вверх
отправить
поиск
админ
главная
|
Ложный сустав плечевой кости |
 |
 |
 |
Отправлено Абдурашид 18 Ноябрь 2013, 17:40
Пациент 1942г.р. 4 –месяца назад оперирован в экстренном порядке в другом областном неотложном центре, 20 дней назад гипс снят и направлен к нам. Пациент активный, оптимист, никогда ничем не болел. Локально: тугой ложный сустав с варусной деформацией, клиника полного повреждения лучевого нерва (со слов до операции также рука висела), контрактура локтевого сустава , разгибательная контрактура л/з сустава и пальцев, воспалительных изменений нет. От предложенного БИОС по финансовым соображениям отказался. Предварительный план лечения: удаление металлоконструкций, ревизия лучевого нерва (возможно, пластика нерва), освежение концов до появления "росы", и адаптация концов возможно по типу "русского замка", фиксация либо аппаратом Илизарова, либо пластиной (у нас обычные пластины ЦИТО типа DCP), возможно укорочение на 2-3 см, но это для плеча большого значения не имеет, главная ранняя и усиленная разработка движений в суставах руки. Уважаемые коллеги, не осуждайте строго за банальность, я пишу про то, что имеем и сможем , и если можно прошу помочь советом, или примерами из практики. С уважением Абдурашид.
<
|
>
|
|
Ответить
|
Re: Ложный сустав плечевой кости
Павел К. 19 Ноябрь 2013, 13:59
|
План бы выбрал такой: удаление МК, ревизия нерва (ОБЯЗАТЕЛЬНО), резекция или обработка ложного сустава и костная пластика (ориентироваться по месту). А чем фиксировать? Очень просится стержень с блокированием (даже самым дешевым отечественным имплантом) и крайне не хочется "обычная" пластина... как вариант можно АВФ на любом осевом интрамедуллярном стержне (хоть Богдановский) с компрессией, ну или "по-Ключевскому" (титановый стержень прямоугольный в поперечном сечении).
|
[
Ответить ]
|
Re: Ложный сустав плечевой кости
Отправитель: eidelman mark 20 Ноябрь 2013, 02:58
|
Ne uveren chto nerv porvan, moghet ipovezet posle neurolysis
Posle ukorochenya moghno iplating
Ne dumau chto ughno muchat bolnogo Ilizarov
Mark Eidelman
|
[
Ответить ]
|
Re: Ложный сустав плечевой кости
Отправитель: Виталий Делянко 20 Ноябрь 2013, 19:51
|
ughno muchat bolnogo Ilizarov - обидное высказывание и не совсем уместно в данном случае.Был бы жив Гаврила Абрамович, думаю он бы ван ответил достойно в свойственной ему манере!
Ну а от себя растолкую популярно - что те кто делали первый синтез напортачили не от хорошей жизни -оснащение наверное на нуле.Автор сообщения тоже ищет недорогой и надежный способ.Предложеный выриант опробован около 10 раз- результаты превосходны!Ну а если кто то не умеет накладывать аппарат на плечо, Илизарова вины тут нет никакой.Удачи вам Абдурашид.
|
[
Ответить ]
|
Re: Ложный сустав плечевой кости
Отправитель: Иван 20 Ноябрь 2013, 15:06
|
Павел,если не было бы необходимости удалять проволоку, обязательно было бы ли ревизовать лучевой нерв?
|
[
Ответить ]
|
Re: Ложный сустав плечевой кости
Отправитель: Ельцин Александр 20 Ноябрь 2013, 23:47
|
Павел, ответьте, пожалуйста Ивану.
|
[
Ответить ]
|
Re: Ложный сустав плечевой кости
Отправитель: Абдурашид 21 Ноябрь 2013, 21:37
|
Спасибо уважаемые коллеги. Марк я не очень понял, вы предлагаете пластину?, у нас LCP не имеется. На счет лучевого нерва, прошло более 4х месяцев, никаких признаков восстановления, (обычно предлагают ждать 4-5 месяцев), я думаю ревизия нерва необходимо, osteograft-пересадка мертвой кости(без микрохирургии) думаю тоже не очень помогает, лучше укоротить до здоровой кости и спице-стержневая ЧКДО аппаратом Илизарова, или еще имеется титановый стержень заимствованный у А.Н Челнокова.
С уважением Абдурашид.
|
[
Ответить ]
|
Re: Ложный сустав плечевой кости
Отправитель: Александр 25 Ноябрь 2013, 19:03
|
Не вижу повода не наложить пластину. Процент ложняков значительно ниже, чем на стержнях. Да и при дистальном блокировании попасть на нерв, что два факса отослать. А блокировать нужно. Тонус мышц-то снижен. Иначе подошла бы первичная динамизация. Кость ведь висячая и за счёт тонуса мышц плеча дистальный отломок подтягивался бы проксимально. А укорачивать кость всё равно придётся, так как натяжение нерва при его ушивании недопустимо.
