ВХОД ДЛЯ ПАЦИЕНТОВ
вверх
поиск
админ
главная
исходное
последующие
|
Re: перелом голени
послал Мацукатов Феодор 25 Ноябрь 2013, 20:55
|
"Ну, и про первичное сращение уже поняли, что не стоит к нему стремиться"
Кто это понял? Первичное сращение - эталон сращения, что для мягких тканей, что для костей. Это аксиома. Не может же природа сделать исключение для последних. В этом вопросе жирная точка поставлена еще в 60-е годы прошлого века. Это фундаментальные работы Краснова, Флоренского, Виноградовой, Лаврищевой,Стецулы, Friedenberg, Ford, Key, Decolux, Razemon и, конечно же, Г.А.Илизарова. В последние годы имеют место неуклюжие попытки пересмотреть данное положение. Это абсолютно несостоятельные и ненаучные потуги, извиняюсь за жесткий тон. Единственный предъявляемый аргумент - непрочность первичного сращения. Однако смотря в каких условиях оно достигнуто. Если в условиях абсолютной или близкой к ней стабильности, например. при накостном остеосинтезе, то оно однозначно непрочное и по сути первичным не является. Это как консолидация в условиях невесомости с образованием остеоподобной, бесструктурной спайки. Кстати, эта проблема хорошо освещена в работах S.Perren. При чрескостном остеосинтезе контактный регенерат формируется в условиях гравитационного напряжения вследствие прогиба спиц и постепенного снижения жесткости фиксации. Это структурно правильно ориентированный и прочный регенерат, т.е. истинное первичное сращение. В этом году у меня не было ни одной рефрактуры. Даже умеренно выраженная периостальная реакция для меня является неудачей, поскольку она является объективным признаком нестабильной фиксации. А так клинико-рентгенологические признаки первичного сращения с полным отсутствием периостальной реакции получаются у каждого 6 пациента. Однако о первичном сращении можно говорить только по результатам морфологического исследования. Отсюда следует, что оно является крайне редким явлением. Не всякое интермедиарное сращение можно расценивать как первичное. Очень интересные работы по данному вопросу у Баскевича.

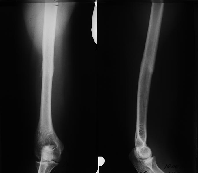
Вот типичный пример консолидации с минимальной периостальной реакцией.
|
| Послать ответ |
Обратите внимание: Поля с жирными названиями обязательны.
Старайтесь отвечать в рамках обсуждаемой темы, а не начинать новые обсуждения.
Указывайте адекватную тему сообщения, чтобы было ясно, о чем оно.
Не послайте сообщений не по теме (оффтопик), раздраженных, грубых или обидных комментариев. Здесь это неуместно.
|