AOTRAUMA.ORG Центр Илизарова  

Ортопедия и травматология Общие вопросы/General questions Help Информационные технологии в медицине
 вверх
 отправить
 поиск
 админ
 главная


Эндопротез Т/б сустава при ампутированном бедре
Ортопедия и травматология Отправлено Виноградский Александр 10 Сентябрь 2013, 09:18
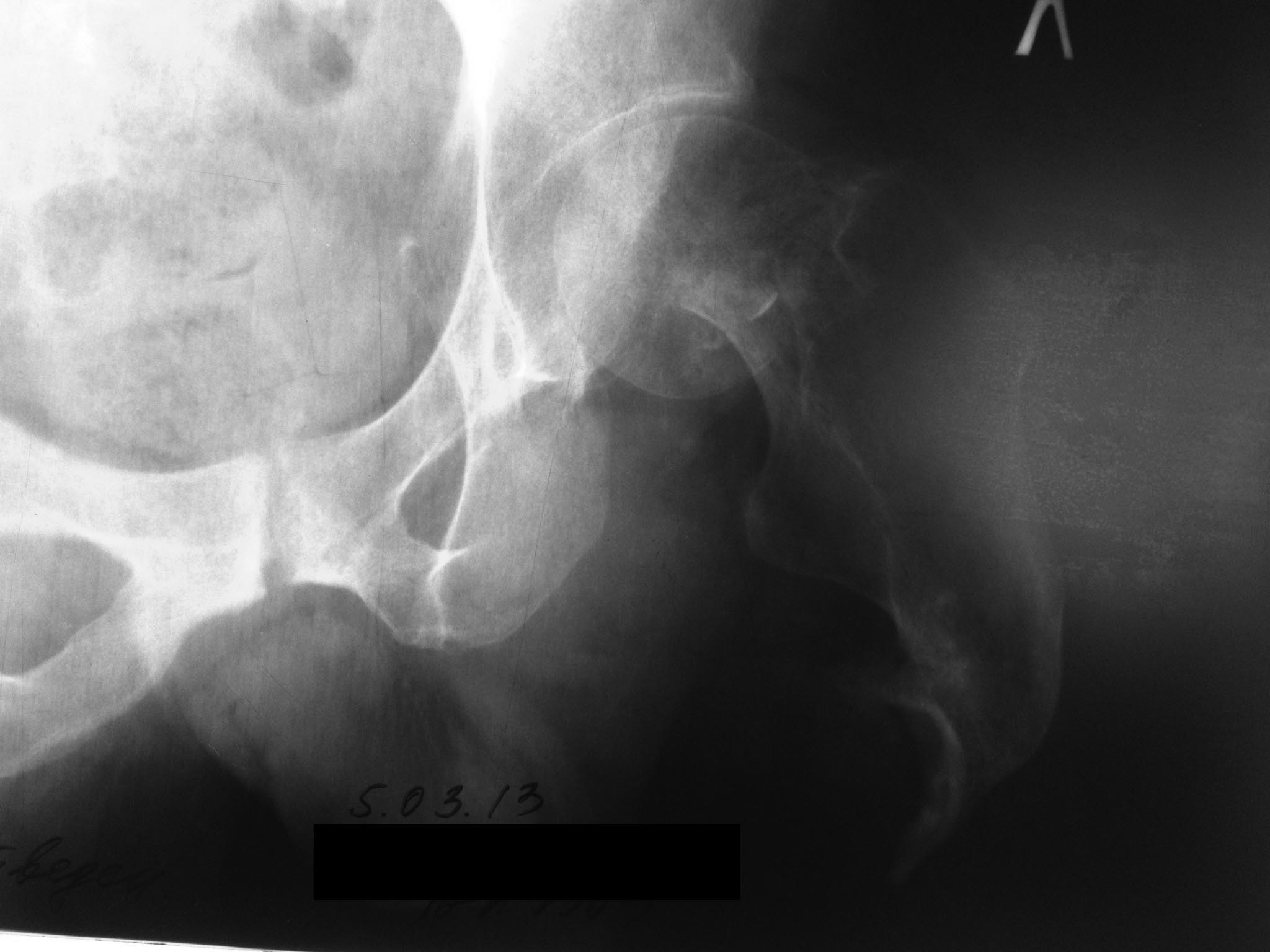
Здравствуйте, коллеги! Пациент 54 лет в середине 80х ампутация бедра во время боевых действий. В течении 30и лет использование экзопротеза, работал водителем. Шесть месяцев назад перелом шейки бедра.
В настоящее время внешний протез не опорен из за боли. Возможно ли поставить эндопротез? Какую лучше ножку? Стандартные короткие ножки ( Nanos) отпадают из- за пороза и короткой культи шейки. Может укоротить во время операции по длине культи ножку типа Corail?Насколько выше риск вывиха из- за непредсказуемого мышечного баланса?

<  |  >

 

  • Сообщения о Ортопедия и травматология
  • Также Виноградский Александр
  • Связаться с автором
  • Ответить

    Re: Эндопротез Т/б сустава при ампутированном бедре
    Василий Шишкин 10 Сентябрь 2013, 13:06
    Уважаемый Александр!
    По моему мнению, в данном случае проведение оперативного лечения нецелесообразно: лучше оставить как есть - сустав все равно не опорный, так как нагрузка в протезе нижней конечности, в данном случае, в основном идет на седалищную кость. Вмешавшись на таком суставе можно от эндопротезирования со временем прийти к экзартикуляции.
    На мой взгляд, наилучший вариант - функциональное ведение: передвижение без протеза с разработкой движений в суставе до снижения болевого синдрома и последующим увеличением нагрузки в протезе.
    Был опыт лечения подобного пациента, правда, с чрезвертельным переломом.
    [ Ответить ]

    Re: Эндопротез Т/б сустава при ампутированном бедре
    Савранский Александр 11 Сентябрь 2013, 01:13
    Снимки наверное лучше предоставить посвежее. Учитывая возраст можно надеяться на консолидацию при остеосинтезе.
    [ Ответить ]


    ( Ответить )

    Powered by Zope  Squishdot Powered MedLink
    Посетитель: 0000054
      "По форме правильно, а по существу - издевательство" В.И.Ленин
    ©2001-2019Orthoforum Coordinator.
    [ Главная | Отправить сообщение | Поиск | Админ ]