вверх
отправить
поиск
админ
главная
|
Последствия травмы и лечения перелома предплечья |
 |
 |
 |
Отправлено Антон Бехтерев 15 Сентябрь 2013, 14:23
Обратилась пациентка, которой по поводу неправильно сросшегося перелома дистального эпиметафиза лучевой кости была выполнена корригирующая остеотомия локтевой кости. В феврале этого года пациентке, с ее слов и по данным выписки, была выполнена укорачивающая остеотомия локтевой кости по типу "русского замка". Основанием такого решения послужили жалобы больной на лучевую косорукость вследствие неправильно нелеченного перелома дистального эпиметафиза лучевой кости (давность около 3 месяцев). В настоящий момент беспокоят жалобы на сильные боли в области лучезапястного сустава, "щелчки" при движениях кистью и вращении предплечья. Пользоваться левой кистью по назначению не может. Послеоперационный рубец нормотрофический. Рана зажила первичным натяжением.
<
|
>
|
|
Ответить
|
Re: Последствия травмы и лечения перелома предплечья
Антон Бехтерев 15 Сентябрь 2013, 15:32
|

Оказывается, забыл вопрос сформулировать. :)
Изначально рассматривались:
- корригирующая укорачивающая остеотомия лучевой кости из ладонного доступа с накостной фиксацией.
- миниинвазивное удаление пластины с локтевой кости, и ее штифтование с восстановлением анатомии радиоульнарного сочленения (риммирование можно рассматривать как своеобразную костную пластику).
Будет ли это достаточным?
|
[
Ответить ]
|
Re: Последствия травмы и лечения перелома предплечья
Антон Бехтерев 15 Сентябрь 2013, 15:33
|
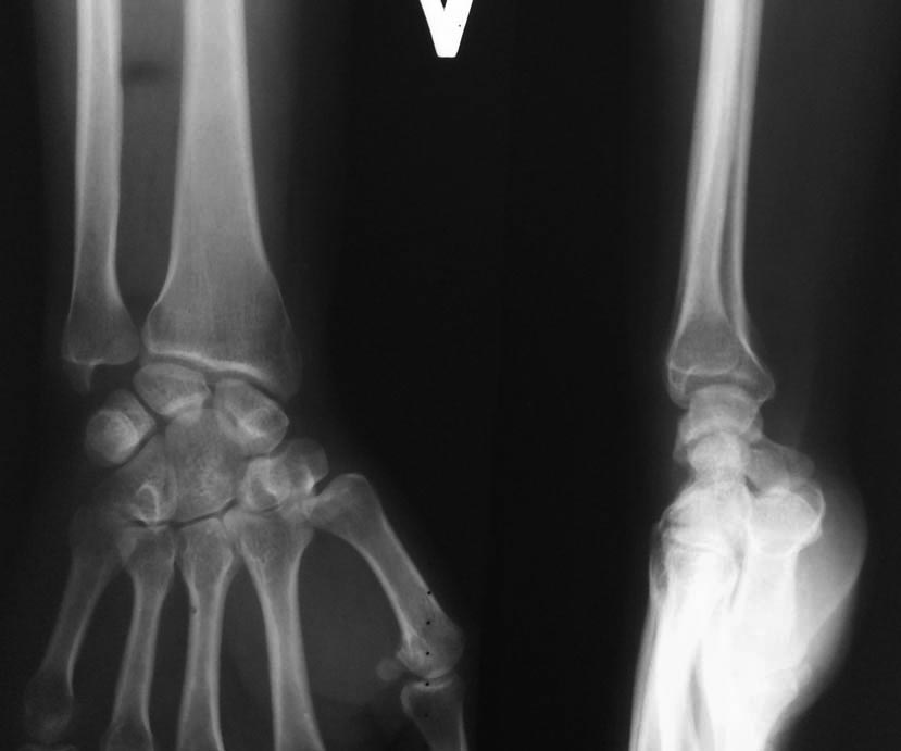
Rg-здоровой руки
|
[
Ответить ]
|
Re: Последствия травмы и лечения перелома предплечья
Антон Бехтерев 15 Сентябрь 2013, 15:59
|
КТ
|
[
Ответить ]
|
Re: Последствия травмы и лечения перелома предплечья
Отправитель: Василий 15 Сентябрь 2013, 16:48
|
Возможно причина в несращении локтевой кости. На рентгенограмах прослеживается резорбция кости вокруг винтов на дистальном отломке, отсутствует сращение.
|
[
Ответить ]
|
Re: Последствия травмы и лечения перелома предплечья
Отправитель: Александр Ситник 15 Сентябрь 2013, 23:17
|
Мотивы первой операции и мне как-то непонятны.
