ВХОД ДЛЯ ПАЦИЕНТОВ
вверх
поиск
админ
главная
исходное
|
Re: Застрелый вывих предплечья
послал Djoldas Kuldjanov, M.D. 12 Декабрь 2013, 15:57
|
Уважаемые коллеги,
“Если сохранится нестабильность, потребуется или шов передней порции медиальной коллатеральной связки с иммобилизацией верхней конечности аппаратом внешней фиксации (желательно с сохранением движений в локтевом суставе) или только аппарат(мнения расходятся). Аппарат 6 недель. Результаты лечения таких повреждений не очень хорошие”
Надеюсь, что разбор на Форуме был полезным, и с учетом всех тех предложений, смогли оказать помощь вашей пациентке. Вместе благодарности коллегам, лучше покажите результат. Случай сложный, будет полезным обменяться опытом и рассказать детали операции.
Если до сих пор не принято решение, тогда хотел напомнить, что в скелетной травме существует термин "ургентная ортопедия", который обязывает решать срочные ортопедические проблемы безотлогательно, независимо от времени суток. Но в жизни, из-за недостаточности опыта врача или материальных возможностей, бывает невозможно решить проблему своевременно.
Кстати, ургентные ситуации в ортопедии: нарушения кровообращения (холодная конечность без пульса) подозрение на компартмент синдром и все виды переломо-вывихов.
Здесь не тот случай, когда надо рассуждать о целосообразности дополнительных исследовании. Если вывих доказан даже минимальным исследованием, тогда нет смысла в дополнительных рентгене или КТ срезах, тем более 3Д. Затяжка нерепонированного вывиха может привести к осложнениям.
Вместо ожиданий, срочно надо идти на устранение вывиха, включая открытое. После репозиции проверить на стабильность. Нестабильный сустав трудно удержать в гипсе, в закрытом гипсе легко снова вывихивается и это пропускается. При отсутствии другого метода фиксации, надо постоянно следить за состоянием конечности в гипсе. Распознанный вовремя вывих спасет от неприятностей в будущем.
Если сустав стабильный, тогда надо дополнительные исследования. Окончательный метод лечения - на основании новых данных. При нестабильности, некоторые до улучшения кондиции мягких тканей предпочитают временный наружный фиксатор, а потом планировать фиксацию?
Наш опыт лечения серьезных суставных повреждений доказывает то, что сложные внутри и внесуставные операции не всегда приводят к успеху. Независимо от сложности операции остаются ограничения движений и нестоятельности в суставе.
В общем, я хотел сообщить об алгоритме, который применяем у себя. Еще в 1998 году мой партнер по работе Kathy Kramer (скоропостижно скончалась, в ОТА под ее именем имеется грант) написала про наш опыт лечения трансартикулярной фиксацией в 29 случаев вывиха. Кстати, вспомнил прошлогодний спор коллег на Форуме, где площадь повреждения хряща спицами измеряли в мм2. Конечно, такая защита хряща радует, но при игнорированных неделями вывихах? Из-за критики повреждения хряща не позволили опубликовать статью.
Несмотря на отрицательный отзыв, некоторые нестабильные вывихи лечим трансартикулярным методом. Тонкие спицы ломаются и имеют риск внутрисуставной инфекции. Винты 3.5 мм не выдерживают, а более толстые каннюлированные винты неплохо проявили себя. Неосторожность при установке приводила к поломке тонких guide wire внутри сустава. Лучшие кортикальные в 4.5 мм и гипс на три недели. Винт удаляется, затем разработка сустава.
Иногда гипс не гарантировал стабильность и винт внутри гипса ломался. Удаление сломанного винта облегчаем, оставляя на пару мм длиннее с наружной стороны, Т.е винт через олекранон над наружный мыщелок, и никогда в трубку диафиза! Из малого разреза кончик сломанного винта удаляется без проблем.
В заключение: результат применения трансартикулярной фиксации (более 20 лет) в сравнении со сложными реконструктивными операциями показывает лучшую амплитуду движений! Возможно, у коллег имеются другие варианты, а мы без привлечения больших затрат решаем проблему.
