Ответить
|
Re: Вертикально нестабильный таз
Николай Гарькавый 17 Август 2013, 16:09
|

Вход в таз
|
[
Ответить ]
|
Re: Вертикально нестабильный таз
Pavel 18 Август 2013, 02:05
|
Здравствуйте! Жаль, что не представили К/Т, я бы применил фиксацию КПС чрезкожно винтами, если только получится закрытая репозиция за счет тракции, если репозиция не идет, надо делать открыто. Лонное сочленение- если опять же смещение критично, то остеосинтез пластиной, если смещение малое-АВФ, но скорее первый вариант
|
[
Ответить ]
|
Re: Вертикально нестабильный таз
Отправитель: Гарькавый Николай 18 Август 2013, 18:49
|
Открыто: задний доступ + фиксация винтами в S1?
АВФ на задние отделы в данном случае по возможности мне бы хотельсь избежать, т.к пациентке будет очень дискомфортно, необходима спец кровать, или мудрить с подкладыванием.
Передние отделы прийдется фиксировать АВФ, на КТ имеется перелом лонной кости без смещения отломков
|
[
Ответить ]
|
Re: Вертикально нестабильный таз
Отправитель: Nikita Zadneprovsky 19 Август 2013, 01:39
|
Открыто: задний доступ + фиксация винтами в S1?
Если есть ЭОП, то открываться не нужно. Все поправить закрыто и провести винты через кожу по направляющим спицам.
АВФ на задние отделы в данном случае по возможности мне бы хотельсь
Если проведете винты, то и АНФ без надобности.
Передние отделы прийдется фиксировать АВФ, на КТ имеется перелом лонной кости без смещения отломков
А что там с правым КПС? Похоже, что разрыв передних связок имеет место быть, судя по inlet. А это требует проведения стабилизирующего винта.
На картинке, для репозиции свежих разрывов в КПС мы применяем такой способ. За скобу через блок. Груз достаточно большой. Перед этим опускаем головной конец в качестве противотяги, т.к. промежностный упор не используем. Обычно тяги хватает. Попробуйте.
Возможно у кого-то есть другие идеи для репозиции переломов таза. Поделитесь. Как правило, это самая интересная и "засекреченная" часть тазовой хирургии ((
--
Никита Николаевич Заднепровский
НИИ Скорой Помощи им.Н.В.Склифосовского
Отделение сочетанной и множественной травмы
129010 Москва, Большая Сухаревская пл. д.3
|
[
Ответить ]
|
|
Re: Вертикально нестабильный таз
Igor 19 Август 2013, 03:01
|
Мы фиксируем через АВФ неповрежденную половину таза к ортопедическому столу. Вытяжение такое же.Если двухстороннее повреждения тогда репозиция с заднего доступа. Хотелось так же услышать мнение других коллег поводу непрямой репозиции таза.
|
[
Ответить ]
|
Re: Вертикально нестабильный таз
Ушаков Сергей 19 Август 2013, 10:43
|
Добрый день! Коллеги. Согласно классификации АО диагноз по рентогенограммам следует кодировать следующим образом 61-С2.2 а1)в1)с8),иначе говоря: полный унилатеральный разрыв заднего полукольца слева через крестцовоподвздошное сочленение (скорее всего с переломом задних отделов подвздошной кости), неполный разрыв заднего полукольца справа (по типу "открытой книги"), разрыв лонного сочленения в сочетании с переломом лонной и седалищной костей справа. Однако, есть ряд других моментов которые следует учесть при постановке диагноза и выборе тактики лечения.
1. Интересно было бы оценить мочевыделительную функцию и состав мочи (вероятно есть проблемы недержания мочи), гематурия?.
2.Как часто акт дефекации за сутки?
3. Неврологический дефецит в поясе нижних конечностей?
4. Антропометрические данные (ожирение)?
5. Сопутствующая патология (диабет, сосудистая патология и пр.)?
Что касаемо лечения. Начинать нужно от простого.
1. Перкутанная фиксация КПС справа, с целью создания одной стабильной половины таза.
