ВХОД ДЛЯ ПАЦИЕНТОВ
вверх
поиск
админ
главная
|
повторная операция при деформации стопы |
 |
 |
 |
Прислано Александр 05 Сентябрь 2013, 19:27
из
Всем здравствуйте! Проблема повторных операций на стопе
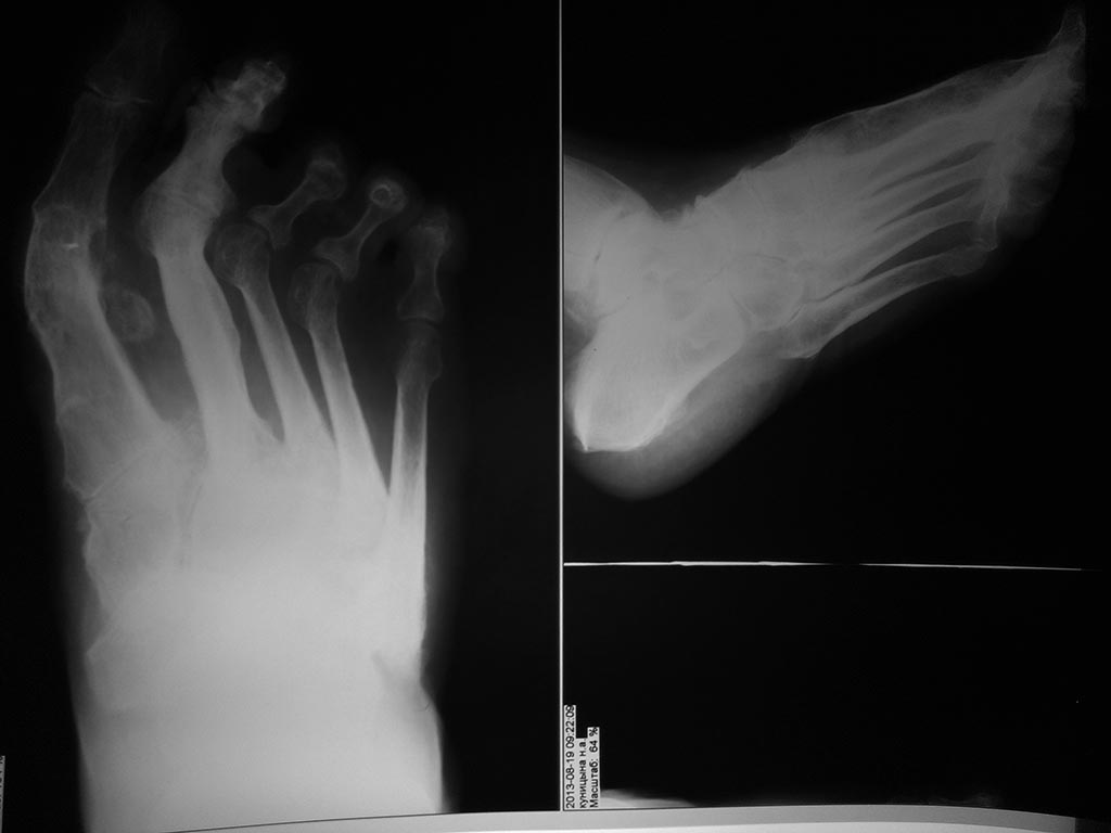
становится все актуальнее. Женщина после артродезирования 1 ПФС и неизвестного объема вмешательства на втором луче (но в обоих были спицы трансартикулярно) испытывает сильные метатарзалгии, второй палец ригидный и намного длиннее первого (прошу прощения за отсутствия фото in vivo!!!)... Какой объем операции на втором луче и других посоветовали бы подологи с учетом артрозов второго пальца, подвывихов 3-4 ПФС?
Заранее спасибо!!!
Обратите внимание: Поля с жирными названиями обязательны.
Старайтесь отвечать в рамках обсуждаемой темы, а не начинать новые обсуждения.
Указывайте адекватную тему сообщения, чтобы было ясно, о чем оно.
Не послайте сообщений не по теме (оффтопик), раздраженных, грубых или обидных комментариев. Здесь это неуместно.
|