Хотя не факт, что он повреждён. Лучевой нерв - это загадка.
|
[
Ответить ]
|
Re: Ложный сустав плечевой кости
Отправитель: Павел К. 22 Ноябрь 2013, 21:08
|
Извините за задержку ответа.
Ревизию нерва желательно сделать, т.к. никто, кроме авторов сего "произведения" (... не факт), не знает его состояния... что с ним??? Цел ли он механически или это тяжелая нелеченная невропатия?! Если цел, то это очень хорошо, аккуратно освободите "его" от рубцов, отодвините от кости и начнете лечить. НУ а если полное повреждение, то у Вас, и у пациента, будет четкое представление о перспективах дальнейшего ортопедического лечения (в том числе контрактур кисти и прочего).
|
[
Ответить ]
|
Re: Ложный сустав плечевой кости
Отправитель: Alexander Chelnokov 23 Ноябрь 2013, 11:01
|
Если цел, то это очень хорошо, аккуратно освободите "его" от рубцов, отодвините от кости и начнете лечить.
Если цел - то операция была не нужна. И была дополнительным фактором риска повреждения нерва. Зачем нерв отодвигать от кости? А что такое "начнете лечить"?
|
[
Ответить ]
|
Re: Ложный сустав плечевой кости
Отправитель: Павел К. 23 Ноябрь 2013, 16:14
|
Уважаемый Александр Николаевич!
По описанию автора поста, на данный момент у врачей нет представления о том, цел ли нерв или нет?!(Поправьте, если я не правильно понял!). Имея неврологическую симптоматику "полного повреждения" задумываться о интраоперационных "факторах риска" нужно обязательно.
"Зачем нерв отодвигать от кости?" - Если предстоит какой-то из видов костной пластики в зоне ЛС, то я считаю логичным отодвинуть "нежный" лучевой нерв от зоны прогнозируемого образования грубых рубцов, которые могут явиться причиной сдавления.
"А что такое "начнете лечить"?" - Это целая отдельная тема, которую необходимо обсуждать совместно с микрохирургами. Даже в отечественной литературе достаточно публикаций о лечении последствий повреждения лучевого нерва различными методами.
Например:
http://pmarchive.ru/myshechno-suxozhilnaya-plastika-pri-povrezhdeniyax-luchevogo-nerva/
http://www.dissercat.com/content/khirurgicheskoe-lechenie-bolnykh-s-izolirovannym-povrezhdeniem-luchevogo-nerva-i-v-sochetani
|
[
Ответить ]
|
Re: Ложный сустав плечевой кости
Отправитель: Павел К. 23 Ноябрь 2013, 16:42
|
Прошу прошения, поправлю сам себя.
"А что такое "начнете лечить?" - тут имелось ввиду консервативно-реабилитационное лечение совместно с неврологами и реабилитологами. А ссылки, указанные ранее, относятся к хир.лечению последствий.
|
[
Ответить ]
|
|
Re: Ложный сустав плечевой кости
Vsevolod Kalenskiy 24 Ноябрь 2013, 16:45
|
Если есть стержень, то, кажется, можно и без резекции обойтись.
|
[
Ответить ]
|
Re: Ложный сустав плечевой кости
Лушников С.П. 14 Декабрь 2013, 18:45
|
Уважаемый Абдурашид!
Если еще не поздно пишу.
4 месяца после операции не повод говорить о ложном суставе. Подойдет любой метод остеосинтеза, которым Вы владеете, но с хорошей адаптацией костных фрагментов. Укорочение сегмента значения не имеет, лишь бы срастить. Ревизию нерва сделать нужно. Если найдете его повреждение или дефект, можно восстановить нерв, но это уже микрохирургия. Однажды я сделал пластику дефекта лучевого нерва на уровне спирального канала до 12 см и получил полное восстановление функции кисти.
|
[
Ответить ]
|
Re: Ложный сустав плечевой кости
Отправитель: Абдурашид 14 Декабрь 2013, 23:04
|
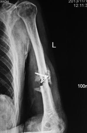
Уважаемые коллеги, прошу прощения за задержку ответа. Операцию проводили 27.11.13г по настоятельной просьбе докторов там, где был оперирован, поэтому пришлось долго ждать контроль.Р-грамму и самого больного, только сегодня приехали. Операция более 4 часов, во время операции установлено полное повреждение лучевого нерва, концы булавовидно утолщены, дефект 2,5-см, с трудом и очень долго пришлось мобилизовать, частично был замурован костной мозолью . Кость укорочена на 3 см, пластика типа русского замка, в это время часть дистального отломка откололась, поэтому пришлось фиксировать винтом, и еще косо спицей., и/м 4-мя спицами, шов нерва, под нервом слой мышца, АВФ из двух колец с компрессией. Р-снимки прилагаются.
С уважением Абдурашид.
P.S. Со слов больного на днях начались периодические стреляющие боли в дистальной части руки.
|
[
Ответить ]
|
|
( Ответить )
|
|