Ответить
|
Re: Бедро после БИОС осколок "лежит" далеко от отломков
Евгений 13 Июнь 2013, 16:10
|
Притянуть компрессирующим винтом, потом рядом закрепить другим, первый убрать или укоротить.
В качестве компрессирующего сойдёт просто обыкновенный длинный кортикальный винт 3,5 или 4,5 мм, просто в ближнем кортикале сверлится отверствие не менее наружного диаметра резьбы винта. Я в таких случаях беру винты 3,5.
|
[
Ответить ]
|
Re: Бедро после БИОС осколок "лежит" далеко от отломков
VlaD 13 Июнь 2013, 17:57
|

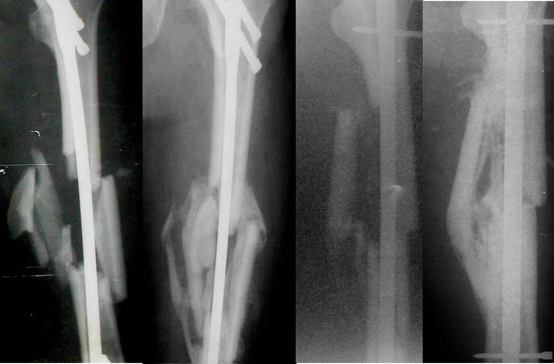
Если выполнено адекватное дистальное и проксимальное блокирование и после операции отсутствует неврологическая или сосудистая симптоматика, нет никакой необходимости что-либо предпринимать ещё. Должно всё срастись без всяких последствий для больного. Примеры во вложенном файле.
|
[
Ответить ]
|
Re: Бедро после БИОС осколок "лежит" далеко от отломков
Отправитель: Василий 07 Июль 2013, 14:47
|
Абсолютно согласен
|
[
Ответить ]
|
|
Re: Бедро после БИОС осколок "лежит" далеко от отломков
ИГОРЬ 13 Июнь 2013, 23:40
|
Представьте другие снимки с "правильным" положением отломков.
Блокирование удалось - почему тогда верхний винт на половину не докручен???
|
[
Ответить ]
|
Re: Бедро после БИОС осколок "лежит" далеко от отломков
Отправитель: Александр 14 Июнь 2013, 00:44
|
Согласен в Владом. Динамическое наблюдение и во время произведенная динамизаиция.
|
[
Ответить ]
|
|
Re: Бедро после БИОС осколок "лежит" далеко от отломков
Коваленко А.Н. 14 Июнь 2013, 11:35
|
Действительно, представленный снимок затрудняет ответ на поставленный вопрос.
Больше интересует, существовал ли этот осколок с момента перелома или результат синтеза.
Последнее грозит нестабильностью проксимального отломка со всеми вытекающими.
Если же сомнений в надежности фиксации нет, то трогать его не стоит. Его репозиция мышечным футляром произойдет не хуже хирургической, при этом сохранится питание.
|
[
Ответить ]
|
Re: Бедро после БИОС осколок "лежит" далеко от отломков
Kuzey 16 Июнь 2013, 13:28
|
по снимку похоже есть укорочение, на сколько укорочение, если есть?
|
[
Ответить ]
|
Re: Бедро после БИОС осколок "лежит" далеко от отломков
Отправитель: Владимир 16 Июнь 2013, 20:44
|
Укорочения нет. Ось восстановлена полностью, блокирование удалось. Единственное - доктор недокрутил статический проксимальный винт, но на прямой проекции он блокирует стержень.
CAM00420.jpg
384KB (394192 bytes)
|
[
Ответить ]
|
Re: Бедро после БИОС осколок "лежит" далеко от отломков
Отправитель: maxim agalakov 17 Июнь 2013, 20:04
|
если все так, как вы говорите, то ничего страшного не будет. Сейчас нужно упор сделать на ЛФК (мышцами поджать отломок) С динамизацией торопиться не стоит (мало контакта).
|
[
Ответить ]
|
Re: Бедро после БИОС осколок "лежит" далеко от отломков
Отправитель: Алексей Семенистый 17 Июнь 2013, 22:43
|
Владимир, вообще-то положено чтобы на рентгенограммах отображались еще и смежные суставы (в данном случае: тазобедренный и коленный)... Ну или хотя бы так, чтобы имплантат был виден весь полностью..... Винт, конечно, докрутить бы надо... А еще проксимальнее есть винт?.... В перелом не лазить!
|
[
Ответить ]
|
|
( Ответить )
|