Ответить
|
Re: ПЕРЕЛОМ ГОЛОВКИ ЛУЧЕВОЙ КОСТИ.
Vlad Kozanchuk 16 Ноябрь 2013, 02:41
|
Попробуйте консервативно.
|
[
Ответить ]
|
Re: ПЕРЕЛОМ ГОЛОВКИ ЛУЧЕВОЙ КОСТИ.
Sergiy Nesterenko 16 Ноябрь 2013, 06:29
|
Можете ли выложить снимки?
Судя по 3-Д КТ, перелом - много оскольчатый, но без смещения.
Имеется ли механический блок движений в суставе? Можете ввести пару кубиков лидокаина и посмотреть, полная ли амплитуда движений в суставе.
Если перелом без смещения и без механического блока, можете попробовать вести консервативно.
Самое главное: ранняя разработка движений. Если будет смещение более 3 мм - можно говорить о синтезе.
|
[
Ответить ]
|
Re: ПЕРЕЛОМ ГОЛОВКИ ЛУЧЕВОЙ КОСТИ.
Отправитель: Виталий Делянко 16 Ноябрь 2013, 13:11
|

Да блок есть пробовал с лидокаином больше 90 гр не сгибает.
|
[
Ответить ]
|
|
Re: ПЕРЕЛОМ ГОЛОВКИ ЛУЧЕВОЙ КОСТИ.
А 16 Ноябрь 2013, 07:28
|
10 дней иммобилизации, потом лфк. Сбоу бы еще посмотреть
