вверх
отправить
поиск
админ
главная
|
Ревизионное эндопротезирование т/бедренного сустава. |
 |
 |
 |
Отправлено Андрей Кияночкин 20 Июнь 2013, 20:54
Доброго времени суток уважаемые коллеги , помогите советом.Больная . 38лет гражданин республики Казахстан. Оперирована по поводу коксартроза 8.02.10г операция тотальное эндопротезирование левого тазобедренного сустава. В июле 2012г находясь в гостях в г. Челябинск упала на левый тазобедренный сустав - вывих головки эндопротеза. Попытка вправления под общим наркозом безуспешна и больная направлена по месту жительства, также при поступлении попытка вправить закрыто неудалась(вывих заднее- верхний) и 11.07.12 Произведена операция открытого вправления из доступа Хардинга,в ходе операции с целью восстановления оптимального офсета произведена замена ножки №2 на №3 и головки ХL на М (всего 4 размера).Послеоперационное течение гладкое.Но в октябре 2012г рецидив вывиха, вправлен без особых усилий под в/в наркозом при незначительной тракции по оси и внутренней ротации.В течении 3 нед.проводилось скелетное вытяжение в последующем со слов больной ходила с тростью и все время боялась вывиха.19.06.13г «оступилась» на ровном поверхности ,после чего конечность ротировалась кнутри и стала не опорной.Доставлена к нам. R-грамма т\бедренного сустава от 19.06.13г тотальный эндопротез левого тазобедренного сустава, вывих головки эндопротеза.(ножка в костномозговом канале расположена корректно,остеолизиса нет.А вот откуда взялись заглушки в количестве 3 шт у оперировавшего хирурга выяснить не удалось. В экстренном порядке под общим обезболиванием произведена попытка закрытого вправления . Вывих вправлен, но при незначительной внутренней ротации наступает повторная релюксаци.,Вправлен повторно,наложено скелетное вытяжение за бугристость левой большеберцовой кости, произведен рентген контроль на передвижном аппарате-Вывих устранен ,но обращает внимание выраженая зона отсутствия контакта вертлужного компонента и вертлужной впадины шириной до 4-5 мм от середины крыши и до фигуры слезы.А также остеолизис вокруг винтов. И если на ревизию пойти из Хардинга ,то там будут сплошные рубцы! И удастся ли обойтись головкой на 2 размера длинней.Может быть кто-то менял вертлужный компонент не удаляя ножку из переднего доступа по Лайт-Кегги (Видел видео поверхностного эндопротезирования, они при обработке впадины буржуины ротировали бедро и головку кнутри и вертлужная впадина становилась доступной). Заранее благодарен за совет.
<
|
>
|
|
Ответить
|
Re: Ревизионное эндопротезирование т/бедренного сустава.
Андрей Кияночкин 21 Июнь 2013, 10:23
|
после вправления.
|
[
Ответить ]
|
Re: Ревизионное эндопротезирование т/бедренного сустава.
Батал Шушания 21 Июнь 2013, 13:55
|
А зачем менять ножку, если планируете замену только вертлужного компонента? Удаляете головку с ножки и оперируйте на вертлужной впадине. Мы например делаем всегд так и не только мы, но и все, кто занимается эндопротезированием. Правда, мы пользуемся задне-латеральным доступом всегда и мы к этому доступу привыкли. Ну а причина вывихов, по моему, конфликт вертлужного компонента с шейкой бедренного компонента, и надо расположить вертлужный компонент с 20 градусной антеверсией.
Никогда мы не накладываем скелетное вытяжение, при вывихах, нам даже и в голову не приходило это делать. При рецидивных вывихах, были случаи, когда мы накладывали кокситную повязку на 4-5 недель и формировали тем самым контрактуру, что в последующем давала Положителный исход, в виде отсутствия вывихов в последующим. Иногда пользовались тазобедренным ортезом, тоже давала положительный результат.
|
[
Ответить ]
|
Re: Ревизионное эндопротезирование т/бедренного сустава.
Denis Rimashevsky 22 Июнь 2013, 11:24
|
Андрей, здравствуйте!
Это большое преимущество, что пациентка из Казахстана.
В КазНИИТО сейчас есть абсолютно все возможности проблемы.
3D титановые чашки, аугменты, ревизионные модульные ножки, хороший костный банк + очередь на ревизию тазобедренного сустава минимальная.
Гражданам Казахстана все бесплатно. Опыт у А.А. Белокобылова очень приличный.
Если сомневаетесь в своих возможностях - отправляйте её на консультацию в КазНИИТО.
С уважением,
Денис Римашевский
|
[
Ответить ]
|
Re: Ревизионное эндопротезирование т/б сустава.
Андрей Кияночкин 22 Июнь 2013, 11:25
|