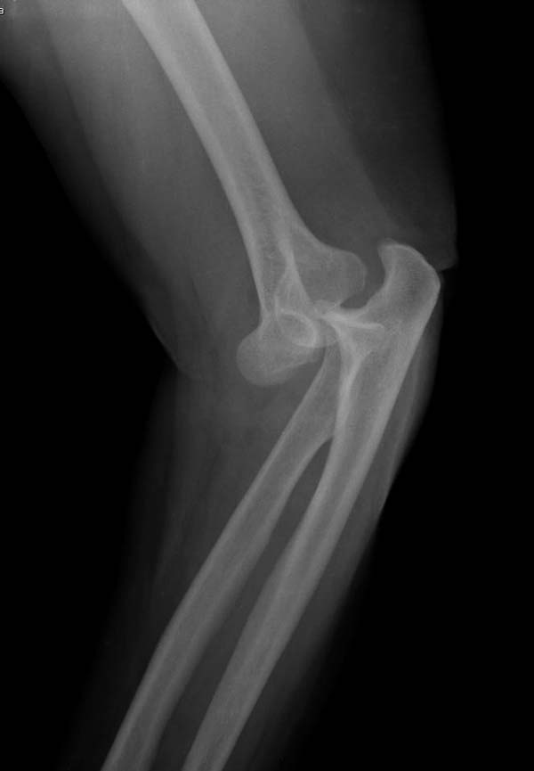
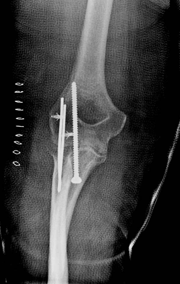
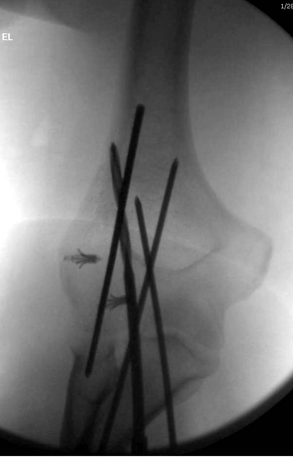
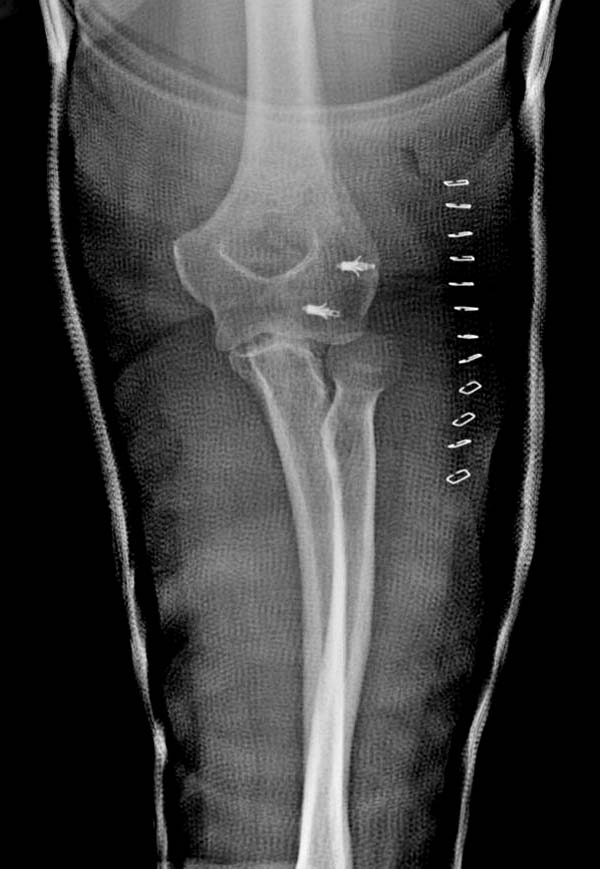
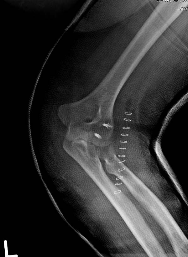
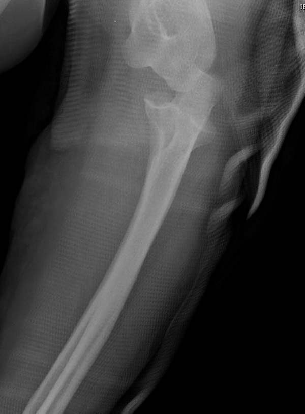
Для примера здесь случай начатый в другом центре, а потом переправленный к нам.

Снимки: 1-2 вывих, 4-5 вторичное смещение в гипсе, реконструкция латеральной связки и капсулы 13-14, повторный вывих после реконструкции, перевод в наш центр; 18-21 временная фиксация, 22-25 трансартикулярная фиксация и нестабильная головка фиксирована спицами, 29-30 амбулаторно, 32-33 после удаления винта и спиц...
Джолдас Кульджанов
|
| Послать ответ |
Обратите внимание: Поля с жирными названиями обязательны.
Старайтесь отвечать в рамках обсуждаемой темы, а не начинать новые обсуждения.
Указывайте адекватную тему сообщения, чтобы было ясно, о чем оно.
Не послайте сообщений не по теме (оффтопик), раздраженных, грубых или обидных комментариев. Здесь это неуместно.
|