Ответить
|
Re: Тактика. Оскольчатій перелом дистального отдела плечевой кости
Георгий 15 Май 2013, 11:52
|
Надо делать реостесинтез двумя пластинами. Почему остеотомия локтевого отростка поперечная а не ласточкин хвост? Там кстати тоже нет компрессии и может быть ротация вокруг винта. надо делать по Веберу
|
[
Ответить ]
|
Re: Тактика. Оскольчатій перелом дистального отдела плечевой кости
Бережной Сергей 15 Май 2013, 12:44
|
Смещение произошло на фоне крайне нестабильной фиксации и отсутствия точной репозиции. Способность локтевого отростка консолидироваться при подобном способе фиксации и наличии диастаза тоже весьма сомнительна. Почему было не сделать по Веберу? После такого остеосинтеза лучше было наложить глубокую гипсовую лонгету. Тогда, может быть, не произошло бы вторичного смещения. В принципе показан реостеосинтез. Делать или нет и каким способом зависит от того, чем лучше владеет хирург. Но расчитывать на "подправить" закрыто после снятия швов - заниматься самообманом. Должен ли являться отек противопоказанием для реостеосинтеза - сказать сложно. Ведь он может быть обусловлен разными факторами: тяжестью травмы, травматичностью выполнения операции, наличием вторичного смещения, воспалением операционной раны, наличием гематомы. Если воспалительных явлений в ране нет - можно оперировать и на фоне отека. По идее точная репозиция и стабильная фиксация должны способствовать его спадению. Вопрос в том, есть ли уверенность в способности добиться репозиции и фиксации со второй попытки. И конечно для планирования подобной операции очень желательна КТ.
Удачи.
|
[
Ответить ]
|
Re: Тактика. Оскольчатій перелом дистального отдела плечевой кости
VlaD 15 Май 2013, 12:47
|
Проблема возникла из-за неполноценного остеосинтеза. Не выполнен остеосинтез медиальной колонны плечевой кости пластинкой, несостоятельный остеосинтез остеотомированного локтевого отростка.Если отсутствуют признаки воспаления операционной раны, необходим реостеосинтез с дополнительной фиксацией пластинкой медиального мыщелка. Остеосинтез остеотомированного локтевого отростка предпочитаем выполнять по Веберу двумя спицами и проволокой.
|
[
Ответить ]
|
Re: Тактика. Оскольчатій перелом дистального отдела плечевой кости
Александр Ангельский 15 Май 2013, 16:04
|
The picture pleasssssse!
|
[
Ответить ]
|
Re: Тактика. Оскольчатій перелом дистального отдела плечевой кости
maxim agalakov 15 Май 2013, 16:50
|
Если нет инфекционных осложнений- реостеосинтез двумя перпендикулярными пластинами и вебер на локтевой.
|
[
Ответить ]
|
Re: Тактика. Оскольчатій перелом дистального отдела плечевой кости
Александр Ангельский 15 Май 2013, 22:42
|
К сожалению в почтовом клиенте сразу не отражались картинки. Согласен с всеобщем мнением о необходимости реостеосинтеза. Конечно, локтеовй отросток по Веберу, судя по примененным конструкциям при первичном синтезе премоделированной пластины на локтеовй отросток даже китайской в отделении нет. С дистальным плечом в зависимости по интраоперационной ситуации, может не полностью переделывать, а только добавить как уже предлагалось вторую пластину. Сроки - чем раньше тем лучше, тем более на фоне неврита лучевого, кстати не определена причина неврита, уровень выпадения лучевого нерва, мне кажется желательна ЭМГ или хотя бы ревизия на протяжении нерва при реоперации, ведь вы говорите об отеке, а нерв могло просто сдавить. Закрыто улучшить ситуацию не получится. Если нет пластин, то можно и в аппарате при реостеосинтезе спицы зафиксировать, тогда возможно пластину и винты придется удалять. Ну и мне кажется было бы не плохо для перелом луча в т/м без смещения провести фиксацию закрыто спицами перед реостеоситезом плеча для предупреждения вторичного смещения при необходимых для пациентки ранних движениях л/зяпястного сустава, если мышечные ветви лучевого выпадут, то это очень даже будет необходимо ( плечо победите, а кисть не функциональна, и продолжится борьба пациентки за конечность ). Если поверхностная ветвь лучевого, то не обязательно. Хотя у меня картинки лучевой кости не отображаются может и не надо, сейчас то в гипсе, на косынке или как? С пожеланиями успеха Александр Ангельский.
