вверх
отправить
поиск
админ
главная
|
Ложный сустав лучевой кости |
 |
 |
 |
Отправлено Александр 19 Июль 2013, 01:41
Здравствуйте уважаемые коллеги, просим Ваше мнение по поводу лечения ложного сустава дистальной части лучевой кости после костной пластики и остеомиелита Женщина 55 лет, травма 8 мес назад, был открытый перелом дистального метаепифиза правой лучевой кости А2, осложненный флегмоной предплечья через неделю после травмы. К нам обратилась через 1 мес после травмы, с иммобилизацией перелома в АВФ (снимок 1) и свищом с гнойными выделениями. Нами произведена резекция кости в пределах здоровых тканей ( около 3 см) проксимально 8 см на фоне здоровой трубчатой кости в канале густой эксудат темного цвета, который эвакуирован и все промыто антисептиками ( снимок 2). Установлены бусы с антибиотиком. Рана полностью зажила через 1.5 мес, бусы удалены.3 месяца выждали, на фоне отсутствия воспаления выполнили костную пластику из крыла подвздошной кости, АВФ 2.5 мес (снимок 3), + гипс 1 мес. На сегодняшний день отмечается лучевая косорукость, пат подвижность в месте ложного сустава, отсутствие воспаления.План: костная пластика + LCP из переднего доступа, укорочение локтевой кости или удаление головки локтевой кости. Уважаемые коллеги, поделитесь пожалуйста мнением по тактике дальнейшего лечения пациентки. С уважением , Александр.
<
|
>
|
|
Ответить
|
Re: Ложный сустав лучевой кости
Мельников В.С. 19 Июль 2013, 21:35
|
Возможны варианты, но для принятия решения необходимо освежить снимки, как минимум в двух проекциях и хорошего качества, а лучше КТ. Вы так же не описали функцию кисти, а лучше выложить фото.
Оседание суставной поверхности лучевой кости вроде пока не очень большое, поэтому возможно все удастся сделать за один этап. Я бы наверное предпочел первым этапом наложить дистракционный аппарат, в связи с выраженной ретракциейй тканей, особенно выраженном в зоне гнойного воспаления. После достижения необходимой дистракции, остеотомия (резекция области ложного сустава в пределах хорошо кровоснабжаемой костной ткани), костная пластика (желательно кровоснабжаемая, остеосинтез пластиной с угловой стабильность (как можно более длинной). Локтевую кость я бы не трогал.
В.С. Мельников
отделение хирургии кисти ГБУЗ ГКБ №4 ДЗ г. Москвы
|
[
Ответить ]
|
Re: Ложный сустав лучевой кости
Отправитель: Александр 20 Июль 2013, 16:04
|
Спасибо, СКТ выполним и результат представим, кисть сфотографируем.
К сожалению микрохирургической техникой костной пластики не владеем.
|
[
Ответить ]
|
|
Re: Ложный сустав лучевой кости
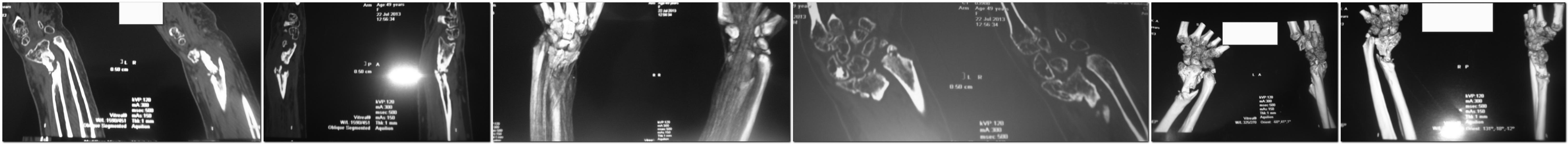
Александр 23 Июль 2013, 13:56
|

К Вашему вниманию СКТ
|
[
Ответить ]
|
Re: Ложный сустав лучевой кости
Александров А.В. 02 Сентябрь 2013, 00:27
|
На мой взгляд, оптимальным решением Вашей проблемы, является свободная пересадка васкуляризованного костного трансплантата.
|
[
Ответить ]
|
( Ответить )
|
|