AOTRAUMA.ORG Центр Илизарова  

Ортопедия и травматология Общие вопросы/General questions Help Информационные технологии в медицине
 вверх
 отправить
 поиск
 админ
 главная


Перелом пилона
Ортопедия и травматология Отправлено Ajvan 04 Август 2013, 20:43 ЦБ Темиртау
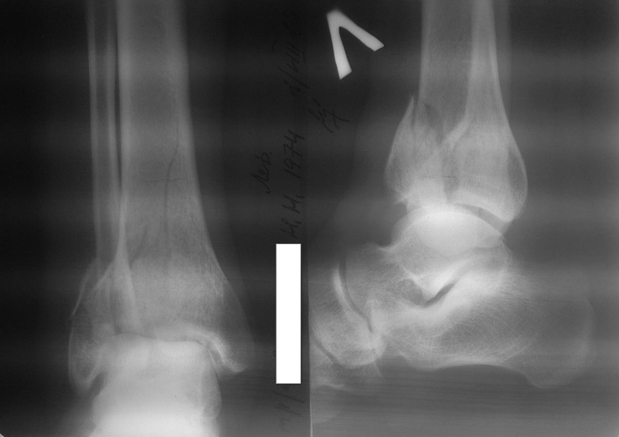
Доброго времени суток! Хотелось бы услышать Ваше мнение по тактике лечения больного.
Больной 1974 года рождения, мужчина. Обстоятельство травмы: падение с высоты 2-ух метров. В настоящее время наложены гипсовые лонгеты на обе нижние конечности, отек умеренный, единичные фликтены.Чувствительность и движения в пальцах стоп в норме.Из вредных привычек - курение (более 20 лет)...

<  |  >

 

  • Сообщения о Ортопедия и травматология
  • Также Ajvan
  • Связаться с автором
  • Ответить

    Re: Перелом пилона
    Павел К. 05 Август 2013, 01:06
    Тактика должна быть оперативной (личное мнение).

    Имеется внутрисуставной перелом тибии со смещением + перелом наружной лодыжки (чрезсиндесмозное повреждение) с вальгусным (скорее всего) отклонением стопы. По всем понятиям просится остеосинтез, а какой и чем это решать Вам.

    Тактика по личному мнению:
    1) если отек значимый и фликтены в зоне предпологаемого доступа Вас "беспокоят", то "скелетное вытяжение за пятку на шине" до купирования вышеуказанных "проблем";
    2) а затем, если не произошло "чудо" - открытая репозиция, скорее всего из переднего доступа, и остеосинтез переднего отдела винтами. Отломки метадиафизарной зоны можно зафикисировать чрескожно, при помощи каннюлированных винтов (под ЭОП-контролем).
    Наружная лодыжка- пластина 1/3 трубки и синдсемозный винт (3-х кортикальный).

    [ Ответить ]

    Re: Перелом пилона
    Odessky Jacob M.D. 05 Август 2013, 12:55
    http://weborto.net/forum/1167947053/pics/2k7/01/Poster_119.pdf
    [ Ответить ]

    Re: Перелом пилона
    Volodymyr Kovalchuk 05 Август 2013, 14:59
    Курение значительно ухудшает прогноз при переломах пилона относительно заживления раны. Поэтому необходимо дождаться положительного теста "морщинок" и только после этого оперировать. Это время больной может находится в клинике на вытяжении (как делают у нас) или в апарате delta-frame (как делают в США).

    При переломах пилона всегда желательно делать КТ.

    Латеральную лодыжку синтезировали бы 1/3-трубчастой пластиной, можно (не обязательно) bridge-plating из двух доступов.

    Б/берцовую кость из передне-латерального доступа. Использовали бы L-образную блокированную пластину с винтами 3.5мм. Винт на синдесмоз по-моему здесь не нужен.
    [ Ответить ]

    Re: Перелом пилона
    Чернюк Евгений 08 Август 2013, 01:42
    можно так (похоже)
    https://www2.aofoundation.org/wps/portal/!ut/p/c1/04_SB8K8xLLM9MSSzPy8xBz9CP0os3hng7BARydDRwN3Q1dDA08XN59Qz8AAQwMDA6B8JJK8haGFgYFnqKezn7GTH1DahIBuP4_83FT9SP0oc5yq3E31I3NS0xOTK_ULciPK8x0VFQFC2_-G/dl2/d1/L2dJQSEvUUt3QS9ZQnB3LzZfQzBWUUFCMUEwRzFFMTBJREZMVUlRUDEwMDA!/?redfix_url=&implantstype=Buttress%20plate%20and%20lag%20screws&segment=Distal&bone=Tibia&classification=43-B1&approach=&showPage=redfix&treatment=Operative&method=ORIF

    Или две buttress plate (MIPO), или L-образная LCP 3.5, переднелатеральный, но уже не MIPO + латеральная лодыжка с заднелатерального. При наличии нестабильности малоберцевой кости- синдесмозный винт. ИМХО, MIPO всегда лучше по результатам как косметического и функционального плана, так и что касается инфекционно-некротических осложнений
    Кликните для загрузки файла 2013-08-07_222724.jpg
    437KB (447503 bytes)

    [ Ответить ]

    Re: Перелом пилона
    Anton Bekhterev 10 Август 2013, 11:53
    К сожаленью, рентгенологическая картина часто не соответствует реальной. Планирование операции в данном случае без КТ-исследования равнозначно принципу: "сделаем разрез, а там разберемся". Время (пока не появятся морщинки) есть - дообследуйте больного. Тогда гораздо проще будет выбрать операционный доступ и импланты.

    Sincerely yours, Anton Bekhterev.
    [ Ответить ]

    Re: Перелом пилона
    Секизов Максим 14 Август 2013, 14:45
    А что с правой н/к?
    [ Ответить ]

    Re: Перелом пилона
    Борис 22 Август 2013, 19:15
    И правда, ключевое влияние на тактику имеет "симптом морщинок", потому как оперировать на отечной конечности - обрекать себя на длительное лечение послеоперационной раны, хотя при использовании вакуумных повязком проблема не такая уж и критичная.

    По поводу тактики оперативного лечения, действительно стоит сделать КТ сустава (желательно с 3D реконструкцией), по результатам - большеберцовую кость: или пластиной 1/3 трубки и винтами, или же антелатеральной пластиной, а малоберцовую - пластиной 1/3 трубки.
    [ Ответить ]


    ( Ответить )

    Powered by Zope  Squishdot Powered MedLink
    Посетитель: 0000073
      "По форме правильно, а по существу - издевательство" В.И.Ленин
    ©2001-2019Orthoforum Coordinator.
    [ Главная | Отправить сообщение | Поиск | Админ ]