|
[
Ответить ]
|
Re: Тактика. Оскольчатій перелом дистального отдела плечевой кости
Отправитель: Александр Ситник 16 Май 2013, 01:40
|
Конечно, локтеовй отросток по Веберу, судя по примененным конструкциям при первичном синтезе премоделированной пластины на локтеовй отросток даже китайской в отделении нет.
- А в чем преимущества пластины перед Вебером здесь (кроме цены)?
|
[
Ответить ]
|
|
Re: Тактика.
Александр Ситник 16 Май 2013, 01:38
|
Судя по выполненному остеосинтезу лучше просто отправить туда, где это делать умеют, замечания указаны выше.
Не зря дистальный отдел плеча называют показателем уровня хирурга.
А неврит точно лучевого нерва, не локтевого? Когда возник?
Интересно, что за хитрая пластина? Вроде не 3.5 мм реконструктивная, а по толщине вообще как треть-трубчатая смотрится?
Закрытая репозиция или внешняя фиксация здесь ничего не дадут, нужен нормальный внутреннний остеосинтез. По срокам - уже прошло 8 дней, если нет инфекции - чего тянуть?
|
[
Ответить ]
|
Re: Тактика. Оскольчатій перелом дистального отдела плечевой кости
Отправитель: Евгений 19 Май 2013, 23:48
|
Ресинтез двумя пластинами, учитывая первую попытку и состояние костной ткани сейчас, желательно с угловой стабильностью обе, локоть во веберу. А неврит, если лучевого, скорей всего, компрессионный из-за наложения турникета
|
[
Ответить ]
|
|
Re: Тактика. Оскольчатій перелом дистального отдела плечевой кости
Евгений 19 Май 2013, 23:50
|
всё написано :
https://www2.aofoundation.org/wps/portal/!ut/p/c1/04_SB8K8xLLM9MSSzPy8xBz9CP0os3hng7BARydDRwN3Q1dDA08XN59Qz8AAQwMDA6B8JJK8haGFgYFnqKezn7GTH1DahIBuP4_83FT9SP0oc5yq3E31I3NS0xOTK_ULciPK8x0VFQFC2_-G/dl2/d1/L2dJQSEvUUt3QS9ZQnB3LzZfQzBWUUFCMUEwRzFFMTBJREZMVUlRUDEwMDA!/?redfix_url=&implantstype=Perpendicular%20plating&segment=Distal&bone=Humerus&classification=13-C2&approach=&showPage=redfix&treatment=Operative&method=ORIF
|
[
Ответить ]
|
Re: Тактика. отдела плечевой кости
Данила Курышев 22 Май 2013, 03:04
|
Если бы винты в реконструктивной пластине были блокированные и длинные... А остеосинтез локтевого отростка по Веберу.. Конечно, реостеосинтез. неврит был или стал?
С уважением.
|
[
Ответить ]
|
Re: Тактика. Оскольчатій перелом дистального отдела плечевой кости
Djoldas Kuldjanov 04 Июнь 2013, 01:05
|
Уважаемый Константин,
Не каждый имеет смелость признать свои ошибки публично, но ради пациента дискуссию надо продолжать. По непонятным причинам первичные авторы пропадают, возможно, теряется интерес, а вопрос остается. Был ли решен или до сих пор идут исследования? О добровольном участие на форум мы говорили, куда можно обратится за советом или можно уйти без предупреждения...
Возможно, к этому времени как решить проблему не интересует, но осложнение заинтересовало тех, кто занимается лечением сложных переломов плеча. Совместные разборы помогут разработать тактику избежания ошибок и дадут возможность посмотреть, что делается сегодня. Понятно, что везде разные материальные возможности, и каждый решает проблему сам, но создание мобильности в лечении суставных переломов остается в силе.
