Ответить
|
Re: Перелом проксимального отдела плеча
Alexander Chelnokov 07 Май 2013, 04:34
|
Идеальный случай для закрытого интрамедуллярного остеосинтеза проксимальным плечевым гвоздем. Если есть кто-то знающий, как это правильно сделать. Хороших железок сейчас доступно немало, Synthes Multiloc, Stryker T2 PHN, Versanail PHN... Можно, конечно, и пластиной, но это не так sexy.
|
[
Ответить ]
|
Re: Перелом проксимального отдела плеча
Павел К. 08 Май 2013, 11:05
|
Абсолютно согласен с уважаемым А.Н.Челноковым.
Осеосинтез проксимального отдела нужен, а вот чем - это Ваш выбор! БИОС был бы лучше.
|
[
Ответить ]
|
Re: Перелом проксимального отдела плеча
Anatoly Lazarev 08 Май 2013, 12:55
|
Большой бугорок скорее всего не надо будет фиксировать - увидите под ЭОПом при контрольных движениях после фиксации спицами. Будте внимательными с длиной спиц, и лучше их кусить поперек, чтобы не перфорировать субхондральную кость. Удачи. ЛАФ.
|
[
Ответить ]
|
Re: Перелом проксимального отдела плеча
Антон Жаглин 08 Май 2013, 13:33
|
...а если пластиной, то хороший случай под MIPO...
|
[
Ответить ]
|
Re: Перелом проксимального отдела плеча
igor 08 Май 2013, 17:24
|
Philos из небольшого доступа тоже sexy и стабильно очень.
|
[
Ответить ]
|
Re: Перелом проксимального отдела плеча
Volodymyr Kovalchuk 10 Май 2013, 01:46
|
Гвоздь можно оставить убежденным нейлерам. Мы бы применили остеосинтез блокированной пластиной из малоинвазивного переднелатерального чрездельтовидного доступа.
|
[
Ответить ]
|
Re: Перелом проксимального отдела плеча
Отправитель: Alexander Chelnokov 11 Май 2013, 11:51
|
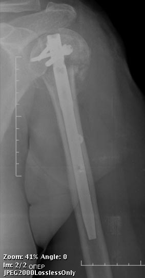
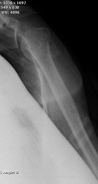
Любой вид остеосинтеза нужно "оставить" тем, кто знает и умеет его использовать. Когда чего-то не умеешь, легче всего выказать пренебрежительное отношение - мол, это можно оставить им, мы-то по-другому. НаучИтесь - понравится. Вот примерчик, операция закрыто через 2 мес. после травмы.

|
[
Ответить ]
|
Re: Перелом проксимального отдела плеча
Отправитель: Volodymyr Kovalchuk 11 Май 2013, 17:43
|
Общему ходу Ваших мыслей трудно противоречить. И представленный Вами случай хорош. Однако по поводу Synthes MultiLoc Nail (а это наверное самый совершенный гвоздь на сегодня для проксимального плеча) это не только лично мое мнение, а мнение большинства преподавателей АО (с кем удалось пообщаться на эту тему), кроме пожалуй Алексея Семенистого и Stefaan Nijs. Алексей в личной беседе несколько недель назад сказал что ему действительно гвоздь больше нравится чем PHILOS. С проф. Stefaan Nijs (эксперт АО по верхней конечности) у нас на эту тему была горячая полемика еще в 2011 году на SECEC-ESSSE в Лионе. Он мне показывал на ноутбуке свои 48 случаев, первыe в Европе при "обкатке" этого гвоздя. Так вот, честное слово, при минимальном смещении вопросов нет - классная штука. А вот при 3-4 фрагментах и значительном смещении, остеосинтез пластиной выглядел бы как минимум не хуже. А в большинстве случаев и лучше. При сложных случаях, нужно все равно выполнять открытую анатомическую репозицию, а потом вводить гвоздь через хрящ. Мне кажется в большинстве случаев особых преимуществ применения интрамедуллярного остеосинтеза при переломах проксимального отдела плеча нет. Мое мнение в том же собрании разделил другой известный эксперт АО Ralph Hertel.
|
[
Ответить ]
|
Re: Перелом проксимального отдела плеча
Отправитель: Alexander Chelnokov 11 Май 2013, 19:14
|
> Общему ходу Ваших мыслей трудно противоречить. И представленный Вами
> случай хорош. Однако по поводу Synthes MultiLoc Nail (а это наверное
Действительно, Multiloc сегодня лучший. Но дело не в конкретной модификации PHN. Вся проблема в обсуждаемом случае в отличной перспективе закрытой репозиции, которую жаль упускать. Сделать хорошую репозицию руками и джойстиками трудно, а дистрактор правильный мало кто применяет.
