вверх
отправить
поиск
админ
главная
|
Костная киста проксимального отдела бедренной кости. |
 |
 |
 |
Отправлено аян888 12 Сентябрь 2013, 10:45
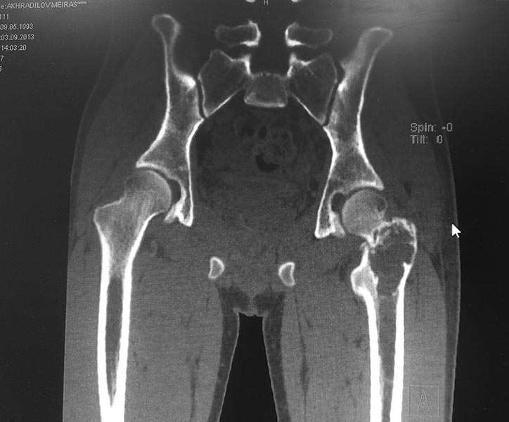
Уважаемые коллеги. Помогите определиться с тактикой лечения. Пациент 1993г.р (20 лет), поступил жалобами :на боли в области левого тазобедренного сустава, нарушение опорной функции левой нижней конечности.Anamnesis morbi: Со слов пациента и медицинской документации 15.08.2013г упал на область левого тазобедренного сустава. По скорой помощи госпитализирован в одну из клиник Астаны, где произведена рентгенография левого тазобедренного сустава, на которой выявлено образование проксимального отдела левой бедренной кости. Для выбора тактики дальнейшего лечение пациента, консультирован остеоонкологом, рекомендовано оперативное лечение в плановом порядке в условиях профильного отделения остеоонкологии АО «РНЦ НМП».Об-но: по внутренним органам без особенностей.Status localis: При осмотре пациент на кровати лежа на спине. Левая нижняя конечность без иммобилизации, ротирована наружу, в области левого тазобедренного сустава отмечается незначительный отек. Осевая нагрузка на левую нижнюю конечность болезненна. При пальпации отмечается резкая боль в области левого тазобедренного сустава. Симптом «прилипшей пятки» отрицательный с обеих сторон. Относительная длина обеих нижних конечностей одинаковая. На периферии конечностей нейроциркуляторных нарушений нет. На представленной R-грамме левого тазобедренного сустава–выявляется деструктивная полость в вертельной области левой бедренной кости нарушение костной структуры с образованием костной полости с тонкостенными перегородками.Границы полости крупно ячеистые. Госпитализирован с предварительным диагнозом: Остеобластокластома вертельной области левой бедренной кости. Закрытый патологический чрезвертельный перелом левой бедренной кости? 04.09.13г 1-м этапом произведена: Операционная биопсия из проксимального отдела левой бедренной кости. Заключение патолого - гистологического исследования: Патоморфологическая картина может соответствовать костной кисте. Пациенту произведено КТ обеих тазобедренных суставов. Заключение: КТ - признаки объемного образования области шейки и большого вертела левой бедренной кости дифференцировать с фиброзной дисплазией. Сростающийся патологический чрезвертельный перелом левой бедренной кости. ОАК, ОАМ, коагулограмма в пределах нормы.
Пациент был вынесен на клиническое обсуждение, на котором было предложено 3 варианта оперативного лечения:
1) Экскохлеация кисты. Пластика дефекта аутотрансплантатом из крыла подвздошной кости. Интамедулярный остеосинтез блокирующем стержнем и винтами.
2)Экскохлеация кисты. Пластика дефекта аутотрансплантатом из крыла подвздошной кости. Остиосинтез пластиной DCS или DHS.
3) Резекция проксимального отдела левой бедренной бедренной кости. Тотальное цементное эндопротезирование левого тазобедренного сустава модульным имплантом GMRS. (Учитывая молодой возраст пациента данный оперативное вмешательство рассматривается в последнюю очередь).Хотелось бы услышать Ваше мнение по тактике и методам оперативного лечения.
<
|
>
|
|
Ответить
|
Re: Костная киста проксимального отдела бедренной кости.
Alexander Chelnokov 12 Сентябрь 2013, 20:15
|
Если это и впрямь киста - то достаточно просто закрыто синтезировать любым PFN. Никаких пластик, экскохлеаций не надо.
|
[
Ответить ]
|
Re: Костная киста проксимального отдела бедренной кости.
Konstantin Kudinov 13 Сентябрь 2013, 09:09
|
Только хотел сказать. Нет сейчас диагноза "остеобластокластома", опять вернули "Гигантоклеточная опухоль". Давно.
Если киста, то ... У нас этим занимается Митрофанов Александр Иванович. А имхо, протезировать. Кто ее там видел, эту кисту. Тема вельми дискутабельна.
С уважением, Кудинов К. В., орт.№8,
"РНЦ"ВТО им.акад.Г.А.Илизарова Минздава России",
Курган.
|
[
Ответить ]
|
Re: Костная киста проксимального отдела бедренной кости.
