вверх
отправить
поиск
админ
главная
|
Несращение после БИОС бедра |
 |
 |
 |
Отправлено Миронов Андрей 02 Май 2013, 14:49
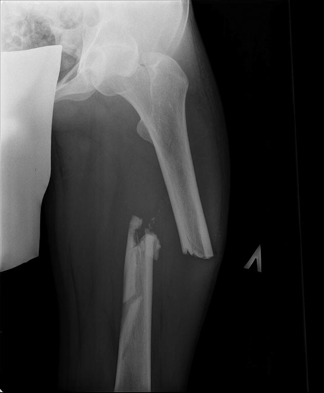
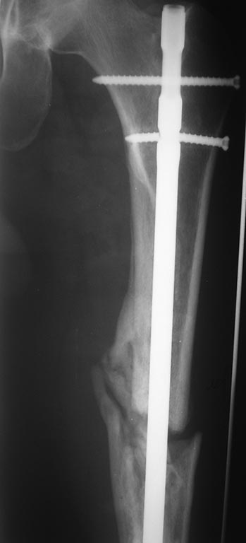
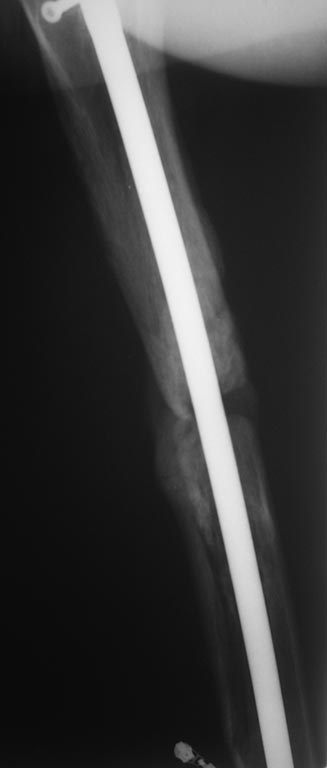
Добрый день уважаемые коллеги. Вашему вниманию представляю пациента(мужчина, 30 лет). Тяжелая сочетанная травма 7 мес. назад. Из скелетной травмы: открытый перелом бедра, открытый перелом дистального метаэпифиза левого плеча, закрытый перелом шейки левого плеча). Все повреждения были прооперированы. Бедро синтезировано штифтом Остеомед d-11мм. Раны зажили первично. Пациент после выписки впервые появился на контрольный осмотр ч/з 7 месяцев. Жалобы на боли в левом бедре при нагрузке, ощущение подвижности в месте перелома. Передвигается без дополнительных средств опоры. Локально: отека левого бедра нет, п/операционные рубцы без признаков воспаления. движения в суставах левой н/конечности в полном объеме, безболезненны.( все снимки, первичные, после операции и на сегодня прилагаю). основной вопрос, тактический, чем лучше выполнить реостеостеосинтез. У нас в наличии имеется: из штифтов Остеомед d-12мм, старый набор Синтез с канюлированными штифтами максимальный d-14мм., пластины LC-DCP, аппарат Илизарова. В плане 2 варианта: 1) удаление проксимальных блокирующих винтов(сломаный тоже), фиксация бедра спице-стержневым аппаратом из 2-х опор и компрессия в аппарате. 2)удаление металлоконструкции, и выполнение реостеосинтеза с рассверливанием( учитывая очень широкий канал) с установкой винтов поллеров в дистальном отломке. Жду ваших предложений и мнений. Спасибо заранее
<
|
>
|
|
Ответить
|
Re: Несращение после БИОС бедра
Шубин И.В. 02 Май 2013, 21:54
|
По моему мнению в данном случае имеется гипертрофический ложный сустав бедра. Имеет смысл выполнить реоосстесинтез с рассверливанием до максимального диаметра гвоздя и воможно заблокирвоать сразу линамически. И постараться не терять пациента из вида на такой срок как 7 месяцев (а дпнном случае все зависит то пациента в большей мере). Если уверены что он исчезнет после операции - то лучше ничего не делать. Как говорится - не делай дуракам умных операций
|
[
Ответить ]
|
Re: Несращение после БИОС бедра
Alexander Chelnokov 02 Май 2013, 22:37
|
основной вопрос, тактический, чем лучше выполнить реостеостеосинтез
Надо действительно немного рассверлить канал. В периферический отломок в передне-заднем направлении в проекции имеющегося канала гвоздя надо ввести временные спицы. Чтобы гвоздь прошел более латерально, чем сейчас. Это создаст дополнительное "напряжение растяжения" в поперечном направлении в зоне несращения.