По простым снимкам (а по КТ еще лучше) видно, что суставная поверхность отклонена к тылу, кисть на подвывихе, есть внутрисуставная деформация. Укорочение локтевой кости только усилило проблемы, а тут еще и несращение...
В имеющейся ситуации мы наверное выполняли бы корригирующую остеотомию дистального отдела луча с восстановлением хотя бы ладонной инклинации (вопрос об устранении внутрисуставной деформации наверное уже решен ввиду большого срока после травмы). И да, придется ее тоже укорачивать уже подстраиваясь под локтевую.
|
[
Ответить ]
|
|
Re: Последствия травмы и лечения перелома предплечья
Бережной Сергей 15 Сентябрь 2013, 20:52
|
Word, 149 Kb
Случай сложный и наверняка здесь действует несколько механизмов формирования боли. Это и ложный сустав локтевой кости, и тыльный подвывих кисти (хорошо виден на срезе КТ, обозначенном стрелкой), и нарушения в лучелоктевом сочленении, в т.ч., за счет не полностью и со смещением сросшегося дорсального фрагмента лучевой кости, и сужение карпального канала за счет смещения кисти к тылу. Поэтому, вмешательство на лучевой кости должно предполагать не только ее укорочение, но и коррекцию наклона суставной поверхности за счет разворота ладонного фрагмента (клиновидная остеотомия) и сопоставление его с тыльным фрагментом, для чего, вероятнее всего, понадобится разрушение имеющегося в области метадиафиза сращения тыльного и ладонного фрагментов. Во вложенном файле случай хотя и не идентичный, но похожий (5 лет после травмы). Боли и проявления синдрома карпального канала прошли только через 10-12 месяцев после операции.
|
[
Ответить ]
|
Re: Последствия травмы и лечения перелома предплечья
Виктор Мельников 18 Сентябрь 2013, 11:10
|
Сросшийся со смещением перелом лучевой кости через 3 месяца после травмы лечить укорачивающей остеотомией локтевой кости конечно дикость и в корне не правильно. Для определения объема и тактики лечения необходимо узнать что именно от руки хочет сама пациентка, какая функция её будет устраивать. На данном этапе, моё мнение, нужно прежде всего решать вопрос с ложным суставом локтевой кости. Подвывиха кисти на рентгенограммах и КТ я не вижу, данные изменения называются "адаптивным запястьем". Это всегда развивается при тыльном наклоне суставной поверхности лучевой кости, в следствии которого полулунная кость разворачивается в ладонную сторону. Касаемо дистального луче-локтевого сочленения: не понятно что именно вас не устраивает, если дисконгруетность суставных поверхностей, то при небольших сроках после травмы лучше это исправлять за счет остеотомии лучевой кости, если проблемы со связочным аппаратом, то делать пластику связок. И мне кажется эти манипуляции нужно перенести на второй этап, от который при успехе первого больная скорее всего откажется, т.к. функция кисти при таких смещениях не редко устраивает пациентов. Но все нужно решать индивидуально.
|
[
Ответить ]
|
Re: Последствия травмы и лечения перелома предплечья
Отправитель: Антон Бехтерев 22 Сентябрь 2013, 20:15
|
Пациентка хочет, чтобы рука не болела. Наибольшая болезненность локализуется в проекции как раз дистального лучелоктевого сочленения. Так что это не устраивает не только меня но и пациентку. Избыточное укорочение локтевой кости привело к проксимальному вывиху ее головки.
Судя по Rg-грамме "биология" в зоне несращения отсутствует напрочь, что и понятно, учитывая насколько пришлось ободрать кость для формирования
"русского замка". Отсюда и желание мининвазивности, чтобы не убить окончательно.
|
[
Ответить ]
|
Re: Последствия травмы и лечения перелома предплечья
Отправитель: Мельников В.С. 24 Сентябрь 2013, 04:53
|
Вопрос,в случае сохранения жалоб после Вашего оперативного вмешательства, что делать? У данной пациентке была уже операция связанная с разрушением того, что было сделано природой раньше, хотите попробовать ещё раз?
|
[
Ответить ]
|
|
( Ответить )
|
|