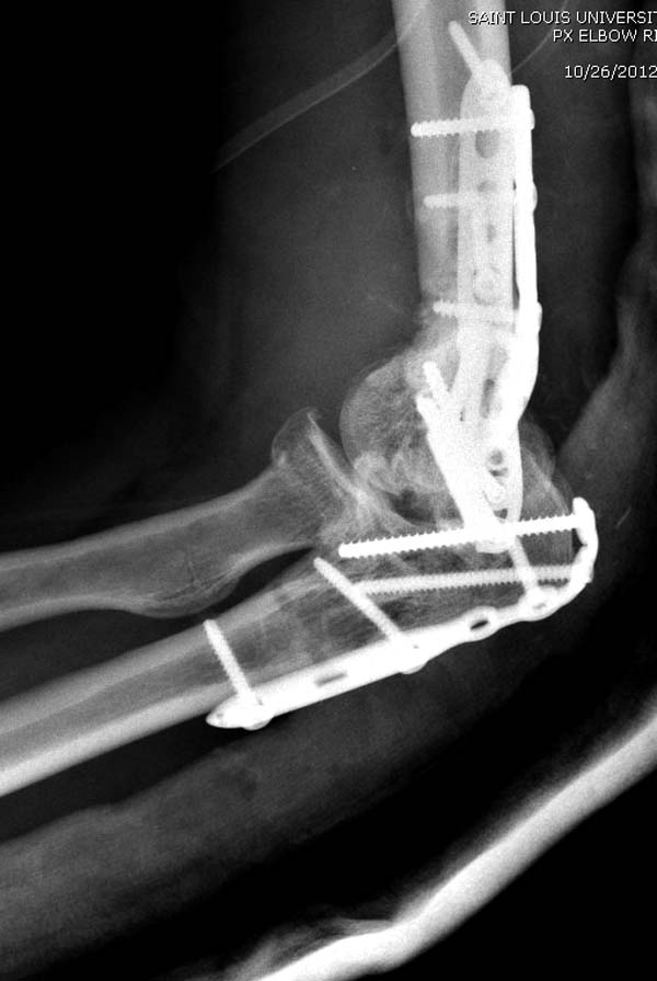
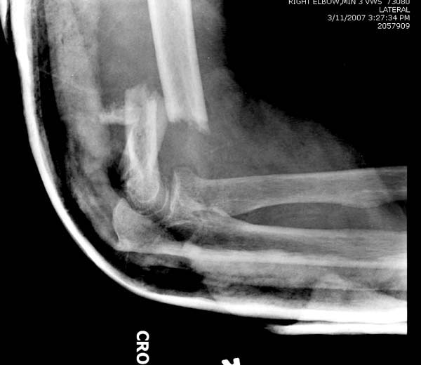
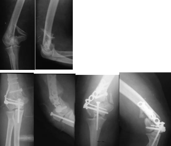
Из представленнего материала видно, что между снимками нет разницы. Отсутствует репозиция не только медиального, а также латерального мыщелка. На боковом снимке мыщелок расположен спереди, а прямом головка луча упирается в край мыщелка, что означает ротацию. Отсутствует компрессия между мыщелками, а один шуруп не смог удержать медиальную сторону, которая при первом же движении рассыпалось.
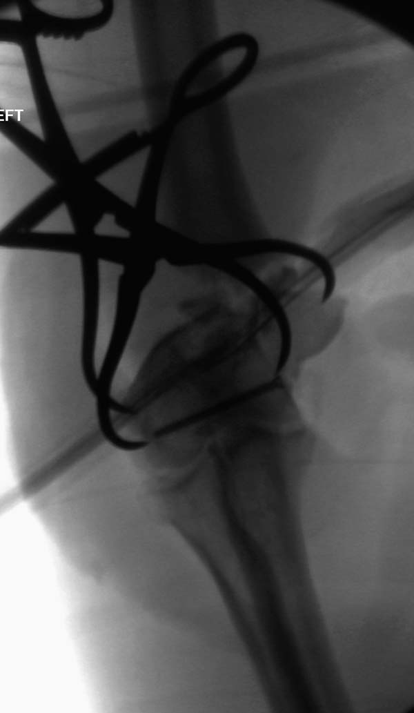
Ошибка в фиксации привела к дополнительным проблемам, теперь, кроме плеча, надо заниматься с локтевым отростком и невритом. Доступ обычно из двух сторон мышцы трицепса, но некоторым внутрисуставным переломам визуализацию можно создать за счет остеотомии локтевого отростка и как дружно заявили, что фиксацию заканчивает только по Веберу.