|
[
Ответить ]
|
Re: Несращение после БИОС бедра
Ale 04 Май 2013, 12:41
|
А если, скажем, динамизировать данный штифт месяца через 2,5 после операции (+ дозированная нагрузка), помогло бы это избежать данного несращения?
|
[
Ответить ]
|
Re: Несращение после БИОС бедра
Андрей 07 Май 2013, 14:36
|
Учитывая тот факт,что у больного был открытый перелом бедра(попадание инфекции из внешней среды),несращение перелома(7 месяцев)-образовался ложный сустав+подострое течение хронического посттравматического остеомиелита бедра,только теперь вопрос времени(откроются свищи,появится гнойное отделяемое)и диагноз будет звучать так:Нагноение области эндопротезирования левого бедра.
Итог:удаление гвоздя,открыться в месте перелома и освежить концы отломков с рассверливанием костно-мозгового канала+Коллапан* как санирующий материал, фактор роста и перестройки костной ткани),возможен забор аутотрансплантата с крыла подвздошной кости,ВЧКО АВФ аппаратом внешней фиксации спице стержневого типа.
|
[
Ответить ]
|
Re: Несращение после БИОС бедра
Maxim Agalakov 08 Май 2013, 10:43
|
СРБ, СОЭ, лейкоциты?
|
[
Ответить ]
|
Re: Несращение после БИОС бедра
Отправитель: Миронов Андрей 08 Май 2013, 17:18
|
Андрей спасибо за четкое тактическое решение, но по моему это уж слишком агрессивно и категорично.
На момент осмотра( спустя 7 мес) локально нет признаков воспаления в области прооперированного бедра. По лабораторным показателям( у пациента они были на руках, достаточные свежие, 12-дневной давности) все в пределах нормы в том числе и СОЭ и СРБ.
Больше склоняюсь к предложению Александра Николеваевича. А если просто удалить проксимальные винты, разрешить возможно допустимую по ощущениям больного нагрузку и выждать 4-6 недель, стоит ли ожидать положительной динамики?
|
[
Ответить ]
|
|
Re: Несращение после БИОС бедра
VlaD 11 Май 2013, 00:35
|
Здравствуйте, уважаемые коллеги.
С возросшей регулярностью на форуме обсуждаются «беспричинные» случаи несращения переломов после интерлокинга. В постах больше внимания уделяется обсуждению тактике дальнейшего лечения. Причём в подобных случаях предлагаемые варианты не отличаются многообразием и ограничиваются либо таким же остеосинтезом только стержнем большего диаметра, либо пластинкой с костной пластикой либо внеочаговой фиксацией. К сожалению, почти всегда остаются без анализа возможные причины, приведшие к несращению. А жаль. Ведь вероятность сращения после интерлокинга приближается к ста процентам, и точно установленная причина, почему это не произошло в положенные сроки, может подсказать тактику дальнейшего лечения. С моей точки зрения, безусловной причиной несращения перелома бедренной кости в обсуждаемой случае является оставшаяся подвижность между проксимальным и дистальными фрагментами после остеосинтеза. На это указывает и сам больной. Причём очаг нестабильности расположен в проксимальном костном фрагменте между ним и проксимальным концом стержня. Хотя на первый взгляд кажется, что вся проблема в дистальном костном отломке, точнее в отсутствии стабильности между ним и дистальным концом стержня из-за значительной разницы в диаметрах стержня и костномозгового канала. На последних рентгенограммах чётко видна костная мозоль между латеральным кортикальным слоем и стержнем на входе в костномозговой канал дистального отломка. Она говорит об эффективности дистального блокирования тремя блокирующими винтами в полифокальных плоскостях. И на сегодня биомеханическая система дистальный отломок – стержень работает как единое целое. Формируется новый костномозговой канал в дистальном отломке по ходу дистального конца стержня за счёт образования костной мозоли между латеральным кортикальным слоем и стержнем. И этот формирующийся костномозговой канал точно соответствует диаметру стержня, что является дополнительным фактором, стабилизирующим дистальный конец стержня. Поэтому, с моей точки зрения, не имеют смысла предложения, направленные