ВХОД ДЛЯ ПАЦИЕНТОВ
вверх
поиск
админ
главная
|
Последствие повреждений дистального межберцового синдесмоза |
 |
 |
 |
Прислано Абдурашид 05 Июнь 2013, 18:50
из
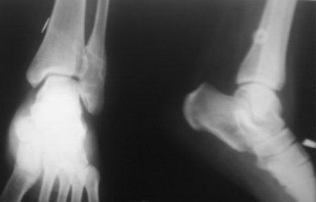
Обратилась К.19 лет. Со слов матери 10-12 лет назад получила перелом лодыжек, лечилась консервативно, ч-з год повторно получила травму г/стопного сустава, лечилась консервативно.
С тех пор беспокоят периодические боли, отеки, слегка прихрамивает. Неоднократно лечились амб и стац, в разных отделениях. 1,5 год назад в одной б-це произведена операция фиксация дистального м/б синдесмоза болт -стяжкой , и через год удалена м/конструкция и вся клиника повторилось. Девочка упитанная, . Мне кажется у б-ной был чрезсиндесмозный оскольчатый перелом м/б кости с разрывом переднего отд.синдесмоза, (44В1.3). неправильное сращение и укорочение м/б кости, или даже с поворотом. , за счет этого хр.неустойчивость дистального межберцового синдесмоза. И к тому болт –стяжка проведена неправильно,с нарушением техники и результат- 0.
Предварительно думаем: косая надсиндесмозная остеотомия м/б кости, удлинение и адаптация мед.суставной поверхности наружной лодыжки, фиксация 1/3 трубчатой пластиной, ревизия дистального синдесмоза, возможно пластика синдесмоза(пока незнаю чем) , и две позиционного винта, или болт –стяжка. Еще будем глубже заниматься, КТ не работает, МРТ есть.
Уважаемые коллеги помогите советом, предчувствую и критику.
С уважением Абдурашид.
Обратите внимание: Поля с жирными названиями обязательны.
Старайтесь отвечать в рамках обсуждаемой темы, а не начинать новые обсуждения.
Указывайте адекватную тему сообщения, чтобы было ясно, о чем оно.
Не послайте сообщений не по теме (оффтопик), раздраженных, грубых или обидных комментариев. Здесь это неуместно.
|