Техники Вебера популярная, особенно, где имеется лимит ресурсов, т.е минимальный имплантат и максимум бенефит. Кроме положительного имеется отрицательные моменты, концы проволоки или спицы становятся проблемой. Проблемы в основном возникают с изогнутым концом спиц или проволоки после спадения отека. Бывали жалобы даже при отсутствии боли, при виде разорванной проволоки под кожей больному казалось что то “ужасное”. Дело не в механической слабости, а мягкотканые осложнения привели к тому, что многие центры (больше 10 лет) постепенно стали переходить к фиксации шурупами или пластиной.
Открытая репозиция дистального плеча всегда сложная и длительная процедура. После операции для фиксации локтевого отростка остается очень мало времени, кроме этого усталость хирурга также влияет на качество репозиции. Остаются неправильно согнутые концы спиц!
Потом книге Principles of Fracture Management, где показаны этапы фиксации, больше 13 лет, и за это время произошло многое. Изменилось понимание механики дистального отдела плеча и важность мягких тканей вокруг локтевого отростка.
Технология не стоит на одном месте, и вместо спиц пришли менее раздражающие преконтурные пластины. Их можно уложить перед остеотомией, затем удаляют и сохраняют до конца операции вместе с шурупами. По окончании операции пластина укладывается на готовые дырки.
Прежде популярная фиксация шурупом сегодня уходит на второй план, хотя установку можно облегчить засчет предварительного проведения на всю длину до остеотомии. Обычный метчик и вместо 4.5 мм, более толстые 6.5 мм. Мелькие шурупы, попадая в центр канала, не удерживает ничего!
Разработаны различные концепции установки пластин на дистальное плечо: две параллельные в 180 или под углом в 90 градусов. Почти все компании имеют все варианты пластинок, а Acumed признает так называемую Keystone concept http://www.acumed.net/distal-humerus-plates
Для сохранения хряща пересмотрен вопрос линии остеотомии, вместе внутрисуставных делаются внесуставные.
В данном случае надо делать ревизию. Среди остальных осложнении ложный сустав локтевого отростка лечить легко, фиксация пластиной и костный графт. Здесь в первую очередь надо создать конгруентость локтевого сустава и вместо толстых шурупов взять тонкие 2.5-3.5 мм. Это как раз случай, когда качество работы зависит не только от опыта хирурга, а и от наличия современного материала по рукой.
Примеры: первому более 15 лет фиксирован шурупом и tension band technique, а второй перелом открытый больной 80 лет, после наружного фиксатора в первом этапе и окончательная фиксация вторично. Третьий раз внесуставная остеотомия...

Еще просьба, коллегам которые предлагают аппаратное лечение, не могли ли показать примеры, а то забыл, как выглядит? Ссылка на классиков доказывают о знакомстве с современнным состоянием ортопедии, но не возможно передать переживание автора. Желательно комментарии сопроводить примерами из практики, тогда будет намного интересней, чем сухая ссылка...
С уважением,
Джолдас Кульджанов
|
[
Ответить ]
|
Re: Тактика. Оскольчатій перелом дистального отдела плечевой кости
Отправитель: Anton Bekhterev 04 Июнь 2013, 14:58
|
Спасибо, Джолдас за отличную (как всегда) презентацию. Можно подробней про третий
|
[
Ответить ]
|
Re: Тактика. Оскольчатій перелом дистального отдела плечевой кости
Отправитель: Anton Bekhterev 07 Июнь 2013, 11:58
|
Прошу прощения за неполный ответ. Еще раз: Спасибо Джолдас за великолепную презентацию. В третьем случае, если я правильно понял, Вы сперва выполнили закрытую репозицию и чрескожную фиксацию отломков под контролем С-дуги. И затем перешли к открытому этапу, не так ли? Чем Вы руководствовались в выборе такой тактики?
С уважением, Бехтерев Антон.
|
[
Ответить ]
|
|
( Ответить )
|
|