Ответить
|
Re: Ложный сустав или консолидация
Андрей 04 Июнь 2013, 00:05
|
Где контрольные и последние рентгенограммы? Что Вы желаете услышать на основании предложенных Вами данных? Подумайте сами и решите.
|
[
Ответить ]
|
Re: Ложный сустав или консолидация
Отправитель: Олег 04 Июнь 2013, 03:48
|
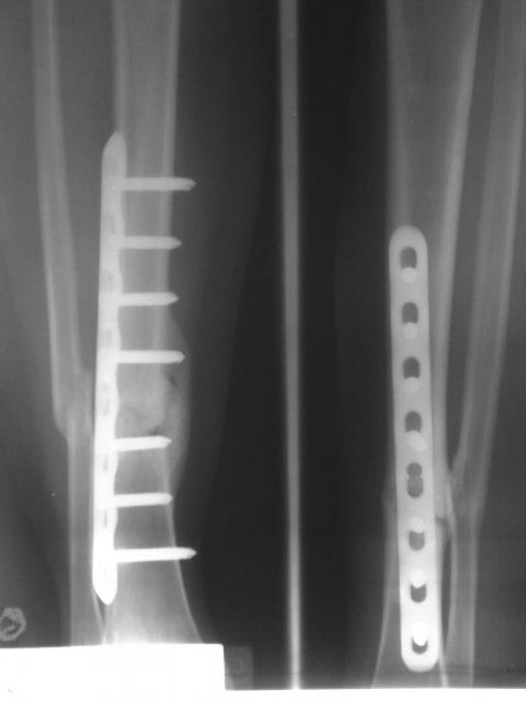
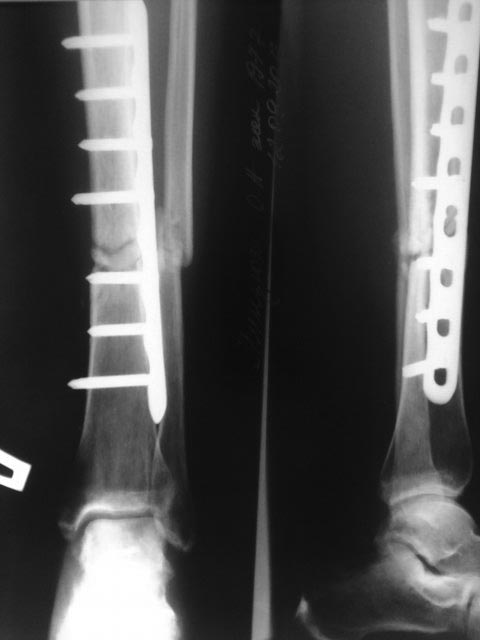
Прошу прощения, залить в сообщение никак не получается, собственно как и очень сложно было создать тему - какой то замысловатый форум. Выложу завтра на обменник и сброшу ссылку
|
[
Ответить ]
|
|
Re: Ложный сустав или консолидация
Олег 04 Июнь 2013, 11:53
|

|
[
Ответить ]
|
Re: Ложный сустав или консолидация
Отправитель: Максим 04 Июнь 2013, 23:39
|
ресинтез БИОС, обязательно м/берцовую кость рубить
|
[
Ответить ]
|
|
Re: Ложный сустав или консолидация
Антон 04 Июнь 2013, 20:56
|
Здравствуйте!
Я предполагаю,что разумнее будет заштифтовать( UTN,Expert) и дать перв.динамизацию.
|
[
Ответить ]
|
Re: Ложный сустав или консолидация
Андрей 04 Июнь 2013, 23:57
|
Здравствуйте! Спасибо за предоставленные снимки! Если судить по снимкам, то перелом сросся (костная мозоль со всех сторон). Необходима трансформация (уплотнение) костной мозоли, а для этого нужны нагрузка и время. Удаление пластины освободит наружный кортикал и распределит нагрузку равномерно по всей окружности кости. Что касается аутопластики, то она не показана при гипертрофическом псевдоартрозе. Ещё раз спасибо!
|
[
Ответить ]
|
Re: Ложный сустав или консолидация
Суворов М.С. 05 Июнь 2013, 18:41
|
По данным рентгенограммам - перелом сростается. Исключить сомнения - сделать МСКТ. Если на МСКТ - данных за ложный сустав нет, то удалить металлоконструкцию и пользоваться ортезом на голень до достижения более прочной костной мозоли по данным контрольных R-грамм.
|
[
Ответить ]
|
Re: Ложный сустав или консолидация
Alexander Chelnokov 06 Июнь 2013, 02:44
|
Еще бы понятно околосуставной, но зачем диафизарный перелом tibia в наши дни синтезировать пластиной?
Периостальная спайка вроде там все-таки есть. Наверно, ничего не надо делать. Или далить ближайшие к перелому винты, чтобы не было концентрации напряжений.
|
[
Ответить ]
|
Re: Ложный сустав или консолидация
Отправитель: Mar 07 Июнь 2013, 04:02
|
Часто бывает,что стержней нет и денег нет, а пластины есть))) Так в Питере))
|
[
Ответить ]
|
|
Re: Ложный сустав или консолидация
Савранский Александр 06 Июнь 2013, 02:48
|
не удалять еще год, пусть ходит
|
[
Ответить ]
|
Re: Ложный сустав или консолидация
Олег 06 Июнь 2013, 13:45
|
Спасибо за все комментарии, пока ждем результатов от УВТ и контрольный рентген через 2 месяца - вижидательная тактика более правильна (как по мне) в данном случае
Выложу цифровые рентгены, потом обсудим повторно
Спасибо еще раз за все ответы
|
[
Ответить ]
|
Re: Ложный сустав или консолидация
Гиздетдинов Альберт 06 Июнь 2013, 19:21
|
Доброго дня, Олег... Случай интересный. Непонятно расположение пластины( наружная установка имеет конкретные узкие показания) и выбор и количество винтов. В тактике, скорее соглашусь с доктором Челноковым, но если не уберете ближайшие к зоне перелома блокированные винты, скорее всего произойдет перелом конструкции. Уберите, может перелом срастется в условиях относительной стабильности. А пластика в этом случае, конечно не показана...
|
[
Ответить ]
|
Re: Ложный сустав или консолидация
Отправитель: Савранский Александр 07 Июнь 2013, 01:23
|
Здравствуйте! А чем конкретно не подходит наружная установка пластины? Вроде закрыта мышцами, меньше мешает.Силы сжатия и растяжения при блокированном остеосинтезе не так существенны.
|
[
Ответить ]
|
Re: Ложный сустав или консолидация
Отправитель: Гиздетдинов 19 Июнь 2013, 22:52
|
Добрый день, Александр!!! Наружное расположение пластины имеет вполне конкретные показания... Если их нет, то.... Даже при отсутствии ЭОПа, можно выполнить остеосинтез минимально малоинвазивно, но только не при наружном расположениии...
|
[
Ответить ]
|
Re: Ложный сустав или консолидация
Отправитель: Савранский Александр 23 Июнь 2013, 01:22
|
Здравствуйте, Альберт!! И все-таки если можно поделитесь какие конкретные показания к наружному расположению пластины, ну и соответственно противопоказания. Если же вопрос только в малоинвазивности,то блокированный стержень здесь предпочтительней.
|
[
Ответить ]
|
|
( Ответить )
|