вверх
отправить
поиск
админ
главная
|
Отправлено Александр Ситник 27 Май 2013, 17:42
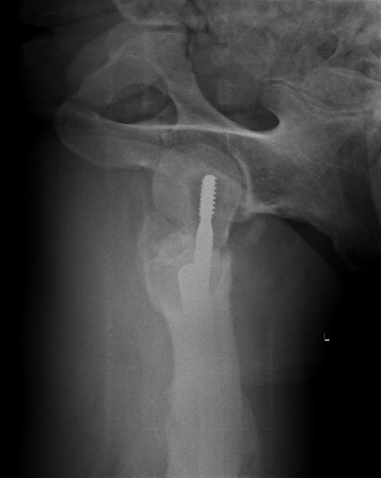
Пациент 63 года мужчина, остеосинтез чрезвертельного перелома проксимальным бедренным стержнем в октябре 2012. Постепенно появились и усилилиь боли в т.б.с., рентгенограммы показывают прорезание шеечного винта.
 PDF, 131 Kb | Рентгенограммы до, после, через 2 мес и сейчас в приложении. Возможные варинаты: 1) реостеосинтез гамма-стержнем (но в наличии только 135-градусные, есть сомнения относительно фиксации винта в головке - вроде бы по первичным винт был установлен корректно, следовательно там сейчас полость); 2) реостеосинтез 95-клинковой пластиной. Просьба поделиться мнениями относительно возможных сложностей, за и против, может быть будут и другие варианты?
<
|
>
|
|
Ответить
|
Re: Cut-out
Alexander Chelnokov 27 Май 2013, 21:15
|
Винт был введен недостаточно глубоко, и главное - длина бедра не была полностью восстановлена.
Реостеосинтез проксимальным гвоздем тут проблематичен, надо исхитриться сделать то, что не сделали при первичном остеосинтезе, т.е. вальгусную репозицию, восстановить длину бедра, и винт ввести не в имеющийся канал, а кпереди, и буквально субхондрально.
135 градусов, боюсь, не оптимальный угол для железки. Можно, наверно, ввести передне-задние винты в шейку на уровне имеющегося канала винта, и ввести новый винт под них.
Клинковая пластина 130 градусная как вариант остается. Или эндопротез уж сразу?
|
[
Ответить ]
|
Re: Cut-out
Отправитель: Игорь Беленький 27 Май 2013, 23:40
|
Почему клинок 130? Я бы взял 95-градусный.
С уважением,
Игорь Беленький
|
[
Ответить ]
|
Re: Cut-out
Отправитель: Alexander Chelnokov 27 Май 2013, 23:55
|
Чтобы и гипервальгус был, и чтобы при осевой нагрузке по клинку хоть как-то сближалось.
|
[
Ответить ]
|
|
Re: Cut-out
Адонин 28 Май 2013, 04:20
|
Рекомендацифя для таких ревизий - клинок 95 или 90 градусов
кто подписан на vumedi - можно посмотреть здесь http://www.vumedi.com/video/revision-cases-of-extracapsular-hip-fractures/
Предпочтителен имплант, который НЕ скользил бы под нагрузкой и не вызывал медиализации диафиза бедра, потому и 95 градусов, а не 130
Дополнительное преимущество - клинок 90 градусов будет в нижней части шейки, более прочной и не затронутой предыдущей операцией
|
[
Ответить ]
|
Re: Cut-out
Отправитель: Alexander Chelnokov 31 Май 2013, 00:31
|
В этой мини-лекции на 8 минуте как раз пара случаев со 130-градусными пластинами.
Здесь был чрезвертельный перелом, не меж- или подвертельный, поэтому компрессия по оси шейки вполне пригодится. Медиализировать диафиз действительно не надо, так что лучше взять пластину без медиализированной диафизарной части.

Здесь надо хорошо вальгизировать проксимальный отдел, поскольку диафиз смещен проксимально - вот так бы неплохо сделать, как на картинке. И 130 градусная пластина подойдет для этого гораздо лучше, 95 градусную тут вряд ли для такой коррекции можно разместить.
|
[
Ответить ]
|
|
Re: Cut-out
Alexander Chelnokov 31 Май 2013, 00:39
|

Насчет ревизионного штифтования - вот пример, вчера сделали.
|
[
Ответить ]
|
Re: Cut-out
Djoldas Kuldjanov, M.D 06 Июнь 2013, 02:21
|

Молодым желательно сохранить головку, и вопрос артропластики надо снять из повестки. Выбор фиксатора зависит от наличия сращения в зоне перелома, а на этих снимках трудно различить, имеется ли сращение. В сравнении с предыдущими снимками показатель шеечно-диафизарного угла изменился, около 85 градусов - это укорочение. Имплант на стороне, а головка находится в ротации.
Идеально было бы сделать КТ с 3D, на которой можно увидеть степень ротации. Сравнительные снимки конечности позволят рассчитать укорочение.
О важности укорочении конечности у пожилых говорили неоднократно, потому что по сравнению с молодыми пожилые адаптируется трудно. Нестабильность походки приведет к новым травмам и такие случаи требуют быстрого восстановления исходного. Во время восстановления требуется работа по устранению укорочения бедра и это невозможно за одну операцию. Одномоментно получается до 2-2.5 см и не больше, иначе нагрузка на нерв!
Представленный Челноковым ипсилатеральный перелом наглядный пример, что при применении одного фиксатора для лечения ипсилатеральных переломов один из них заканчивается ложным суставом. Из-за взаимо исключающих условии - невозможности ранней нагрузки, нередки случаи ложного сустава на двух уровнях: в шейке и в диафизе.
Насчет того что лучше 95 или 130 градусная пластина спор может решит калкулятор валгуса где показаны компенсация высоты. Вариант восстановления длины вальгусом остается удобным, потому что здесь не нарушается биомеханика проксимального бедра. Но чрезмерный (130 и больше) вальгус удлиняет абдуктор, создает дисбаланс и увеличивает Join Reaction Force. Давление на хрящ в свою очередь приводит к преждевременной протрузии ацетабулум...
Можно фиксировать любым из существующих методом, включая метод Илизарова или наружные фиксаторы. А некоторые коллеги умудряются фиксировать гвоздем, но для удержания диафиза от медиализации требуется особый навык. Блокировку можно сделать шурупом, но в неумелых руках быстро приведет к АВН головки.
По сравнению с руглыми винтами плоская поверхность клинка имеет меньший шанс прорезывания, и поэтому в реконструкционной хирургии возле головки, предпочтительным фиксатором является Blade plate. Мы бы применили вальгусную остеотомию и фиксацию 120 градусным Blade plate.
|
[
Ответить ]
|
( Ответить )
|
|