Ответить
|
Re: Нагноение штифта при удлинении голени
VlaD 12 Июнь 2013, 23:07
|
Из собственного опыта. Не надо тешить себя надеждой, что воспалительный процесс только в мягких тканях вокруг блокирующих винтов. Инфекция в костномозговом канале. Косвенное подтверждение – нагноение сразу всех дистальных блокирующих винтов, которые проведены полифокально. Стержень необходимо удалять.
|
[
Ответить ]
|
Re: Нагноение штифта при удлинении голени
Alexander Chelnokov 12 Июнь 2013, 23:18
|
> рифампицин внутривенно, посев в работе. Планируем при отсутствии в ближайшие
> 3-5 дней динамики удалить дистальные блокирующие винты, затем после стихания
> воспаления произвести повторное
Боюсь, тут полумеры могут не решить проблему. Наверно, стоило бы наложить аппаратик, убрать гвоздь, ввести на всю длину гвоздя спейсер из цемента с антибиотиком. Через пару недель, после купирования всех проявлений, заново заштифтовать. Наверно, сделать гвоздь с покрытием. Ну и дистальные винты взять правильной длины, сейчас коротковаты.
Попутно исправить недоточеты вверху. то есть ввести отклоняющие спицы, чтобы устранить вальгус и переднезаднее смещение.
|
[
Ответить ]
|
Re: Нагноение штифта при удлинении голени
Отправитель: Алексей 13 Июнь 2013, 19:16
|
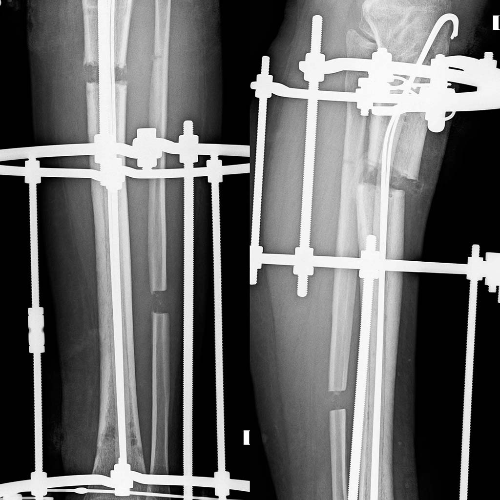
Спасибо! Принято решение удалить штифт и установить цементный спейсер. Вряд ли отважимся на повторный штифт после спейсера, планируем наложить аппарат Илизарова, "попутно исправив недочеты вверху".
|
[
Ответить ]
|
|
Re: Нагноение штифта при удлинении голени
Vsevolod Kalensky 14 Июнь 2013, 00:00
|
У нас недавно был похожий случай: канальный остеомиелит после транспорта кости на штифте.
После получения результатов посева мы на дистракционном аппарате удалили штифт, рассверлили канал, обильно промыли и поставили штифт с антибактериальным покрытием (ванкомицин).
Рецидива инфекции не было.
|
[
Ответить ]
|
Re: Нагноение штифта при удлинении голени
Алексей 16 Июнь 2013, 02:54
|
Коллеги, еще вопрос. Как все происходящее отражется на регенерате?
|
[
Ответить ]
|
Re: Нагноение штифта при удлинении голени
Отправитель: Maxim Agalakov 19 Июнь 2013, 09:41
|
никак или положительно
|
[
Ответить ]
|
|
Re: Нагноение штифта при удлинении голени
Алексей 19 Июнь 2013, 19:05
|

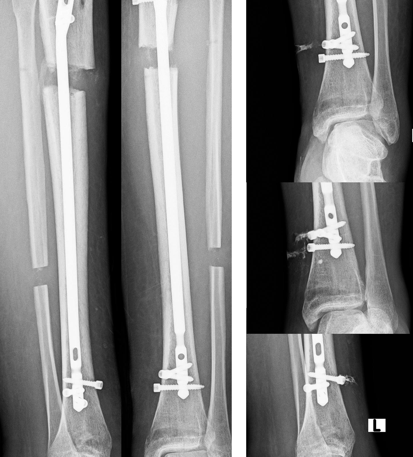
Спасибо всем, кто принял участие в обсуждении. Штифт удален, спейсер ванкомицин 2г + амикацин 1,5 г. Через 2-3 недели планируется удалить спейсер и наложить спице-стержневой аппарат Илизарова. Рентгенограммы прилагаются.
|
[
Ответить ]
|
( Ответить )
|