вверх
отправить
поиск
админ
главная
|
Замещение костного дефекта |
 |
 |
 |
Отправлено Vasili 23 Март 2013, 16:48
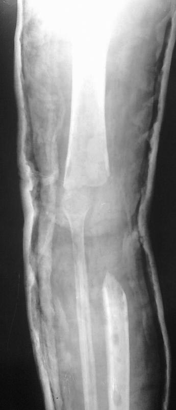
Пациентка 1972 года рождения. В сентябре 2012 года выполнена резекция дистального отдела бедра и проксимального отдела большеберцовой кости. В январе 2012 года оскольчатый внутрисуставной перелом проксимального отдела большеберцовой кости. был выполнен накостный синтез пластиной. Сопутствующая патология ВИЧ. Послеоперационный период осложнился нагноением раны и последующим остеомиелитом большеберцовой кости.Больная неоднократно оперировалась: удаление пластины,фиксация в аппарате, остеонекрэктомии. Из-за недостатка опыта не выполнили в свое время мышечную пластику с закрытием раны, в результате инфекция прогрессировала, распространилась на коленный сустав. В сентябре 2012 выполнена остеонекрэктомия (резекция мыщелков бедра, проксимальной 3 большеберцовой кости), рану закрыли, конечность фиксировали простым АВФ и лангетой. На данный момент имеет место укорочение конечности до 10 см, отека,гиперемии,ран,свищей нет, чувствительность и движения в стопе сохранены, пульс на артериях стопы хороший. Имеет место анемия (87), аппарат снят, конечность фиксирована лангетой, больна уверенно передвигается на костылях. Планируется восстановить опорную конечность используя проксимальный отдел малоберцовой кости для замещения дефекта закрыто в АВФ (что-то вроде операции Гана), возможно с удлинением конечности.Хотелось бы узнать Ваше мнение о тактике лечения данной пациентки.
<
|
>
|
|
Ответить
|
Re: Замещение костного дефекта
Андрей Волна 24 Март 2013, 16:35
|
Было бы правильным знать, получает ли пациентка специфическую терапию и какими препаратами, точку зрения иммунолога и вирусолога, стадию ВИЧ инфекции. Допустим, обладая информацией о вышеназванных параметрах, с месяц назад мне довелось выполнить тЭП ТС ВИЧ инфицированному.
В приведенном же случае, возможно, целесообразна ампутация. Но, повторюсь, информации не достаточно
Андрей
|
[
Ответить ]
|
Re: Замещение костного дефекта
Георгий 25 Март 2013, 07:06
|
фото не открывается
|
[
Ответить ]
|
Re: Замещение костного дефекта
Leonid Solomin 25 Март 2013, 08:52
|
Уважаемый Vasili,
Можно было бы обсуждать различные варианты реконструкций, если бы не ВИЧ. Поэтому в подобном случаем мы бы "пошли" на артродез с использованием блокируемого гвоздя с антибактериальным покрытием. Если при остром укорочении ушить рану ввиду гофрирования мягких тканей не удастся, наложите аппарат поверх гвоздя (только проксимальное блокирование!), после заживления раны дозированно устраните диастаз и заблокируйте гвоздь дистально.
Успехов,
Л.Соломин
|
[
Ответить ]
|
( Ответить )
|
|