2. Устранение вертикальной деформации слева одномоментно через дорсальный доступ и фиксация илиолюмбальной системой (транспедикуляр L III-IV - подвздошная кость)+ илиосакральные винты, в данном случае лучше 2. Без илиолюмбальной стабилизации вмешательство обречено на вторичное смещение.
3. Стабилизация передних отделов таза( и симфиза, и горизонтальной ветви лонной кости) J-образной пластиной из доступа Stoppa.
Всю коррекцию деформаций можно провести в одну сессию, с учетом срока давности. Мочевой катетер лучше удалить через 3-4 сут после вмешательства, оптимален катетер импрегнированный серебром. Неврологические дифециты, если имеются таковые, должны регрессировать после устранения деформаций, равно как и дизурия (если конечно нет анатомического повреждения сфинктера). в этом случае придется привлекать уролога в отсроченном периоде. Примерно так. Удачи!
|
[
Ответить ]
|
Re: Вертикально нестабильный таз
Литвина Елена 19 Август 2013, 21:56
|
Уважаемый Николай!
Для планирования операции необходимо ответить еще на несколько вопросов:
1. необходима КТ таза для уточнения всех плоскостей смещения, т.к имеется не только вертикальное смещение, но и смещение кзади и ротационное
2. классификация повреждения: кто какую предпочитает - АО, Young-Burgess или Tile
3. есть ли у Вас возможность выполнить илео-люмбальную стабилизацию (ЭОП, транспедикуллярные конструкции, опыт, нахальство - взвешенное)
4. если из перечисленного в пункте 3 только ЭОП, то предлагаю: попытаться репонировать на тракционном столе, обязательно при этом дать значительную внутреннею ротацию нижним конечностям, фиксировать КПС 2 винтами со стороны полного разрыва и одним винтом с противоположной стороны, а потом через небольшой передний доступ дополнительно пластинкой фиксировать КПС слева. Через отдельный передний доступ (можно из двух окон Пфаненштиль и Stoppa) стабилизировать симфиз и перелом лонной кости.
Ваше преимущество в "свежести" травмы и Вашем понимании необходимости хирургического лечения данного повреждения.
Удачи Вам. Е.Литвина
|
[
Ответить ]
|
Re: Вертикально нестабильный таз
maxim agalakov 20 Август 2013, 00:03
|
складывается впечатление о переломе задних отделов подвздошной кости слева через КПС, ости остались с крестцом (надо внимательно поразглядывать КТ). В этом случае IS винты или какие-нибудь дистантные позвоночно-тазовые стабилизаторы - дело рисковое. Если мое предположение подтвердится,сначала IS винт справа, затем в положении на животе на тракционном столе (или чего-нибудь мудрить с вытяжением) попытаться достичь репозиции. Если удалось - через задние отделы в подвздошную кость 1- 2 6,5 мм винта= постараться 1 IS винт через передние отделы подвздошной кости. если репозиция вас устраивает- АВФ спереди.
Если закрыто репозиции достичь не удалось - все то же самое, только сзади открыто задним доступом к подвздошной кости.
PS Передние отделы можно стабилизировать и открыто - дело вкуса, на мой взгляд в этом случае проще передней рамой. И не тяните - время идет!
|
[
Ответить ]
|
Re: Вертикально нестабильный таз
Гарькавый Николай 20 Август 2013, 03:14
|
Уважаемые коллеги! Большое спасибо всем откликнувшимся, сегодня постараюсь выложить КТ
|
[
Ответить ]
|
Re: Вертикально нестабильный таз
Отправитель: Гарькавый Николай 20 Август 2013, 08:45
|

КТ, при детальном рассмотрении виден перелом задних отделов крыла подвздошной кости
|
[
Ответить ]
|
|
Re: Вертикально нестабильный таз
Гарькавый Николай 20 Август 2013, 12:47
|

KT
|
[
Ответить ]
|
Re: Вертикально нестабильный таз
A. Миронов (Томск) 20 Август 2013, 23:27
|
Уважаемый Николай,
время работает против Вас. Нужно быстрее оперировать, будет значительно легче выполнить репозицию.
