AOTRAUMA.ORG Центр Илизарова  

Ортопедия и травматология Общие вопросы/General questions Help Информационные технологии в медицине
 вверх
 отправить
 поиск
 админ
 главная


множественная травма плечевого сустава
Ортопедия и травматология Отправлено Дмитрий 04 Апрель 2013, 13:38
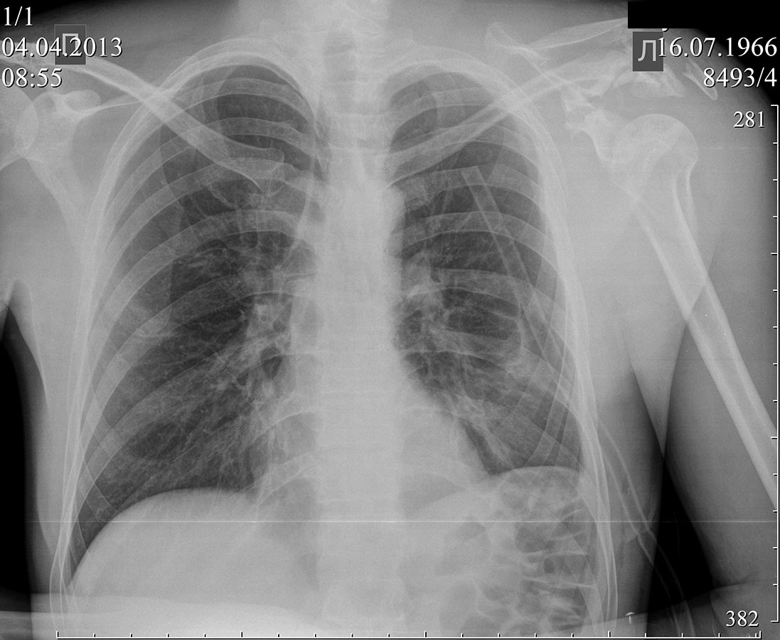
Пациент 46 лет, травма на производстве 30.03.13.упала металлическая балка на левый плечевой сустав.
Диагноз: сочетанная травма, оскольчатые переломы лопатки и акромиального конца левой ключицы, перелом шейки левой плечевой кости,перелом 2-5 ребер слева с повреждением легкого, пневмоторакс. По поступлению торакоцентез слева, косыночная иммобилизация левого плечевого сустава. В настоящее время легкое расправилось, торакальный дренаж удален. Уважаемые коллеги, помогите, пожалуйста, определиться с объемом оперативного вмешательства на плечевом суставе.

<  |  >

 

  • Сообщения о Ортопедия и травматология
  • Также Дмитрий
  • Связаться с автором
  • Ответить

    Re: множественная травма плечевого сустава
    Докторов Алексей 05 Апрель 2013, 22:37
    Желательно сделать КТ. Без него не определиться
    [ Ответить ]

    Re: множественная травма плечевого сустава
    Игорь 05 Апрель 2013, 22:41
    Так еще и вывих грудинного конца правой ключицы, а слева не перелом акромиального конца ключицы, а перелом акромиона лопатки, шейки лопатки
    [ Ответить ]

    Re: множественная травма плечевого сустава
    Александр Ситник 05 Апрель 2013, 23:51
    Ну, хотелось бы не на снимок легких смотреть, а на плечевой сустав. В идеале в трех проекциях и КТ
    А потом и оперировать
    1. шейку плеча (пластина дельтовиднопекторальный доступ или стержень).
    2. акромион или акромиальный конец ключицы - на снимке буквы заслоняют - спицами+проволокой или пластиной
    3. видимо и шейку лопатки из заднего Judet доступа - это можно и вторым этапом.
    Мы наверное так бы делали.
    Удачи
    [ Ответить ]

    • Re: множественная травма плечевого сустава
      Отправитель: Дмитрий 06 Апрель 2013, 09:52
      Спасибо за совет! Попробуем так и сделать. КТ ,к сожалению, приложить не могу -сломан принтер у рентгенологов, смотрим на экране.

      [ Ответить ]
    Re: множественная травма плечевого сустава
    Вадим Ильин 06 Апрель 2013, 18:36
    Тот редкий случай когда нужно оперировать лопатку. Методику посмотрите на сайте acumed. Удачи!

    [ Ответить ]

    Re: множественная травма плечевого сустава
    Николай Кондырев 06 Апрель 2013, 23:59
    Переснимите картинки КТ с экрана монитора. По этой рентгенограмме нет уверенности, что от операции результат лучше будет.
    [ Ответить ]

    Re: множественная травма плечевого сустава
    ЩЦРБ 09 Апрель 2013, 01:04
    И все это тяжелое повреждение относится к категории легкой производственной травме,помоему?может шок тоже имел место быть(для тяжести травмы на производстве)?В наших краях лечение было-бы консервативное.
    [ Ответить ]

    • Re: множественная травма плечевого сустава
      Отправитель: Дмитрий 09 Апрель 2013, 08:07
      Травма относится к категории тяжелых ввиду наличия пневмоторакса. КТ перефотографировал, но что-то вчера не грузилось. Попробую еще сегодня.Оперировать решили двухэтапно, как и советовали коллеги.На следующей неделе выложу снимки после второй операции. Всем огромное спасибо за совет!

      [ Ответить ]

     

    ( Ответить )

    Powered by Zope  Squishdot Powered MedLink
    Посетитель: 0210213
      "По форме правильно, а по существу - издевательство" В.И.Ленин
    ©2001-2019Orthoforum Coordinator.
    [ Главная | Отправить сообщение | Поиск | Админ ]