|
[
Ответить ]
|
Re: ПЕРЕЛОМ ГОЛОВКИ ЛУЧЕВОЙ КОСТИ.
Nikita Zadneprovsky 16 Ноябрь 2013, 11:25
|
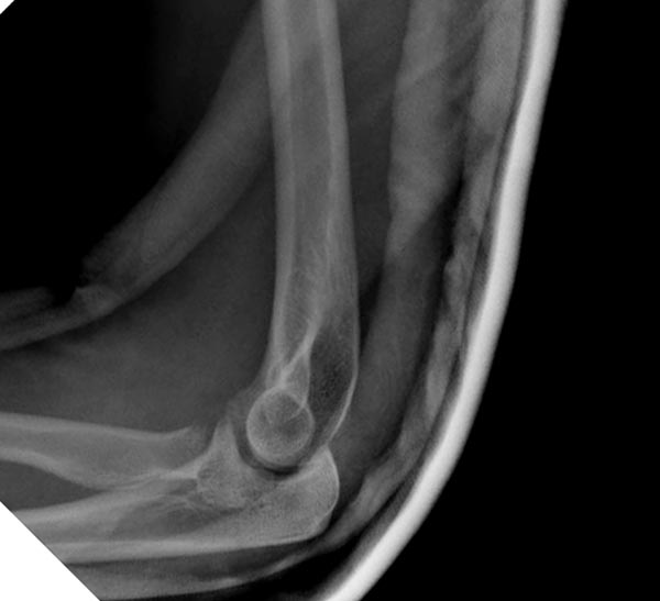
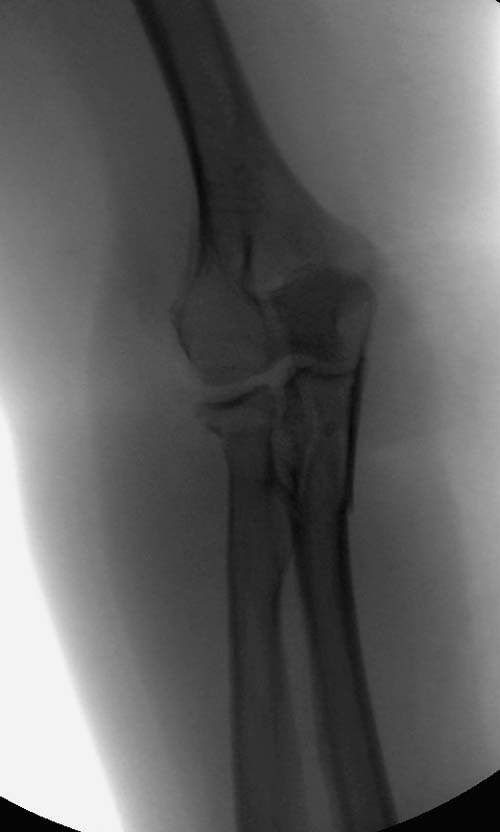
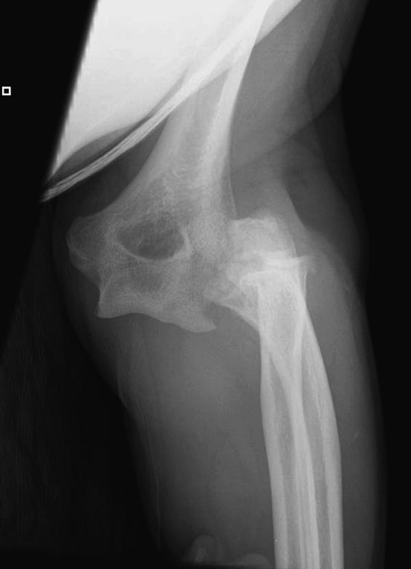
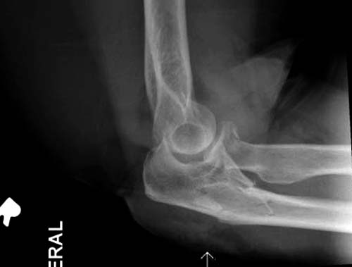
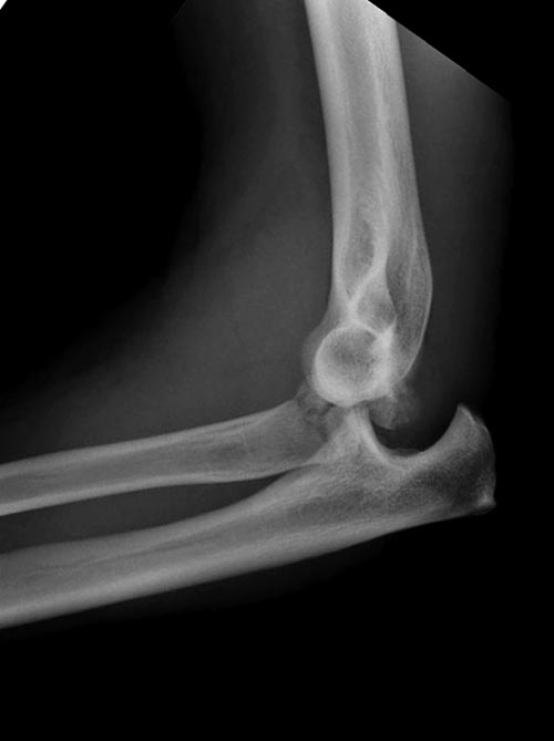
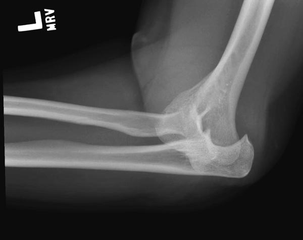
Один снимок всего? Может КТ-срезы какие-нибудь есть, R-снимки без гипса фас/профиль? По этому снимку вроде бы и нет вдавленного перелома. Суставная поверхность расколота - это да, но импрессии не увидел. Мы бы попытались сохранить головку.
|
[
Ответить ]
|
Re: ПЕРЕЛОМ ГОЛОВКИ ЛУЧЕВОЙ КОСТИ.
Alexey Semenisty 16 Ноябрь 2013, 19:23
|
Синтезировать плохо удалить... - расставьте знаки препинания.
Синтезировать, или вообще не трогать. А 3D картинки дают мало информации. Лучше представляйте срезы в 3-х плоскостях.
|
[
Ответить ]
|
Re: ПЕРЕЛОМ ГОЛОВКИ ЛУЧЕВОЙ КОСТИ.