Речь не о вообще любых, или всех, переломах в этой области, а о конкретном этом случае (и подобных) - хирургическая шейка, большой бугорок не смещен. Когда действительно нужна открытая репозиция - это совсем другая история, и нет, очевидно, большой разницы, чем в итоге зафиксировали, еще и эндопротез бывает нужен. А тут - несколько разрезиков по 1 см, операция 20-30 мин. И между "минимальным смещением" и "3-4 фрагментах и значительном смещении" помещается много чего, вот как раз типа этого случая и того, что я показал.
C Алексеем Семенистым у нас вряд ли будут большие разногласия. Чего-то он молчит, в отъезде, видимо.
А S.Nijs... Я благодаря ему премию на Евротравме получил. Он в своем выступлении убедительно так рассказал, почему нельзя хорошо сделать закрытый интрамедуллярный остеосинтез предплечья. А Ваш покорный слуга, выступавший после на этой же сессии, показал, как все-таки можно.
|
[
Ответить ]
|
Re: Перелом проксимального отдела плеча
Отправитель: Alexey Semenisty 15 Май 2013, 22:47
|
а в отпуске я был. Тему читаю. Добавить особо нечего. Разногласий почти ни с кем нет.... Да, общий статус надо учитывать - сопутствующий перелом шейки бедра в пользу внутренней фиксации, Да, КТ для лучшего понимания и перелома и планирования операции желательна, Да, ключевой момент внутренней фиксации это возможность или невозможность закрытой репозиции. Здесь возможность
закрытой (даже не через ограниченный доступ) репозиции кажется вполне реальной. Затем временная (провизорная) фиксация спицами.... Дальше кому что нравиться, кто чем владеет, у кого что есть (спицы, гвозди, пластины...) У нас есть все, умеем все, нравится больше гвоздь. ....
С уважением, А.Семенистый.
ГКБ № 13, Москва.
|
[
Ответить ]
|
|
Re: Перелом проксимального отдела плеча
Ельцин Александр 11 Май 2013, 01:46
|
Уважаемые коллеги, наш с Вами любимый сайт читают и посещают не только маститые ученые и профессора, но и просто практикующие врачи, ординаторы и студенты. Вопрос: в представленном клиническом случае диагноз "Трехфрагментарный ... и т.д." и предложенные несколько способов РЕМОНТА этого перелома (другого термина я не могу применить в предложениях уважаемых учёных) основаны ТОЛЬКО НА ПРЕДСТАВЛЕННОЙ РЕНТГЕНОГРАММЕ???!!!
А другие проекции рентгенограмм? А КТ? А, общий статус пациентки? А "все эти глупости с кальциями, альфами-D3 и т.д., на которые тратится много времени и денег", - ГДЕ ВРАЧЕВАНИЕ? ГДЕ КЛИНИЧЕСКИЙ ПОДХОД?
Спасибо тем, кто дочитал.
|
[
Ответить ]
|
Re: Перелом проксимального отдела плеча
Отправитель: Alexander Chelnokov 11 Май 2013, 02:24
|
> уважаемых учёных) основаны ТОЛЬКО НА ПРЕДСТАВЛЕННОЙ РЕНТГЕНОГРАММЕ???!!!
> А другие проекции рентгенограмм? А КТ? А, общий статус пациентки?
Все остальные проблемы лечащий врач на нас не взваливает. Попросили подсказать по узкому вопросу. Спрашивающий доктор, ограничиваясь этим снимком, задает граничные условия для поиска решений. Подразумевая, что то, что мы видим, исчерпывающе характеризует проблему. То есть, чего на снимке нет - того и нет. Если информации было бы недостаточно для выбора - об этом сразу бы сказали. А так - эта картинка очень типичная, и обсуждение показывает, что в основном участникам ситуация ясна...
> А "все
> эти глупости с кальциями, альфами-D3 и т.д., на которые тратится много
> времени и денег", - ГДЕ ВРАЧЕВАНИЕ? ГДЕ КЛИНИЧЕСКИЙ ПОДХОД?
Во-1-х, про них сейчас вопрос не задавали, во-2-х, недавно только упоминали, что это глупости и т.п.
|
[
Ответить ]
|
|
Re: Перелом проксимального отдела плеча
Денис М. 11 Май 2013, 09:59
|
А как насчет закрытой репозиции под контролем ЭОПа и фиксации транскутанной спицами?
|
[
Ответить ]
|
Re: Перелом проксимального отдела плеча
Отправитель: Alexander Chelnokov 11 Май 2013, 10:14
|
Чрескожные спицы - не самый привлекательный вид окончательной фиксации, но если других возможностей нет, то придется так.
|
[
Ответить ]
|
Re: Перелом проксимального отдела плеча
Отправитель: maxim agalakov 11 Май 2013, 12:02
|
Вполне себе нормальный способ, в лекциях ОТА за 12 год -отдельная тема. Но, следует учесть, что спицы в чистом виде не совсем подходят, не обходимы 2, 5 мм с резьбой на конце.