на введение каких-либо металлоконструкций, уменьшающих размер костномозгового канала дистального отломка. Да и сделать это технически при такой рентгенологической картине крайне сложно, если вообще возможно. Что касается проксимального блокирования. Крайне неудачно проведен самый проксимальный блокирующий винт. Если авторы рассчитывали на последующую динамизацию (что, при таком переломе крайне неразумно), то его надо было проводить по верхнему краю овального отверстия. Если предполагалось статическая фиксация на протяжении всего периода сращения, то было бы разумнее его провести по нижнему краю овального отверстия. Тогда нагрузка при передвижении больного распределялась бы на оба проксимальных блокирующих винта, что снизило бы вероятность их перелома. Я уже писал в предыдущих постах с похожими случаями. Два блокирующих винта во фронтальной плоскости, один из которых проведен через овальное отверстие, не могут обеспечить стабильность во фронтальной плоскости, если костномозговой канал на выходе из проксимального отломка не соответствует диаметру стержня. И это, с моей точки зрения, служит наиболее частой причиной несращения. И это же служило причиной частых несращений при фиксации тонкими стержнями без рассверливания костномозгового канала. В данном случае мы бы рассверлили канал до диаметра канала на выходе из проксимального отломка (13-14 мм) и имплантировали бы стержень такого же диаметра как последнее сверло. Отдаю предпочтение протезированию всей длины бедренной кости с дистальным блокирование в мыщелках. Лучший вариант, с моей точки зрения, – реконструктивный стержень с проксимальным блокированием в шейке бедра двумя винтами. Хотя допустим и обычный стержень с расположением винта в овальном отверстии по его нижнему краю. Режим фиксации, безусловно, статический.
Прошу прощения за длинный пост. С уважением, VlaD.
|
[
Ответить ]
|
Re: Несращение после БИОС бедра
Отправитель: Alexander Chelnokov 11 Май 2013, 02:11
|
> Причём очаг
> нестабильности расположен в проксимальном костном фрагменте между ним и
> проксимальным концом стержня.
Непохоже. Вверху он нормально держался, и внизу центрального отломка канал неширокий. Подвижность явно была, но скорее всего, больше за счет расколотого и длинного периферического отломка, винты-то далеко, а рычаг длинный. В сочетании с неустранненным смещением по ширине, отсутствием кортикальной аппозиции по латеральной стенке даже достаточно активного костеобразования здесь не хватило, чтобы стабилизировать отломки.
> фактором, стабилизирующим дистальный конец стержня. Поэтому, с моей
> точки зрения, не имеют смысла предложения, направленные на введение
> каких-либо металлоконструкций, уменьшающих размер костномозгового канала
> дистального отломка. Да и сделать это технически при такой
> рентгенологической картине крайне сложно, если вообще возможно.
Ничего сложного, право слово. И как раз смещение периферического отломка медиально резко повысит стабильность в первую очередь за счет напряжения межотломковых тканей.
> Что
> касается проксимального блокирования. Крайне неудачно проведен самый
> проксимальный блокирующий винт.
Это стандартное положение динамического винта при использовании инструментария UFN и его клонов, только туда кондуктор его и направляет. Надо сказать, мы в своей модификации и это отверстие в кондукторе перенесли на прокисмальный край овального отверстия, и добавили возможность ввести статический винт по нижнему краю овального отверстия, и добавили еще одно статическое отверстие более прокимально. Но к данному случаю вряд ли это имеет отношение. Если есть смежные участки целого кортекса на обоих отломках - желательно добиваться аппозиции. Или, попросту говоря, ось надо лучше восстанавливать, иначе смещение по ширине может оказаться слишком большим в неблагоприятных условиях нестабильности после остеосинтеза тонким стержнем без рассверливания.
|
[
Ответить ]
|
|
( Ответить )
|
|