AOTRAUMA.ORG Центр Илизарова  

Ортопедия и травматология Общие вопросы/General questions Help Информационные технологии в медицине
 вверх
 отправить
 поиск
 админ
 главная


Перелом головки лучевой кости
Ортопедия и травматология Отправлено Алексей 23 Май 2013, 14:26
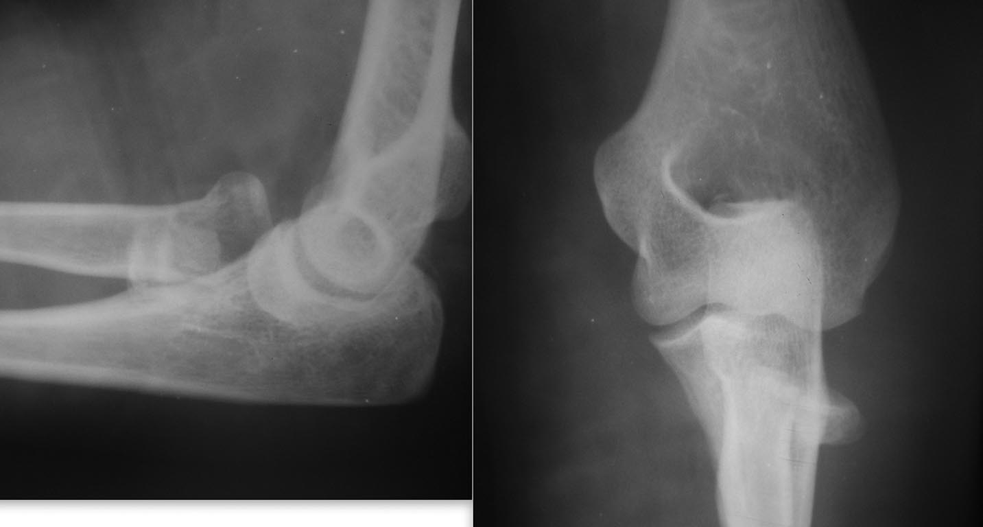
Доброго времени суток, коллеги! Обратилась молодая женщина. Травма в быту 8 дней назад.
Доброго времени суток, коллеги! Обратилась молодая женщина. Травма в быту 8 дней назад. Хотелось узнать мнение сообщества по лечению данных повреждений. Синтезировать или удалять, если удаление, то на каком уровне? Заранее благодарю.

<  |  >

 

  • Сообщения о Ортопедия и травматология
  • Также Алексей
  • Связаться с автором
  • Ответить

    Re: Перелом головки лучевой кости
    Volodymyr Kovalchuk 24 Май 2013, 01:56
    Можно еще и протезировать. Однако для того чтобы о чем-то предметно говорить необходимы качественные рентгенограммы.
    [ Ответить ]

    Re: Перелом головки лучевой кости
    Савранский Александр 24 Май 2013, 02:11
    остеосинтез минипластиной
    [ Ответить ]

    Re: Перелом головки лучевой кости
    Иван 24 Май 2013, 12:30
    Мы в таком случае устанавливаем эндопротез, работаем с BIOMET, Liverpool понравился.
    [ Ответить ]

    Re: Перелом головки лучевой кости
    Гордеев Алексей 30 Май 2013, 23:41
    Можно попробовать зафиксировать бесшляпочным винтом(Герберт). Об этом были доклады на АО форуме. Окончательный вариант у нас решился бы в операционной, все таки нужно быть готовым к различным ситуациям. Успехов!
    [ Ответить ]


    ( Ответить )

    Powered by Zope  Squishdot Powered MedLink
    Посетитель: 0204709
      "По форме правильно, а по существу - издевательство" В.И.Ленин
    ©2001-2019Orthoforum Coordinator.
    [ Главная | Отправить сообщение | Поиск | Админ ]