Ряшенцев Максим 17 Ноябрь 2013, 11:01
|
На мой взгляд, такой перелом можно провести консервативно.
|
[
Ответить ]
|
Re: ПЕРЕЛОМ ГОЛОВКИ ЛУЧЕВОЙ КОСТИ.
Олег Аркадьевич 17 Ноябрь 2013, 23:34
|
На представленных снимках есть смещение суставной поверхности. Принцип лечения внутрисуставных переломов - восстановление суставной поверхности. У нас есть опыт восстановления таких переломов микровинтами. Удачи!
|
[
Ответить ]
|
Re: ПЕРЕЛОМ ГОЛОВКИ ЛУЧЕВОЙ КОСТИ.
Djoldas Kuldjanov, M.D. 19 Ноябрь 2013, 06:56
|

Уважаемые коллеги,
Вместе обычных простых рентгенограм, участились злоупотребления дорогими исследованиями. Хотя многие переломы, даже внутрисуставные, можно увидеть на обычных рентген снимках. Негативный рентген при исследовании локтевого сустава не означает отсутствие перелома. Если имеется “fat pad sign”, характерный симптом для внутрисуставных повреждений, тогда можно ставить диагноз перелом головки луча! Гематома внутрисуставного перелома смещает жировое тело и на боковом снимке проявляется в виде “паруса”.
Chapman S (1991). "The sail sign". Br J Hosp Med 46 (6): 399–400.
На переломы головки луча надо обратить внимание, потому что головка луча является важным стабилизатором в локтевом суставе: удерживает от заднего вывиха и от боковых смещений. Изолированный перелом головки луча встречается очень редко и, в основном, в сопровождении с другими повреждениями, вывихом сустава, переломом Monteggia, венечного отростка или повреждением латерального лигамента.
Для выработки показаний достаточным бывают стандартные снимки, но иногда требуется косая рентгенограмма по Coyle. И для подтверждения смещений и оценки внутрисуставных фрагментов рекомендуется КТ, а 3D снимки показывают только поверхность, т.е. получается общая картина. МРТ дает возможность оценить состоянии связок.
Иногда бывает трудно выявить показания к операции, тогда нужно Evaluation Under Anesthesia (EUA), т.е. вальгус стресс тест поможет найти правильный вариант лечения. Тест надо провести с адекватной анестезией, иначе трудно получить результат. Обьем локтевого сустава небольшой, и для анестезии достаточным бывает всего 35-40 мл раствора.
Переломы по Mason первой степени без блокировки и смещение до 2х мм можно лечить в обычной косынке, или брейсом - консервативно. Перелом второй степени оперативно, а многооскольчатые переломы третьей степени лечатся заменой головки.
Кроме классификации Масон, еще существует более простая классификация, которая разделяет на нуждающиеся в фиксации повреждения, и на переломы, не подлежащие реконструкции.
Популярная в странах СНГ резекция головки луча в наших условиях делается очень редко, потому что без упора луча могут проявиться симптомы нестабильности в дистальном радио-ульнарном сочленении. Реконструкция с сохранением головки дает лучший результат, но не всегда возможна.
Видел больных с резицированной головкой, который подтягивался на руке без проблем, а также проблемных после фиксации. Поэтому трудно судить, хотя при подозрении на Essex-Lopresti, когда повреждается межкостная мембрана на всем протяжении, надо протезировать - пространство!