Большое спасибо Батал за интересный ответ.Обязательно сделаем 20гр антеверсию Вытяжение наложили в "дисциплинарных целях" до операции,раньше вторника все равно не возьмем на операцию.А гипс до операции - мне её немного жалко,у нас +38.
|
[
Ответить ]
|
Re: Ревизионное эндопротезирование т/бедренного сустава.
Батал Шушания 22 Июнь 2013, 12:46
|
Мне кажется, что угол инклинации вертлужного компонента превышает 45 градусов,но чтобы правильно ценить этот угол, нужно выполнить обзорный снимок таза с тазобедренными суставами и потом измерить угол инклинации чашки. К тому же, чашка при установке латерализовано- мне так кажется-истинная вертлужная впадина находится чуть глубже. Конечно, медиализация чашки увеличит расстояние между бедром и центром вращения чашки (оффсет). http://bone-surgery.ru/view/oslozhneniya_posle_endoprotezirovaniya_tazobedrennogo_sustava_vyvihi_bedra/ по этой ссылке найдете статью, как раз по этой теме.
|
[
Ответить ]
|
Re: Ревизионное эндопротезирование т/бедренного сустава.
maxim agalakov 24 Июнь 2013, 23:20
|
скорее всего чашка нестабильна, хотя данных мало, тестируйте под ЭОПом, попробуйте исключить глубокую инфекцию. А доступ тот же, зачем добавлять рубцов в другом месте? Передний доступ вам ничем не поможет, рубцы же никуда не денутся, получите доп проблемы во время операции из-за ригидности бедра.
|
[
Ответить ]
|
Re: Ревизионное эндопротезирование т/б сустава.
Андрей Кияночкин 25 Июнь 2013, 16:49
|

Все получилось из переднего доступа по Лайт-Кегги под эопом конечно смотрели казалось нестабильна,но на самом деле чашка не качалась,остеоинтеграция была только в зоне винтов , остальное рубцова ткань -гладкая и блестящая.После сбивания головки бедро в положении внутренней ротаци сместили вверх и впадина очень хорошо доступна. Установили чашку DePuy Pinnacle с антеверсией 20 гр. Востановить офсет удалось с головкой DePuy +12. Рентген контроль на С-дуге интраоперационно.
|
[
Ответить ]
|
Re: Ревизионное эндопротезирование т/б сустава.
Отправитель: maxim agalakov 26 Июнь 2013, 18:57
|
>остеоинтеграция была только в зоне винтов
- это и есть нестабильна, сейчас вроде похоже на правду, но нужен таз целиком
|
[
Ответить ]
|
Re: Ревизионное эндопротезирование т/б сустава.
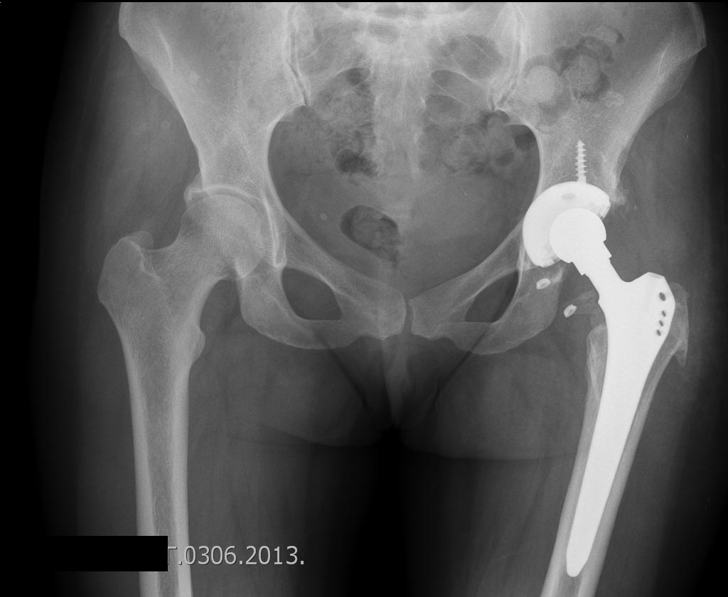
Отправитель: Андрей Кияночкин 04 Июль 2013, 14:32
|

Да конечно чашка была нестабильна.Больная завтра идет домой,вот обзорная таза.
|
[
Ответить ]
|
|
Re: Ревизионное эндопротезирование т/бедренного сустава.
Батал Шушания 25 Июнь 2013, 18:07
|
Ну вот, другое дело. Сравните снимке до и после, увидете разницу, насколько разнятся стояния чашек и по глубине и по углу инклинации.Молодцы. Я Вас Поздравляю.
|
[
Ответить ]
|
( Ответить )
|
|