Мои план был бы таким:
- положение пациента на спине с возможностью контроля С - дугой обзорной и 4 - х косых проекций таза
- перкутанная фиксация не смещенного (правого) КПС винтом 7,3мм
- переднелатеральный (первое окно подвздошнопахового) доступ слева, прямая репозиция КПС и фиксация 2 мя 4,5 мм 2-х или 3-х дырочными DCP или 3.5 мм если комплекция пациента позволяет, фрагмент подвздошной кости можно не фиксировать
- на передних отделы на выбор:
- простая передняя рама на 2-х винтах Шанца
проведенных надацетабулярно
- пластина на сочленение и винт в лонную кость, надо уточнить по СКТ, возможно ли
С уважением и успеха
А. Миронов Томск
|
[
Ответить ]
|
Re: Вертикально нестабильный таз
Ушаков Сергей 21 Август 2013, 02:34
|
Добрый вечер ! Коллеги. Последний предложенный вариант приемлем, но зачастую трудно осуществим даже в умелых руках. Время действительно работает против Вас. Но не следует забывать основной постулат репозиции: репонирующие усилия должны противодействовать силам спровоцировавшим перелом, поэтому задня фиксация биомеханически более обоснована. Технических трудностей с введением винта в подвздошную кость не будет, т.к. винт вводится сверху вниз, изнутри кнаружи отступя на 2-4 см от задневерхней подвздошной ости. Судя по КТ место для введения винта есть, равно как и возможность илиосакральной фиксации двумя винтами 7.3 мм. Винт в подвздошную кость - исключительно полиаксиальный. Как вариант (случай относительно свежий) после низведения половины таза, возможна фиксация перелома подвздошной кости короткой реконструкционной пластиной, с последующим позиционорованием длинного (55-60 мм) полиаксиального винта в подвздошную кость через плоскость перелома.
Успехов Ушаков С.
|
[
Ответить ]
|
Re: Вертикально нестабильный таз
Отправитель: A. Миронов (Томск) 21 Август 2013, 12:53
|
- репозиция КПС из переднелатерального доступа выполняется под контролем глаза и с- дуги, ассистент осуществляет тягу по оси за конечность и манипулирует введенным в тело подвздошной кости винтом Шанца, более точная репозиция достигается воздействием щипцами Фарабефа на введенными в тело S1,2,3 и подвздошную кость кортикльными 4.5 или 3.5 мм винтами( в зависимости от выбранного имплантата), винты должны быть, при правильном введении 40-50мм длинной. Репозиция удерживается в достигнутом положении при помощи этих же щипцов. Следующим шагом устанавливается пластина DCP, фиксирующая репозицию. Использовавшиеся для репозиции винты гордятся для фиксации второй пластины. Важным моментом является взаимное расположение пластин под углом 60-90*, угол открыт в сторону подвздошной ямки
- при условии фиксации и передних отделов, описанная выше стабилизация тазового кольца позволяет вертикализировать пациента после операции с нагрузкой весом тела на менее поврежденную половину и частичной нагрузкой( 10-15кг) на противоположную.
- очень важно, нет необходимости блокировать движения в поясничном и поясничнокресц. отд. позвоночника, фиксация (в этом случае) избыточная
С Уважением
|
[
Ответить ]
|
|
Re: Вертикально нестабильный таз
Igor 21 Август 2013, 04:58
|
Мы фиксируем через АВФ неповрежденную половину таза к ортопедическому столу. Вытяжение такое же.Если двухстороннее повреждения тогда репозиция с заднего доступа. Хотелос так же услышат мнение других коллег поводу непрямой репозиции таза.
