Ответить
|
Re: Политравма
Максим Цыганок 16 Май 2013, 03:09
|
Сколько лет пациенту? При сочетанной травме скелетное вытяжение крайне нежелательно. Первым делом переведите голень на стержневой АВФ, или Илизарова. Оценка тяжести состояния, и в зависимости от него, необходимо восстанавливать плечевые кости. Этапно.Не пытайтесь прооперировать все в один день.Если другое плечо без вывиха головки, начните с представленного на снимке. Для шейки плеча предпочтительнее Phylos.О виборе импланта для голени судить нереально не видя снимка.
|
[
Ответить ]
|
Re: Политравма
Максим Цыганок 16 Май 2013, 04:04
|
Перевести голень с вытяжения на стержневой АВФ(проще и быстрее) или Илизарова. В зависимости от тяжести состояния, оперировать, этапно, шейки плечевых костей. Предпочтение Phylos. Начинать с той где вывих головки. В последнюю очередь вернутся к голени. Выбор импланта для голени без снимка дискутабелен.)
|
[
Ответить ]
|
Re: Политравма
Алмаз 16 Май 2013, 08:16
|
1. В данном случае сможем ли БИОС, если да насколько риск инфекционных осложнений при открытом переломе костей голени.
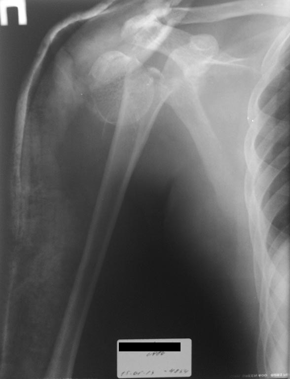
2.На плечо справа планируем остеосинтез блокирующими пластинами.
3. На плечо слева БИОС проксимальным стержнем.
|
[
Ответить ]
|
Re: Политравма
Алмаз 16 Май 2013, 08:20
|

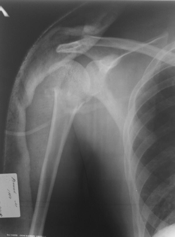
Рентгенограмма левой плечевой кости.
|
[
Ответить ]
|
Re: Политравма
Maxim Agalakov 16 Май 2013, 10:46
|
синтезировать либо немедленно все либо подождать до 3-х недель голень, плечо - чем раньше - тем лучше, любыми методами, какими владеете
|
[
Ответить ]
|
Re: Политравма
Anatoly Lazarev 16 Май 2013, 12:08
|
Надо соблюдать принципы DCO остеосинтез по стабилизации переломов, лучше закрытый, если нет противопоказаний. Хорошо провести УЗИ ротаторной манжеты, при наличии повреждений в переднем отделе - остеосинтез плеча пластиной, при отсутствии стержень или спицы. Голень по желанию. Важно сократить сроки операции и величину кровопотери, минимизировать контаминацию операционного поля - закрытая репозиция малоинвазивный остеосинтез.
Удачи. ЛАФ.
|
[
Ответить ]
|
( Ответить )
|