Ответить
|
Re: Травма предплечья и плеча
Слободской Александр 07 Ноябрь 2013, 11:27
|
Сергей добрый день! Лучевую и локтевую кости нужно синтезировать, а локтевой сустав заменить эндопротезом. Остеосинтез локтевой кости выбрать с таким расчетом, что в проксимальном отломке будет находиться ножка эндопротеза. Если позволяет состояние мягких тканей, то остеосинтез и эндопротезирование лучше сделать одномоментно. Успехов. С уважением С.А.
|
[
Ответить ]
|
Re: Травма предплечья и плеча
Отправитель: Сергей Рыжиков 07 Ноябрь 2013, 14:55
|
Эндопротез не вариант ввиду отсуствия (ЦРБ). Думаем АНФ, остеосинтез по заживлению ран и артродез в локте в ФВП.
|
[
Ответить ]
|
|
Re: Травма предплечья и плеча
а 07 Ноябрь 2013, 14:52
|
аппарат 2 кольца или стержневой угол где-то 160, чтобы фликтен не было+дистракция, потом комбинированный остеосинтез
|
[
Ответить ]
|
Re: Травма предплечья и плеча
Слободской Александр Борисович 07 Ноябрь 2013, 17:53
|
Добрый день Сергей!
Синтезировать лучевую и локтевую кости нужно с условием, чтобы костно-мозговой канал проксимального фрагмента локтевой кости остался свободным, для локтевой ножки эндопротеза. А восстановить локтевой сустав - конечно с помощью эндопротезирования. Какой сустав - не принципиально. Если позволяет состояние мягких тканей, то остеосинтез и эндопротезирование лучше сделать одномоментно. Если переломы открытые, то лучше не торопиться, добиться полного заживления мягких тканей и только после этого делать протезирование. Успехов Вам. С уважением Слободской А.Б.
|
[
Ответить ]
|
Re: Травма предплечья и плеча
Бережной Сергей 07 Ноябрь 2013, 23:56
|
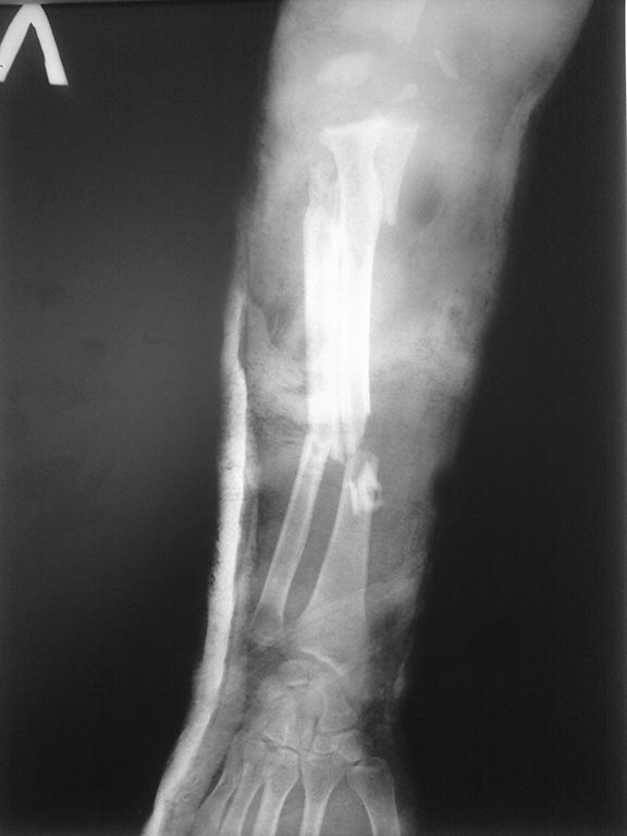
Локоть то как раз и не попал на снимок. Так что советовать сложно.
Что за гипсовая лонгета? Есть ли мягкая подкладка или наложена на голое тело? Не давит ли? При таком переломе гипсом можно легко навредить.
|
[
Ответить ]
|
Re: Травма предплечья и плеча
Сергей Рыжиков 08 Ноябрь 2013, 10:13
|

Вот еще снимок.
|
[
Ответить ]
|
Re: Травма предплечья и плеча
Данила Курышев 11 Ноябрь 2013, 02:14
|
Какой всё-таки механизм травмы и что из себя представляют местные мягкие ткани? Учитывая последний снимок : сделать остеосинтез диафизов костей предплечья. АВФ на локтевой сустав с удержанием плечевой кости и костей предплечья в виде "виртуального локтевого сустава". В дальнейшем - скорее всего эндорпротезирование. Всё же.. Как с мягкими тканями? Насколько повреждены? Что с нервами?
|
[
Ответить ]
|
Re: Травма предплечья и плеча
Sergiy Nesterenko 16 Ноябрь 2013, 21:55
|
Господа, я не разделяю всеобщей эйфории по поводу эндопротезирования локтя. В Штатах тотальный локоть ставят только немощным старушкам с низкой физической активностью.
Сколько нибудь активный пациент - и эндопротез вылетает со всеми проистекающими последствиями. Цена на протез не оправдывается клиническими результатами.
Еще одно замечание, пожалуйста, включайте в описание клинический случаев возраст пациента, профессию и уровень активности. Рекомендации сильно варьируют в зависимости от этих факторов.
|
[
Ответить ]
|
Re: Травма предплечья и плеча
Отправитель: Сергей Рыжиков 18 Ноябрь 2013, 12:58
|

Уважаемые коллеги. Спасибо большое за ответы. Вот фото раны.
|
[
Ответить ]
|
|
( Ответить )
|