AOTRAUMA.ORG Центр Илизарова  

Ортопедия и травматология Общие вопросы/General questions Help Информационные технологии в медицине
 вверх
 отправить
 поиск
 админ
 главная


Некроз большеберцовой кости?
Ортопедия и травматология Отправлено Иван Савин 15 Апрель 2013, 16:09
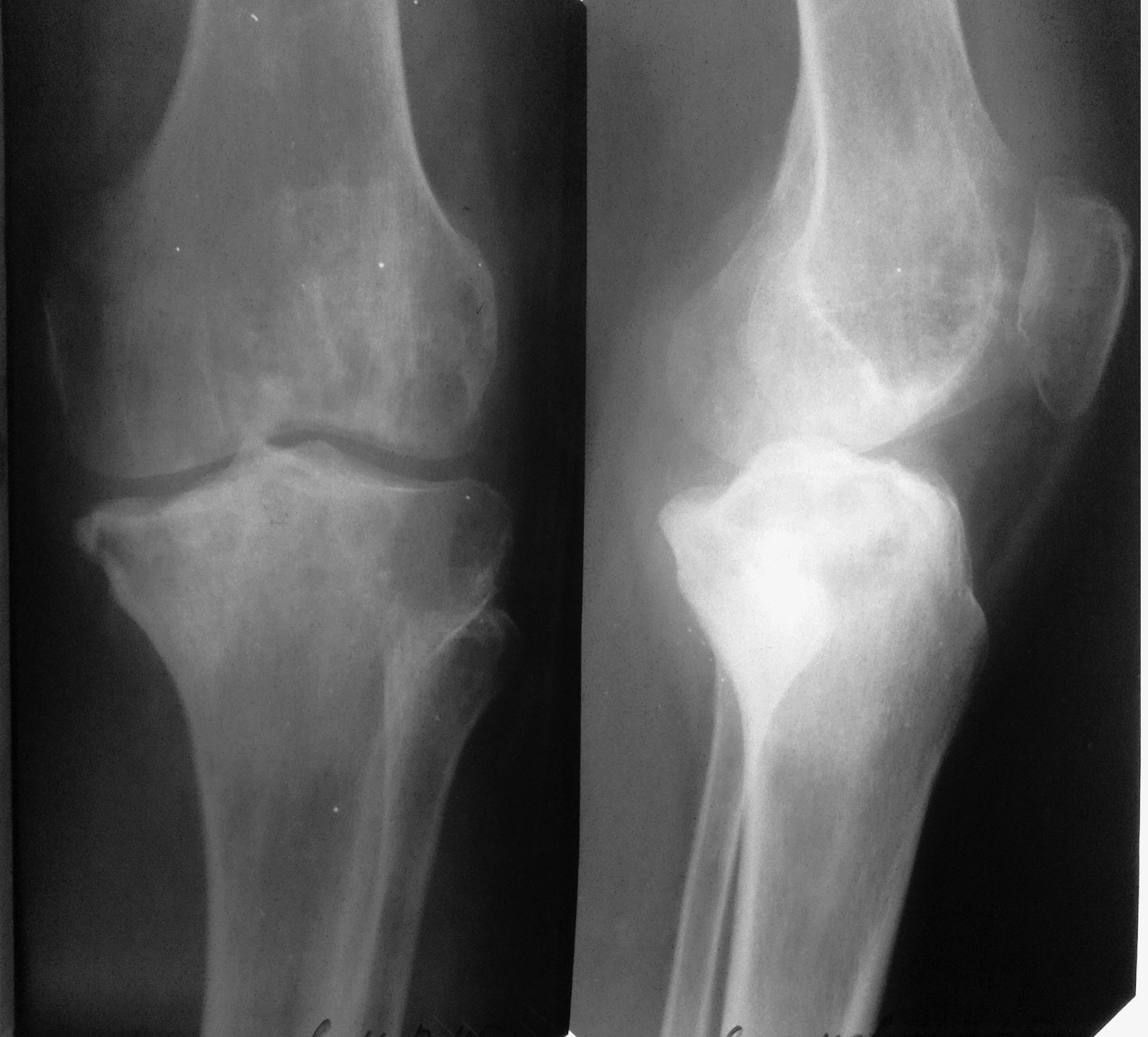
Мужчина 46 лет, электрик РЖД. Болен год. Боли в левом коленном суставе.
2000г - асептический некроз головки левого бедра, эндопротез.
Ходит с тростью с апр 2012, конечность опорная, функция сустава сохранена, внешне сустав интактен, отека, гиперемии, жидкости в суставе - нет. Нормального телосложения и питания, активный. Амплитуда движений почти полная, болезненность при макс. сгибании.
Сцинтиграфия с Технецием - патологическое накопление 200%, других участков гиперфиксации изотопа нет.
Онколог ООД - "ДОА? Нет явного участка для биопсии."Уже год обивает пороги онкодиспансера и РНИИТО им.Вредена
*Госпитализировали к себе (ЦРБ), планируем биопсию. Думаю процесс доброкачественный и неопухолевый, неинфекционный.

Предполагаемый процесс? Тактика?

РГ граммы - янв 2013
МРТ - сент 2012


<  |  >

 

  • Сообщения о Ортопедия и травматология
  • Также Иван Савин
  • Связаться с автором
  • Ответить

    Re: Некроз большеберцовой кости?
    Дедок Михаил 27 Апрель 2013, 00:29
    У пациента, случайно нет псориаза или подагры?
    Доп. искать tbs и хламидийную инфекцию.
    [ Ответить ]


    ( Ответить )

    Powered by Zope  Squishdot Powered MedLink
    Посетитель: 0179184
      "По форме правильно, а по существу - издевательство" В.И.Ленин
    ©2001-2019Orthoforum Coordinator.
    [ Главная | Отправить сообщение | Поиск | Админ ]