Ответить
|
Re: Ложный сустав голени и бедра
Андрей Кияночкин 08 Июль 2013, 11:43
|
Уточните что было на голени?Какой АВФ и как долго?Не переживайте наложите Аппарат Илизарова и начните востанавливать обьем движений в коленном суставе.Если больной в волевым характером по нужное сгибание нед через 6-8 будет!Вот тут пожалуста ставте БИОС хотя возможно к тому времени в этом и не будет смысла(в Аппарате хорошо срастется).Удачи!
|
[
Ответить ]
|
Re: Ложный сустав голени и бедра
Отправитель: Шухрат 09 Июль 2013, 11:47
|
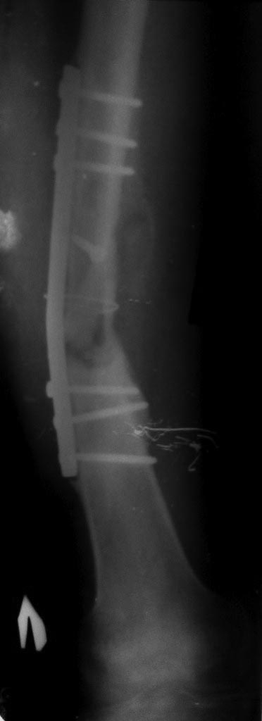
АВФ - обычный для временной фиксации, которую использовали на длительный срок, с расчетом, что срастется. От ЧКДО больной котегорически отказывается.
Спасибо.
|
[
Ответить ]
|
|
Re: Ложный сустав голени и бедра
Андрей 08 Июль 2013, 21:06
|
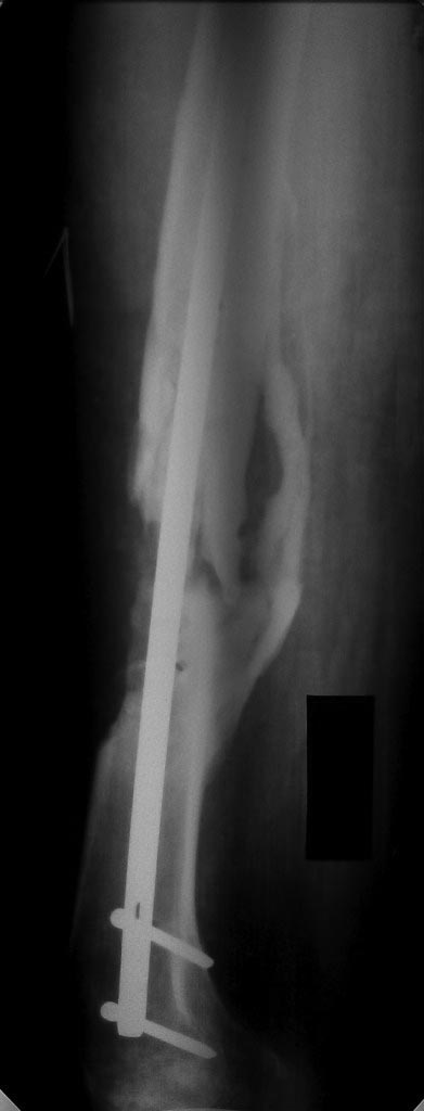
Доброго времени суток! Лечение нереактивного псевдоартроза: адаптация концов отломков, костная пластика и стабильная фиксация. По состоянию костей на настоящее время требуется блокируемая пластина. В дальнейшем приступите к разработке коленного сустава. Никакой аппарат Вам не даст в полной мере разработку сустава по понятным причинам. Большое спасибо!
|
[
Ответить ]
|
Re: Ложный сустав голени и бедра
Отправитель: Виталий Делянко 09 Июль 2013, 11:18
|
Никакой аппарат Вам не даст в полной мере разработку сустава по понятным причинам- совершенно не понятно какие "понятные причины" не могли бы вы по подробнее их указать. Заранее благодарен за ответ.