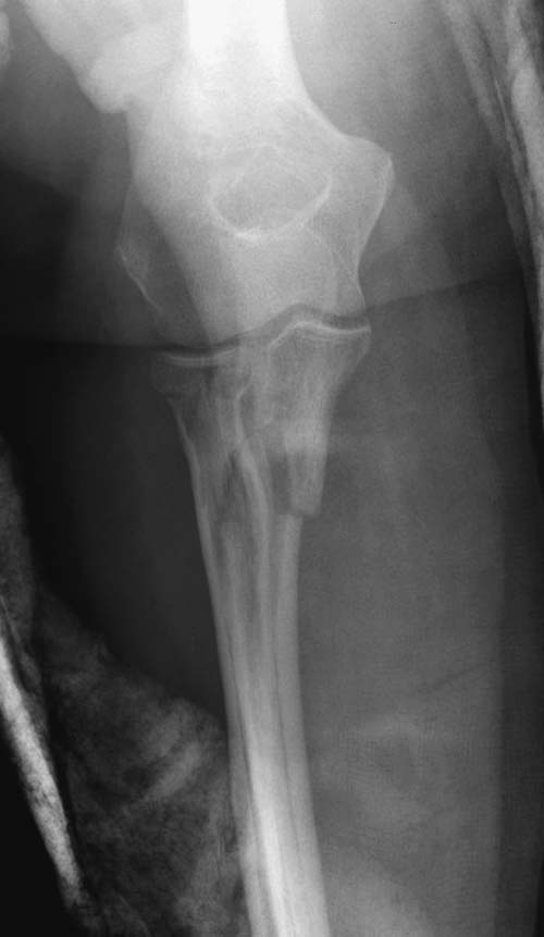
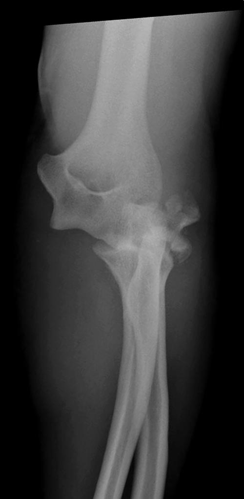
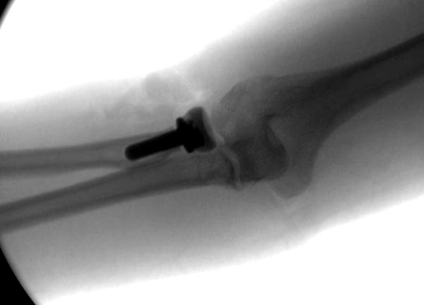
Здесь представлены несколько случаев и как видно больше больных с серьезными повреждениями, чем изолированные..
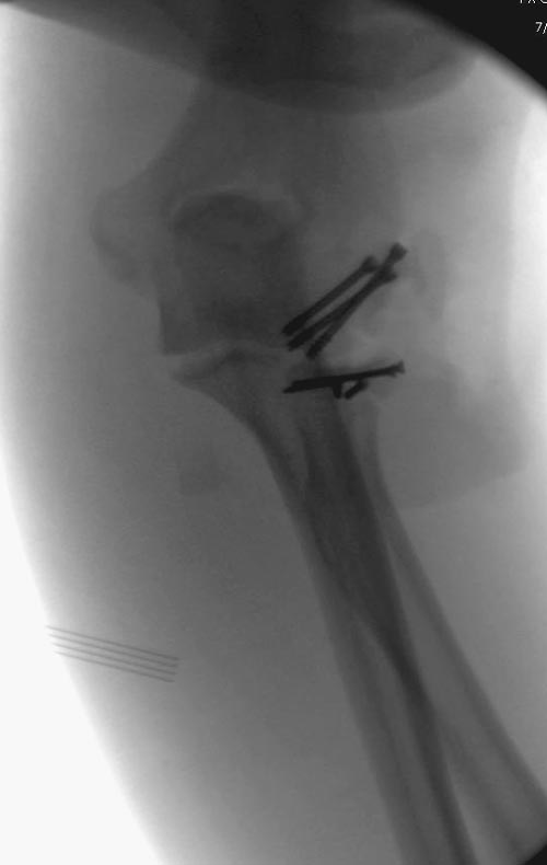
В первом случае перелом Монтеджи, где доперационно сделано оценка положения головки к остальным элементам под рентгеном. Учитывая правильность взаимотношении произведена фиксация только локтевого отростка, Второй случай, заменена на протез, и третий, кроме фиксации головки - реконструкция capitellum латерального мыщелка.
Джолдас Кульджанов
|
[
Ответить ]
|
|
( Ответить )
|
|