вверх
отправить
поиск
админ
главная
|
ложный сустав после БИОС б/берцовой кости |
 |
 |
 |
Отправлено Максим 15 Август 2013, 13:51
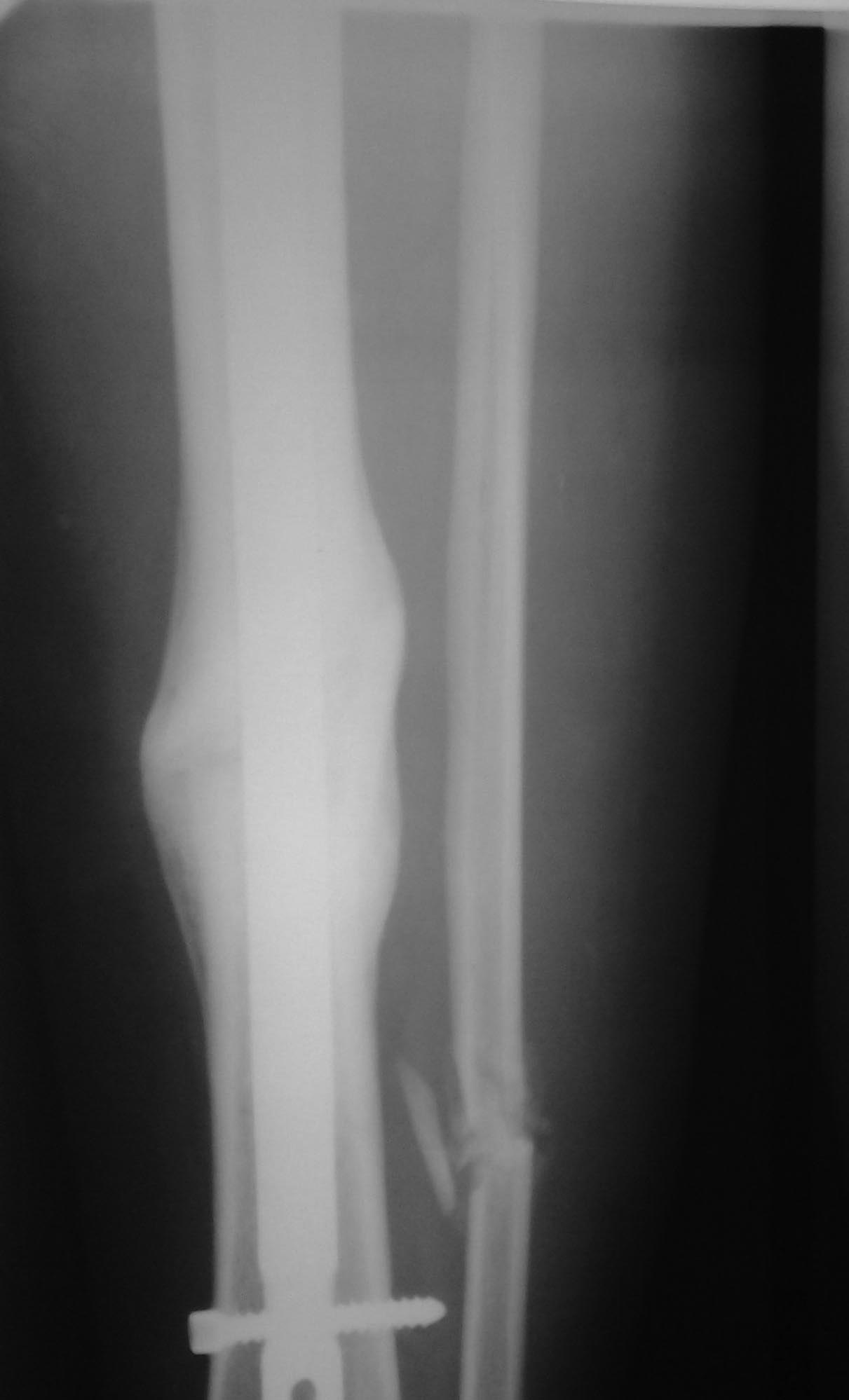
27 Июнь 2013, 23:25 перелом б/берцоовой кости 9 мес назад, 1,5 мес в ЧКДА, после БИОС, остеотомия м/берцовой не выполнялась, сейчас рентгенологически ложный сустав, клинически больную ничего не беспокоит. планируется остеотомия н/3 м/берцовой кости и полная нагрузка на ногу. стоит ли перештифтовать или имеются другие мнения. пациент молодая девушка 25 лет. Я все же выполнил остеотомию м/берцовой кости 1 мес. назад и получил ожидаемый результат – полная перестройка зоны ложного сустава рентгенологически. http://weborto.net/forum/pics/2013/06/2724 http://weborto.net/forum/pics/2013/06/3030
<
|
>
|
|
Ответить
|
Re: ложный сустав после БИОС б/берцовой кости
Нияз Ниязов 15 Август 2013, 23:06
|
Вспомнилось изречение которому научили в ординатуре: первые 20 лет хирурга учат когда надо оперировать а следующие 20 лет когда не надо оперировать. Вам совет давали люди у которых 20 лет за спиной, а вы все равно сделали по своему. Хорошо что Вы добились результата но не удивляйтесь, когда Вам скажут, "что руки чесались?"
|
[
Ответить ]
|
Re: ложный сустав после БИОС б/берцовой кости
Отправитель: Максим 18 Август 2013, 11:36
|
руки то не чешутся, мнение такое-хороша та операция которая не сделана. когда первый раз выложил сообщение ждал поддержки тех у кого 20 лет за плечами, потому что не впервой доводиться видить либо несращение, либо замедленное срощение таких переломов, независимо от вида синтеза, но при неповрежденной м/берцовой кости, да и к тому же имея наблюдение в течении 6 мес за больной у которой идет активная регенерация, а отломки не срастаются, перед пациентом не удобно, и, к сожалению, никто из моих коллег меня не поддержал, но восхитились результатом через месяц после остеотомии. второе сообщение выложено не для выпендривания с моей стороны, а для показа результата. с уважением Максим.
|
[
Ответить ]
|
Re: ложный сустав после БИОС б/берцовой кости
Отправитель: Anton Bekhterev 19 Август 2013, 00:02
|
Поздравляю. И прежде всего с мужеством вопреки "общественному"мнению, взвесив все за и против, сделать правильно.
Sincerely yours, Anton Bekhterev.
|
[
Ответить ]
|
|
( Ответить )
|
|