|
[
Ответить ]
|
Re: Ложный сустав голени и бедра
Отправитель: Андрей 09 Июль 2013, 15:19
|
Любой аппарат в той или иной степени предполагает под собой проведение фиксирующих спиц и стержней через мышечные футляры и капсульно-сухожильные элементы. ИМХО: это ограничит разработку движений в коленном суставе, потребуется проведение новых спиц или перепроведение старых, что связано с дополнительной травматизацией. Тем более в сегменте нереактивного псевдоартроза, требующего трансплантации губчатого вещества кости. Я повторюсь: это ИМХО.
|
[
Ответить ]
|
Re: Ложный сустав голени и бедра
Отправитель: Андрей Кияночкин 10 Июль 2013, 00:12
|
Ничего подобного не замечал особенно на голени.С аппаратом Илизарова мы пережили тяжелое время- девяностые когда кроме спиц ничего не было,заместили кучу дефектов на фоне остеомиелита и все срасталось и не было контрактур особенно в коленном суставе.Нужно просто не нарушать методику проведения спиц.Этот перелом требует не трансплантации ,а адекватной репозиции и жесткой фиксации и не повредила бы ранняя нагрузка на конечность.Посмотрите на снимок-дистальный отломок как будто протянул маленькую ручку к проксимальному-вроде как просит- приблизь его и мы сольемся воедино!
|
[
Ответить ]
|
Re: Ложный сустав голени и бедра
Отправитель: Васюков В.А. 18 Июль 2013, 13:49
|
С вами согласен полностью, сколько мы прооперировали пациентов в 90-х!!!!! Всё срасталось на ура! Тут нужен внеочаговый остеосинтез , каким аппаратом? - это выбор мастера - репозиция + остеотомия м/берцовой кости!
|
[
Ответить ]
|
|
Re: Ложный сустав голени и бедра
Шухрат 09 Июль 2013, 13:40
|
АВФ- обычный, для временной фиксации, но держали на таком апарате 3 мес., с расчетом вдруг срастется.
От ЧКДО больной котегорически отказывается, я тоже полагаю, что лучше ставить блокируемую пластину.
Спасибо.
|
[
Ответить ]
|
Re: Ложный сустав голени и бедра
Отправитель: Андрей Кияночкин 10 Июль 2013, 00:12
|

Можно так предложить, что больной совсем откажется от оперативного лечения - я иногда так делаю. Ну уж если заранее решили пластину, видно, так тому и быть, только не забудьте побольше винтов поставить! Кости-то порозные. Заранее подумайте где, что бы не было некроза кожи. Тогда точно придется откапывать труды Гавриила Абрамовича. (Он и не догадывался, что его методика почему то вдруг окажется временной!)
|
[
Ответить ]
|
|
Re: Ложный сустав голени и бедра
Alexander Chelnokov 10 Июль 2013, 00:34
|
Ситуация немножко напоминает давным-давно тут обсуждавшийся случай - см. тут.
То есть и сейчас вполне уместно заштифтовать в два этапа - то есть сначала исправить аппаратом длину и ось, а пациент пока движения в колене постарается подразработать.
Вообще, можно заштифтовать и одномоментно - аппаратом можно разобщить и вправить отломки сразу, а при стойко неразгибающемся колене штифтовать через артротомию коленного сустава, может, заодно там чего мобилизовать.
|
[
Ответить ]
|
Re: Ложный сустав голени и бедра
Олег ли 11 Июль 2013, 20:18
|
Согласен с Андереем Кияночкиным. Вопрос давно решенный: с биологией голени все в порядке, потенциал к сращению не утерян . После этапной постепенной коррекции деформации любой метод СТАБИЛИЗАЦИИ перелома приемлем и функционален: БИОС,АВФ,LCP,DCP.
|
[
Ответить ]
|
Re: Ложный сустав голени и бедра
Шухрат 17 Июль 2013, 10:31
|
Всем огромное спасибо!
Пациент от временного ЧКДО отказался, выписался из стационара, с расчетом, что разработает движения в суставе с расчетом для дальнешего БИОС.
С уважением Шухрат.
|
[
Ответить ]
|
( Ответить )
|