AOTRAUMA.ORG Центр Илизарова  

Ортопедия и травматология Общие вопросы/General questions Help Информационные технологии в медицине
 ВХОД ДЛЯ ПАЦИЕНТОВ
 вверх
 поиск
 админ
 главная


Остеомиелит бедренной кости?
Ортопедия и травматология Прислано Иван 19 Июль 2013, 00:21
из
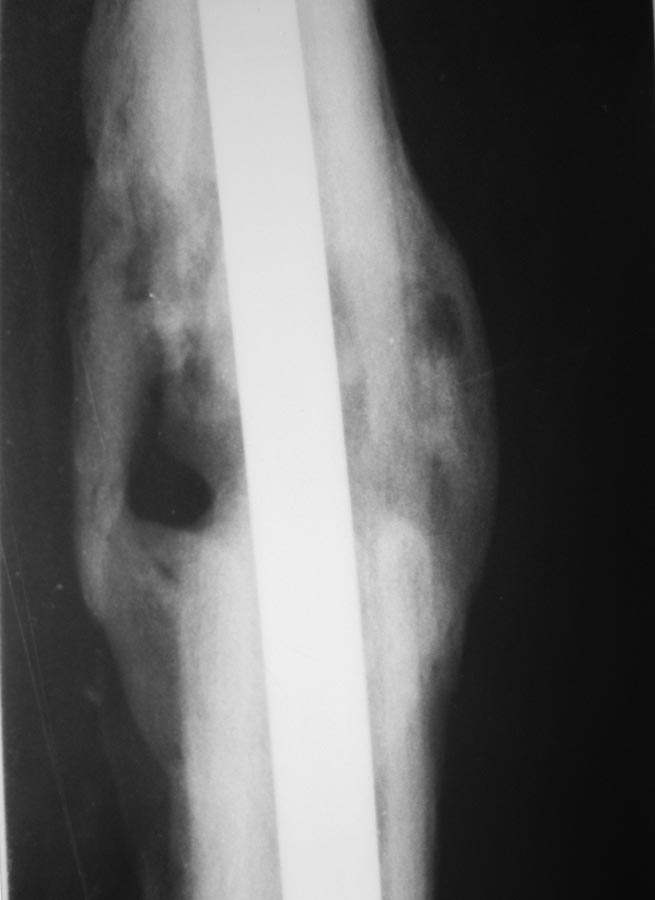
Уважаемые коллеги, представляют на обсуждение клинический случай! Пациент 26 лет, около года назад получил травму в результате ДТП. По поводу перелома диафиза бедренной кости выполнялся БИОС.
Заживление ран в области дистальных блокирующих винтов происходило вторичным натяжением, однако, в ходе местного лечения раны зажили.
Спустя 4-5 мес. пациент обратился с болями в нижней трети бедра (проекция дистальных блок. винтов). При RG выявлена их миграция, выполнено их удаление.
Спустя еще 4-5 мес обратился с жалобами на припухлость в области дистального блокирования. В поликлинике сделали снимки и, с подозрением на остеомиелит, оправили в стационар.
Сегодня: местно - без признаков инфекции. В области дистального блокирования припухлость плотно-эластичной консистенции. При пункции получить ничего не удалось. Лейкоциты 6,0; СОЭ - 22. СРБ-18. Температура в вечерние часы 37-37,2
Снимки представлены.
Какова дальнейшая тактика?
1. ничего не делать
2. Удалить стержень + приливно-отливное дренирование.
3. Удалить стержень +_ АБ спейсеры или АБ стержень
4. Удалить стержень + приливно-отливное дренирование, а затем Цементные АБ импланты.

Послать ответ

Имя
Email
Уведомление Сообщить мне по e-mail об ответах на это сообщение
Название
Комментарий
(Проверьте URL! Не забудьте написать http://!)
Кодировка
Если не знаете, что выбрать, выберите "Просто текст"!
Приложение
Можно приложить к сообщению файл c изображением, который затем будет доступен увидевшим сообщение.
Подготовка иллюстраций:
  • Рентгенограммы: черно-белые полутоновые изображения в формате JPEG (8 bit, greyscale) с разрешением от 300х200 до 1024х768 пикселов;
  • Клинические фотографии: полноцветные изображения в формате JPEG (24 bit, truecolor) с разрешением от 300х200 до 1024х768 пикселов;
  • Схемы и рисунки: черно-белые (2 bit) штриховые (line-art) изображения в формате GIF или compressed TIFF
  • Подберите степень сжатия файла JPEG и размер изображения таким образом, чтобы необходимые детали были различимы, но размер файла не превышал 75 кб.
  • Учтите, что текущая версия программного обеспечения Форума позволяет приложить к одному сообщению лишь один файл-вложение. Поэтому, если необходимо отправить несколько изображений, можно либо послать каждое как отдельное сообщение, либо в графическом редакторе объединить изображения в одно (сделать коллаж).
  • Если при подготовке изображений встречаются трудности, не стесняйтесь обратиться к координатору Форума.

  • Введите видимые символы в обратном порядке. Enter the above characters in reverse order (*Обязательно)
    В тексте сообщения можно использовать теги HTML <B> <I> <P> <A> <LI> <OL> <UL> <EM> <BR> <TT> <HR> <STRONG> <BLOCKQUOTE> <DIV .*> <DIV> <P .*>
  • Обратите внимание: Поля с жирными названиями обязательны.
  • Старайтесь отвечать в рамках обсуждаемой темы, а не начинать новые обсуждения.
  • Указывайте адекватную тему сообщения, чтобы было ясно, о чем оно.
  • Не послайте сообщений не по теме (оффтопик), раздраженных, грубых или обидных комментариев. Здесь это неуместно.
  • Powered by Zope  Squishdot Powered MedLink
    Посетитель: 0184039
      "По форме правильно, а по существу - издевательство" В.И.Ленин
    ©2001-2019Orthoforum Coordinator.
    [ Главная | Отправить сообщение | Поиск | Админ ]