вверх
отправить
поиск
админ
главная
|
Постсифилитическая артропатия |
 |
 |
 |
Отправлено Евгений 21 Апрель 2013, 22:59 Сургутская клиническая травматологическая больница
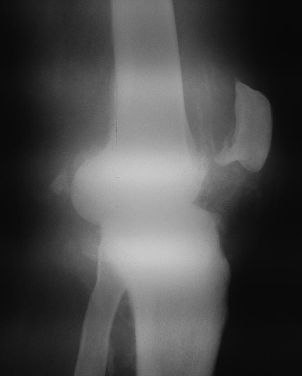
Коллеги, поделитесь опытом, пожалуйста, в методах лечения сустава Шарко правого коленного сустава, заранее благодарен.
<
|
>
|
|
Ответить
|
Re: Постсифилитическая артропатия
Maxim Agalakov 24 Апрель 2013, 11:33
|
из Campbell:
If a neuropathic knee is painless, bracing is the treatment of choice; however, many patients have disabling pain, and operative treatment should be considered for these patients. Controversy still surrounds the inclusion of neuropathic arthritis as an indication for total knee arthroplasty. Several authors reported success with constrained and semiconstrained prostheses in neuropathic arthropathy, but the number of patients has not been large, and the length of follow-up has been short. Hui and Fitzgerald reported generally good results in five knees with neuropathic arthritis at an average of 3.3 years after hinged total knee arthroplasty. Matthews and Kaufer performed seven spherocentric total knee arthroplasties in four patients with clinical or radiographic evidence of neuropathic arthropathy. Within an average of 4 years, aseptic loosening developed in one patient, and instability developed in another. Soudry et al. reported good results at an average 3 years after surgery in nine knees with Charcot and Charcot-like joints using posterior stabilized condylar-type prostheses, most of which were custom-made to compensate for femoral or tibial bone deficits. Many authors have reported failure of total knee arthroplasty in patients with neuropathic arthropathy, most of which occurred with unconstrained prostheses. Kim, Kim, and Oh reported that at 5-year follow-up only 10 (53%) of 19 total knee arthroplasties in patients with Charcot arthropathy were satisfactory; serious complications were frequent. Parvizi, Marrs, and Morrey reported improvements in pain and function at 7 years after 40 total knee arthroplasties in 29 patients with Charcot joints; however, methods usually reserved for complex revision total knee arthroplasty were required in most of the procedures. Our limited experience with total knee arthroplasty in neuropathic knee joints also has been disappointing.
Although sometimes difficult to achieve, arthrodesis is considered the treatment of choice for painful neuropathic arthritis of the knee. Techniques of arthrodesis are described in Chapter 3, but some general principles should be kept in mind for patients with neuropathic knee joints, as follows: (1) complete débridement of all hypertrophic synovium, (2) careful carpentry of apposing bone surfaces, (3) strong internal fixation, and (4) adequate external support after arthrodesis
|
[
Ответить ]
|
Re: Постсифилитическая артропатия
Отправитель: Евгений 25 Апрель 2013, 22:05
|
Спасибо
|
[
Ответить ]
|
|
( Ответить )
|
|