Evgueny Tchekashkine 13 Сентябрь 2013, 09:10
|
Ochen napominaet Giant Cell Tumor : Biopsy, curretage+ liquid nitrogen or hydrogen peroxide or phenol, auto/allograft, recon nailing - joint saving scenario. Odnako podozritelnii ochag v golovke bedra+ factor vremeni s momenta travmi stavit pod somnenie uspeh pervogo scenariya, poetomu kak variant arthroplastica s distalnoi fixatsiei nozhki i cementirovaniem
polosti posle obrabotki - nizhe risk retsidiva.
Uspehov,
Evgueny Tchekashkine
|
[
Ответить ]
|
Re: Костная киста проксимального отдела бедренной кости.
Илья 14 Сентябрь 2013, 10:03
|
Если есть возможность сделать МРТ, то его следует сделать, чтобы отличить кисту от других опухолей. Самый безопасный подход--сделать биопсию, а потом определяться с тактикой лечения. Если это просто киста, то можно штифтовать. Если что другое--то и тактика лечения изменится.
|
[
Ответить ]
|
Re: Костная киста проксимального отдела бедренной кости.
Alexander Angelsky 15 Сентябрь 2013, 13:57
|
Первым этапом повести биопсию, при верификации диагноза можно определиться с тактикой. Не понятно, что значит в данной ситуации срастающийся перелом? Реальной клиники нет - отрицательная прилипшая пятка и нет укорочения. Есть клиника опухоли - болевой синдром, отек или возможно это плюс ткань, наружная ротация. Рентгенологически диагностика перелома решена в виде вопроса.
|
[
Ответить ]
|
Re: Костная киста проксимального отдела бедренной кости.
Alexander Angelsky 15 Сентябрь 2013, 16:26
|
Первым этапом повести биопсию, при верификации диагноза можно определиться с тактикой. Не понятно, что значит в данной ситуации срастающийся перелом? Реальной клиники нет - отрицательная прилипшая пятка и нет укорочения. Есть клиника опухоли - болевой синдром, отек или возможно это плюс ткань, наружная ротация. Рентгенологически диагностика перелома решена в виде вопроса.
|
[
Ответить ]
|
Re: Костная киста проксимального отдела бедренной кости.
Djoldas Kuldjanov, M.D 15 Сентябрь 2013, 23:13
|
“1-м этапом произведена: Операционная биопсия из проксимального отдела левой бедренной кости. Заключение патолого - гистологического исследования: Патоморфологическая картина может соответствовать костной кисте”
При всех кистозных образованиях необходимо провести дифференциальную диагностику между аневризмальной кистой и гигантоклеточной опухолью. При онкологических заболеваниях МРТ является одним из стандартов обследования, но диагноз кисты подтвержден биопсией, так что нет смысла проведения дополнительных исследований.
В лечении придерживаются тактики - спасение сустава, и протезирование не является выходом. Полость кисты самостоятельно не закроется, требуется пластика. Трансплантат из крыла неплохая идея, но взятая аутокость не выдержит нагрузку. Цемент или Norian материал твердый, можно провести винты, но в толще кости и вблизи кровеносных сосудов большой риск.
Разработаны различные синтетические заменители, и из них только PRO-DENSE® Bone Graft или HydroSet Injectable HA Bone Substitute являются структуральным материалом, который выдержит нагрузку и со временем превращаются в кость.
Во время фиксации надо экономить каждый мм кости, а методика фиксации при открытом методе не имеет значения. Можно любым гвоздем, но тогда надо жертвовать количеством кости, иногда до 16 мм в диаметре в зависимости от дизайна.
О преимуществе PERI-LOC 4.5mm Proximal Femur Locking Plate (PFP) рассказал недавно в Казани, а при его отсутствии 95 градусная Blade Plate.
|
[
Ответить ]
|
Re: Костная киста проксимального отдела бедренной кости.
Отправитель: Сергей Метельков 16 Сентябрь 2013, 17:26
|
У нас аналогичный случай, по биопсии остеобластокластома в области шейки и вертела у пациента 17 лет. Планируем пластику дефекта аллокостью (из головок бедра после ТЗТС) с фиксацией Targon Fn. Хотелось бы узнать мнение по поводу аллокостного трансплантата. Спасибо.
|
[
Ответить ]
|
|
Re: Костная киста проксимального отдела бедренной кости.
Александр Жужнев 25 Сентябрь 2013, 15:58
|
В свое время прекрасно занимались, думаю и сейчас занимаются, проблемой костных образований на кафедре травматологии и ортопедии в Астраханской медакадемии. Был раньше свой банк костной ткани, широко применялась аллопластика, после предвартельной обработки полости кист жидким азотом по разработанной методике трёхкратно (замораживание - оттайка) и заполнения полости костными аллотрансплантатами.Были статьи и методические разработки, монографии кафедры по проблеме костных кист. Результаты были очень даже впечатляющие. В данной ситуации, по моему очень скромному мнению, вариант с эндопротезированием кажется пока совсем -не вариант.
|
[
Ответить ]
|
( Ответить )
|
|