|
[
Ответить ]
|
|
Re: Перелом проксимального отдела плеча
Александр Ангельский 11 Май 2013, 12:54
|
Учитывая необходимость замены тазобедренного сустава с последующей активизацией пациента при которой последует нагрузка на плечевой сустав, я бы озаботился максимально надежной стабильностью и опорностью остеосинтеза головки плеча, и не гонялся бы за малоинвазивностью. Так же первым этапом делал бы плечо, затем тазобедренный сустав. С пожеланиями успеха Александр Ангельский.
|
[
Ответить ]
|
Re: Перелом проксимального отдела плеча
Aleksandr 11 Май 2013, 18:23
|
Стандартным лечением для данного типа переломов считается пластина типа Philos с шурупами с угловой устойчивостью. Жаль что нет бокового или аксиллярного снимка. Если во второй проекции положение приемлемое, то я бы выбрал консервативное лечение для этой 74-летней женщины. Даже если есть значительное смещение и симптоматика повреждения n.axillaris то все-равно начал бы консервативно, на косынке или гипс на руку для репозиции силой тяжести и контроль через неделю, физиотерапия когда боль позволит начиная с пассивных до активных упражнений. От спиц отказались в Европе из-за большого процента смещений и миграции, есть различные исследования с блокирующими и спиральными спицами.
С уважением,
Александр
|
[
Ответить ]
|
Re: Перелом проксимального отдела плеча
Отправитель: maxim agalakov 12 Май 2013, 14:03
|
> От спиц отказались в Европе из-за большого процента смещений и миграции, есть различные исследования с блокирующими и спиральными спицами.
- а в Северной америке не отказались http://www.hwbf.org/ota/bfc/schem/exp.htm
|
[
Ответить ]
|
Re: Перелом проксимального отдела плеча
Отправитель: Alexander Chelnokov 12 Май 2013, 16:35
|
Это старая лекция из базового курса для резидентов. То есть есть такой способ, надо знать, как его применять, но широко он сейчас нигде не применяется, все ссылки там на публикации 20-летней давности.
|
[
Ответить ]
|
Re: Перелом проксимального отдела плеча
Отправитель: maxim agalakov 12 Май 2013, 22:08
|
старая - не значит плохая, тем более, что тема выделена в отдельную лекцию по травматологии, а не истории медицины.
Есть и более современные ислледованияЖ
http://www.ncbi.nlm.nih.gov/pubmed/21897582
http://www.ncbi.nlm.nih.gov/pubmed/20011155
http://www.ncbi.nlm.nih.gov/pubmed/16622671
- нельзя сказать, что эта тема неинтересна или забыта (это только навскидку - одни из первых запросов).
Скорее всего, пластина или гвоздь лучше в таком случае, но если стоимость МЭСа сопоставима со стоимостью импланта, надо ли пренебрегать этой техникой?
|
[
Ответить ]
|
Re: Перелом проксимального отдела плеча
Отправитель: Alexander Chelnokov 13 Май 2013, 01:24
|
Есть и более современные ислледования
Одно "для бедных" из Египта , одно про подростков, и только одно более-менее нормального качества, хотя всего 50 наблюдений за 4 года, то есть даже для маленького Израиля это не тенденция... А тут еще и опорная рука побыстрее нужна.
|
[
Ответить ]
|
Re: Перелом проксимального отдела плеча
Отправитель: Александр Ангельский 13 Май 2013, 07:32
|
Не надо так устало ... А как же без опорной руки на костылях то ходить, или на раме Балканского висеть. Рукой не только щи хлебать приходится. Хотя и стойку на руках в 70 с хвостиком возможно у некоторых индивидов. Правда по мировым стандартам можно сразу на эндопротезе тазобедренного сустава ходить, но чаще в практике сразу не торопятся вертикальную позицию пациенты занимать. Хотя при хорошо налаженной системе реабилитации пожилых пациентов с политравмой достижения бывают всякие.Но мне показалось что снимки из обычной горбольницы с отсутствующей реабилитацией, извините если ошибся. С пожеланиями успеха Александр Ангельский.
|
[
Ответить ]
|
|
Re: Перелом проксимального отдела плеча
Дмитрий 19 Май 2013, 12:50
|
А какой эндопротез планируется ставить, учитывая полиартрит, тотальный или биполяр?
В любом случае это обширная операция в таком возрасте и учитывая сопутствующую патологию.
Никто не упомянул о консервативном лечении которое никто не отменял и даёт хорошие результаты особенно у старшей возрастной группы пациентов. Опороспособной рука что после остеосинтез одновременно с протезом не будет что без операции, а так ещё одно вмешательство.
|
[
Ответить ]
|
Re: Перелом проксимального отдела плеча
Виктор 22 Май 2013, 19:41
|
хотелось бы услышать мнение коллег по поводу риска повреждения вращательной манжеты плеча при интрамедуллярной фиксации. заранее спасибо
|
[
Ответить ]
|
( Ответить )
|
|