Ответить
|
Re: открытый многооскольчатый перелом луча
Дмитрий Рябов 25 Ноябрь 2013, 20:56
|
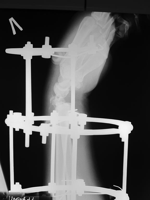
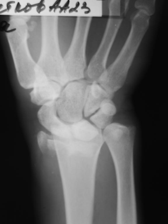
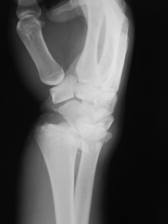
Рентгенограммы:

|
[
Ответить ]
|
Re: открытый многооскольчатый перелом луча
Савранский Александр 26 Ноябрь 2013, 00:32
|
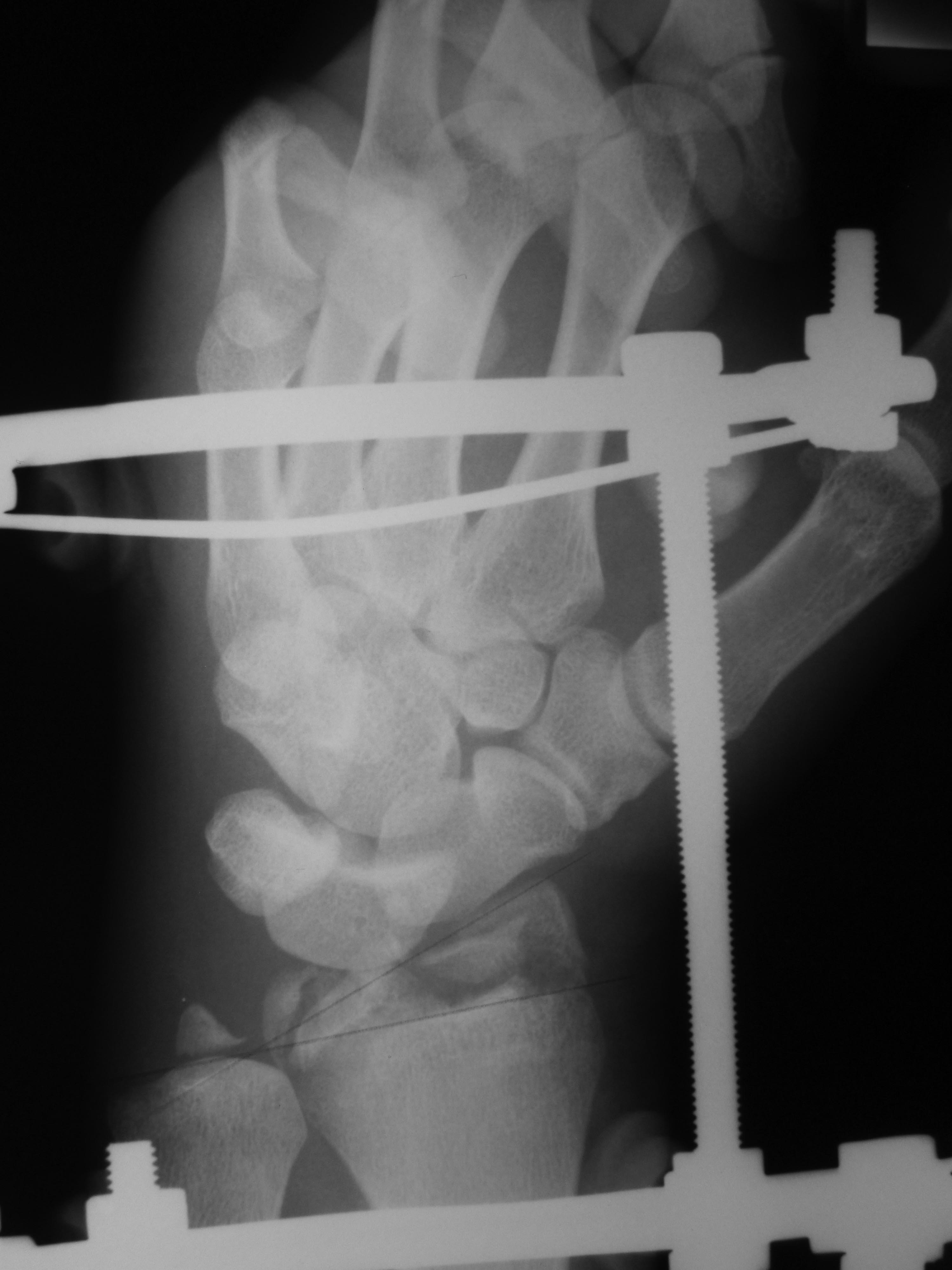
Здравствуйте! Кисть в подвывихе к тылу. Возможно стоит вставить в дистальное кольцо шарниры или вставки, для того, чтобы тракцию осуществлять под углом, т.е. в ладонную сторону. Пример аппарата во вложении, только тут тракция в другую сторону - к тылу, а вам надо в ладонную.
1370849985799.jpg
41KB (42616 bytes)
|
[
Ответить ]
|
Re: открытый многооскольчатый перелом луча
Pavel 28 Ноябрь 2013, 00:23
|
Приветствую! Учитывая многооскольчатый характер перелома (тип С) и открытый характер перелома конечно АВФ, только нужны шарниры на дистальное кольцо и локтевая девиация
|
[
Ответить ]
|
Re: открытый многооскольчатый перелом луча
Мельников В.С. 29 Ноябрь 2013, 09:16
|
без открытого вмешательства после заживления раны обойтись будет очень трудно
|
[
Ответить ]
|
Re: открытый многооскольчатый перелом луча
Дружинин М.П. 30 Ноябрь 2013, 07:48
|
Это классический переломо-вывих в лучезапястном суставе, выделенный АО в отдельную подгруппы - 23-В2.3. В свежем случае здесь показано закрытое вправление и наружная фиксация повязками или аппаратом, в качестве окончательного метода для предотвращения нестабильности сустава рекомендуется восстановление капсулы сустава, в первую очередь тыльной - т.е. репозиция и фиксация всех этих мелких фрагментов, послеоперационная иммобилизация аппаратом внешней фиксации
|
[
Ответить ]
|
( Ответить )
|