|
[
Ответить ]
|
Re: Вертикально нестабильный таз
Гарькавый Николай 22 Август 2013, 17:58
|
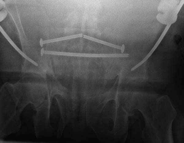
Большое спасибо всем Вам за помощь! Вчера прооперировали пациентку. Выполнили закрытую репозицию левой половины таза на тракционном столе под контролем ЭОП, закрытая фиксация левого КПС двумя каннулированными винтами. Учитывая удовлетворительное стояние отломков лонной и седалищной костей справа, а так же удовлетворительную ширину лона передние отделы стабилизировали системой ЦИТО
Послеоперационные КТ прилагаются
Винты введены в S1

|
[
Ответить ]
|
Re: Вертикально нестабильный таз
Отправитель: Maxim Agalakov 23 Август 2013, 13:14
|
Вроде бы все удалось. хорошо, что фрагмент (как выяснилось из КТ оказался небольшим), но для оценки лучше выкладывать рентген в стандартных проекциях
|
[
Ответить ]
|
|
Re: Вертикально нестабильный таз
Djoldas Kuldjanov, M.D. 27 Август 2013, 22:28
|
С задачей справились хорошо, поздравляю!
“При поступлении обследована (обзорный таза + вход в таз)”
До операции желательно выставить все стандартные снимки: обзорный таза, вход + выход. А популярный у всех 3Д используется только для общего обзора, но не для детального изучения. Обычно КТ “для диагностики-стандарт, а послеоперационно - дополнительный расход”. Лучше обычные рентген-снимки, но бывают исключения, когда на снимке имеются неясности, например, винт через сакральный форамен или через сустав!
Перелом заднего отдела крыла подвдошной кости доказывает, что задние связочные элементы подвздошно- крестцового сочленения интактны, и такой перелом известен как “Сrescent fracture’. Переломы разделяется на 4 типа, и до фиксации надо хорошо изучить топографию перелома, иначе винт может попасть в линию перелома и не удержать фиксацию.
Но вам повезло, двумя винтами смогли зацепить и репонировать переломо-вывих. Обычно такие переломы надо фиксировать спереди или сзади пластиной или шурупом, т.е. создать дополнительную стабильность крыла, кроме перкутанной фиксации.
Техника репозиции вытяжением работает намного лучше, когда конечность в согнутом положении, потому что нейтрализируются абдоминальные мышцы. Вместо больших грузов, сгибание лучший прием для репозиции. А все остальные методы: фиксация половины таза к столу и опускание головной части вниз, создают хаос в операционной!
1. оценить мочевыделительную функцию и состав мочи (вероятно, есть проблемы недержания мочи), гематурия?.
2.Как часто акт дефекации за сутки?
3. Неврологический дефицит в поясе нижних конечностей?
4. Антропометрические данные (ожирение)?
5. Сопутствующая патология (диабет, сосудистая патология и пр.)?
Все названные критерии имеют ценность, но являются относительными. Оперативные показания от этих показателей не меняются! Немного осторожности не помешает с более агрессивными вариантами фиксации (транспедикулярая?) и они должны хорошо изучены и аргументированы...
Опишите более подробно "стабилизацию системой ЦИТО" , это вид наружного фиксатора? И на сколько желаете оставить эту "систему"?
По разным причинам, например, при минимальном разрыве симфиза, или при отсутствии смещения костей не обязательно проводить переднюю фиксацию, но для усиления задней желательно зафиксировать дополнительным наружным фиксатором. Во избежания мягкотканых осложнений временная фиксация не более чем месяц.
Здесь примеры фиксации с различными вариантами.... .

|
[
Ответить ]
|
Re: Вертикально нестабильный таз
Отправитель: Maxim Agalakov 28 Август 2013, 14:34
|
>сгибание лучший прием для репозиции.
в положении "на спине", "на животе"? не могли бы выложить фото, как это практически выглядит.
|
[
Ответить ]
|
Re: Вертикально нестабильный таз
Отправитель: Гарькавый Николай 29 Август 2013, 01:09
|
Уважаемый Джолдас, спасибо за поздравления, комментарии и примеры вариантов фиксации!
Мы рассматривали вариант открытой репозиции, фиксации пластиной и винтами крыла подвздошной кости. Даже были готовы в случае неудачной попытки закрытой репозиции перейти на открытый синтез. Но поставили перед собой задачу сделать малоинвазивно, удалось.
Система ЦИТО это аппарат внешней фиксации, в крылья подвздошных костей вводятся по 2 стержня, которые жестко фиксируются в резьбовой поперечной планке. Есть возможность работать в аппарате с передним отделом таза (компрессия, дистракция).
