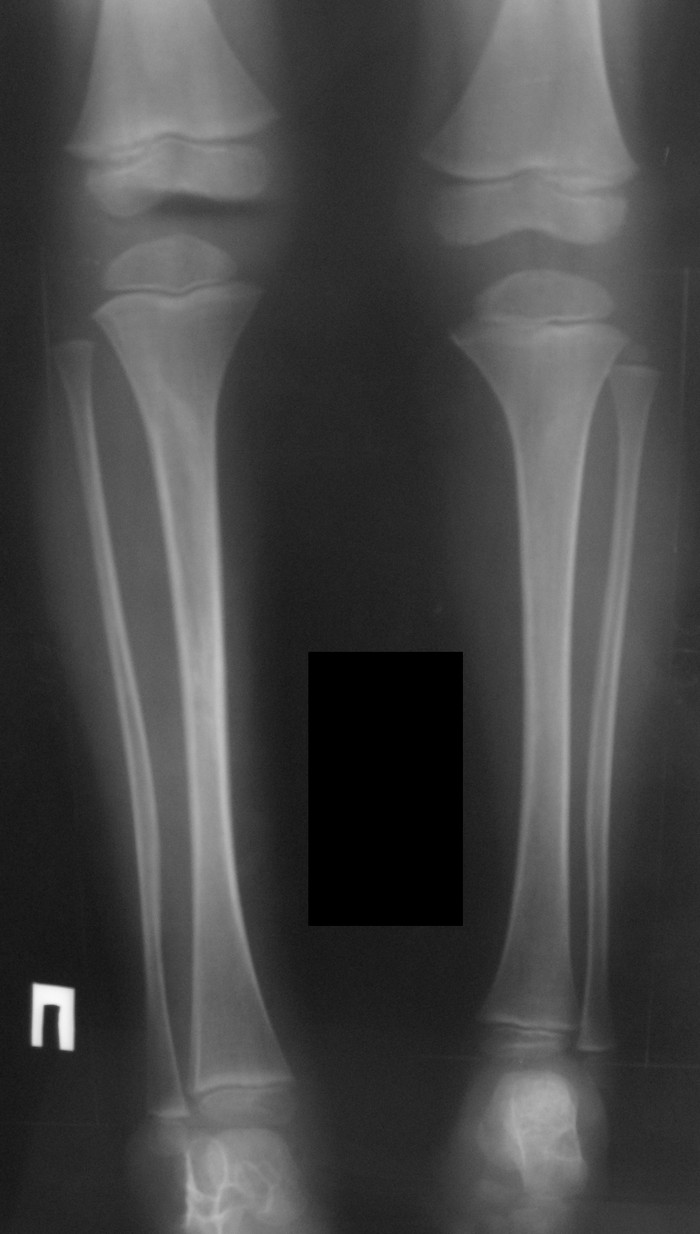
Ребёнок 4 года с подтверждённым диагнозом нейрофиброматоза и удлинением голени. Ребёнок 4 года с подтверждённым диагнозом нейрофиброматоза и удлинением голени. На настоящий момент имеется удлинение и увеличение в размерах правой голени и стопы относительно левой конечности до 5 см. Коррекция диспропорции ног стельками в связи со значительной величиной укорочения уже затруднительна, в связи с чем планируем оперативное лечение. Вопрос возник относительно того, что делать - удлинять здоровую конечность, либо укорачивать увеличенную? С одной стороны, укорочение технически проще, но имеет свои недостатки - слабость мышц вследствие укорочения. С другой стороны: удлинение здоровой конечности - длительный срок аппаратной дистракции и фиксации со всеми вытекающими, необходимость "лечить здоровую ногу"...Хотелось бы знать мение уважаемых коллег.Заранее спасибо.
<
|
>
|
|
Ответить
|
Re: Нейрофиброматоз - удлинение или укорочение?
Ihor 23 Март 2013, 19:17
|
Здравствуйте Сергей,
Вышлите, пожалуйста ,рентгенограммы. Может стоить подумать об временном эпифизиодезе, а не об укорочении?
С уважением.
Ihor.
|
[
Ответить ]
|
Re: Нейрофиброматоз - удлинение или укорочение?
Отправитель: Сергей Тарасов 25 Март 2013, 19:00
|
Спасибо за ответ!
К сожалению, рентгенограммы в настоящий момент выслать не могу - ребёнок из района, приедет на госпитализацию только через 2 недели.
Про эпифизеодез не думали, спасибо за идею. Вы имеете в виду блокирование зоны роста пластиной? Как это делается при коррекции вальгуса/варуса у подростков? Тогда пластин понадобится две, как я понимаю, с обеих сторон.
Но возникают вопросы: коррекция займет много времени, наверное, как минимум около года. Есть ли вероятность того, что зона роста закроется вообще?
|
[
Ответить ]
|
Re: Нейрофиброматоз - удлинение или укорочение?
Отправитель: Ihor 26 Март 2013, 21:44
|
Здравствуйте Сергей,
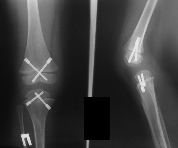
Я имею в виду блокирование зоны роста бедренной и большеберцовой кости винтами , по два на каждый сегмент. Пластинки используют для коррекции осевых деформаций у детей .
С уважением ,
Ihor.
|
[
Ответить ]
|
Re: Нейрофиброматоз - удлинение или укорочение?
Отправитель: Edgar Bukharev 29 Март 2013, 00:18
|
Коллеги!
Действительно хорошая идея сделать именно ВРЕМЕННЫЙ эпифизеодез с применением 8-образных пластин, установленных с двух сторон на проксимальную зону роста большеберцовой кости. До 1,5 лет их можно оставить без последствий для ростковой зоны. Применение винтов для блокирования ростковой зоны приведет к её закрытию, за чем последует значительное укорочение сегмента в связи с малым возрастом ребенка.
P.S. Конечно философствовать можно долго без Р-грамм )))
|
[
Ответить ]
|
Re: Нейрофиброматоз - удлинение или укорочение?
Отправитель: Сергей Тарасов 01 Апрель 2013, 10:42
|
Спасибо, уважаемые коллеги, за комментарии.
Почитал - действительно, у Кэмпбелла очень убедительно написано и нарисовано про блокирование зон б/б и бедренной костей 4 винтами. Про закрытие зоны роста ничего не сказано, наоборот, отмечается "обратимость" эпифизеодеза. Наверное, остановимся на этом варианте.
|
[
Ответить ]
|
Re: Нейрофиброматоз - удлинение или укорочение?
Отправитель: Ihor 01 Апрель 2013, 17:28
|
Пожалуйста .
Ihor.
|
[
Ответить ]
|
|
Re: Нейрофиброматоз - удлинение или укорочение?
Edgar 02 Апрель 2013, 15:53
|
По поводу выбора screw vs 8-plate для эпифизеодеза ГОЛЕНИ:
Efficacy and late complications of percutaneous epiphysiodesis with transphyseal screws
http://www.boneandjoint.org.uk/highwire/filestream/46985/field_highwire_article_pdf/0/270.full.pdf
С уважением
|
[
Ответить ]
|
Re: Нейрофиброматоз - удлинение или укорочение?
Сергей Тарасов 19 Апрель 2013, 15:46
|

Спасибо, уважаемые коллеги, за комментарии.
Взвесили все "за и против" и остановились на эпифизеодезе. Теперь будем ждать результатов.
|
[
Ответить ]
|
( Ответить )
|
|