Планируем оставить эту систему сроком на 4 недели с момента операции.
|
[
Ответить ]
|
Re: Вертикально нестабильный таз
Отправитель: Djoldas Kuldjanov, M.D. 01 Сентябрь 2013, 23:17
|
Система ЦИТО это аппарат внешней фиксации, в крылья подвздошных костей вводятся по 2 стержня, которые жестко фиксируются в резьбовой поперечной планке. Есть возможность работать в аппарате с передним отделом таза (компрессия, дистракция).
Описание системы ЦИТО не нашел, но по представленному снимку, здесь точка введения стержня выбрана верхне-передная ость, т.е. место прикрепления m. sartorius. Такая система разработана для ургентной стабилизации таза, и при отстутствии рентгена в приемной. Система не для длительного пользования, и после стабилизации больного должна пройти ревизию со сменой на более стабильный наружный фиксатор, или удалена после окончательной фиксации таза.
В крыле подвздошной кости толщина кости не более 3 мм, и 5 мм стержен в большинстве случаев попадает в никуда, "airball". Со временем стержни расшатываются? и нестабильность не даст “работать в аппарате в передним отделе (компрессия, дистракция)”. Действующие векторы сил создают компрессию спереди, а задние отделы остаются под дистракцией!
Рядом с ASIS выходит femoral cutaneous nerve, который очень легко повреждается при проведении стержня. В результате чего потеря чувствительности передне-латеральной поверхности бедра, и этому явлению многие не придают значения, но некоторые молодые женщины относятся очень ревностно!.
О преимуществах более стабильной фиксации,которая легко осуществляется под рентгеном, говорили много раз. Слабость фиксации можно исправить за счет нескольких стержней, проведенных более вертикально в подздошной кости, или приближением стержней ближе к симфизу через AIIS.
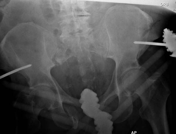
Здесь снимки, которые показывают направление стержня, а также идею репозиции вытяжением. На рентгенопроницаемых столах имеется возможность установить дополнительную раму, где по желанию можно увеличить или уменьшить высоту угла вытяжения. Для репозиции таза больной в положение на спине, стержень для вытяжения остается во время операции. Система подойдет для тракции головки бедра из вертлужной впадины, и для этого стерильная веревка и Synthes Universal Chuck with T-Handle.


Двухстороннее повреждение крестца и травматическая ампутация бедра, где неопытной бригадой дежурантов установлен верхний наружный фиксатор для стабилизации. На третий день ревизия на более стабильный, и окончательная фиксация. Первые снимки после стабилизации таза, и другие, где показаны (параллельные) правильная установка на AIIS т.е на месте прикрепления прямой мышцы бедра. Ампутация закончена костно пластическим методом.
|
[
Ответить ]
|
|
Re: Вертикально нестабильный таз
maxim agalakov 01 Сентябрь 2013, 23:42
|
>передние отделы стабилизировали системой ЦИТО
таким девайсом сложно контролировать сгибание, лучше что-нибудь другое: через гребни, но минимум 3 стержня с каждой стороны или через передние ости. Будет грустно, если раскачается, лучше переделать перед.
|
[
Ответить ]
|
Re: Вертикально нестабильный таз
Maxim Agalakov 03 Сентябрь 2013, 17:14
|

Похожий таз прооперировали сегодня, правда сзади - открыто, удалось провести IS винт (но места было очень мало. Человеческие проекции постараюсь выслать в ближайшее время.
|
[
Ответить ]
|
Re: Вертикально нестабильный таз
Отправитель: Николай Гарькавый 17 Сентябрь 2013, 02:24
|
Спасибо большое за ответы и ценные примеры\варианты решения проблемы.
Мы добавили еще по два стержня в надацетабулярную область справа и слева, фиксация получилась более жесткой. Пациентка успешно активизирована, ходить без опоры на поврежденную конечность планируется до 3х мес после операции.
|
[
Ответить ]
|
|
( Ответить )
|
|