AOTRAUMA.ORG Центр Илизарова  

Ортопедия и травматология Общие вопросы/General questions Help Информационные технологии в медицине
 вверх
 отправить
 поиск
 админ
 главная


Дефект 2-й пплюсневой кости
Ортопедия и травматология Отправлено Виталий 25 Ноябрь 2013, 18:22 КБ № 81 ФМБА России
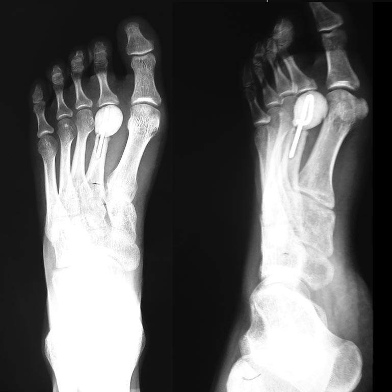
Здравствуйте, коллеги. К нам обратилась пациентка, девушка 1990 г р с жалобами на боли в стопе. На Р-снимках замещенный дефект головки 2-й плюсневой кости цементным спейсером и спицей.
По видимому ранее ей оперировали Келера 2. Думаю, что боли возникают из-за нестабильности спицы в костно-мозговом канале 2 ПК.
Подскажите, пожалуйста, чем ей помочь.
У нас варианты:
- замещение головки основной фалангой 5-го пальца, но кость слишком короткая
-замещение головки трансплантатом из малоберцовой кости, но тогда нужна суставная поверхность
-установка эндопротеза 2 ПК, но Moje не предлагает протез с длинной ножкой, а где такой взять, я не знаю

<  |  >

 

  • Сообщения о Ортопедия и травматология
  • Также Виталий
  • Связаться с автором
  • Ответить

    Re: Дефект 2-й пплюсневой кости
    Савранский Александр 26 Ноябрь 2013, 20:27
    здравствуйте! можно заместить дефект малоберцовой костью. Но непонятен смысл предыдущей операции, цементный спейсер выполнял функцию эндопротеза или входил в этап лечения?
    [ Ответить ]

    • Re: Дефект 2-й пплюсневой кости
      Отправитель: Виталий 27 Ноябрь 2013, 07:16
      У этой пациентки было полное разрушение головки и шейки 2-й плюсневой кости, установка цементного спейсера на спице было мерой замещения костного дефекта. Но эта мера неэффективна, так как сохраняется болевой синдром. На Р-снимках видна резорбция костной ткани в области стояния спицы

      [ Ответить ]
      • Re: Дефект 2-й пплюсневой кости
        Отправитель: Савранский Александр 28 Ноябрь 2013, 00:31
        цементный спейсер не может выполнять функцию эндопротеза перманентно да и эндопротез рано или поздно расшатается. пациентка молодая - на мой взгляд надо замещать аутокостью

        [ Ответить ]

     

    ( Ответить )

    Powered by Zope  Squishdot Powered MedLink
    Посетитель: 0194283
      "По форме правильно, а по существу - издевательство" В.И.Ленин
    ©2001-2019Orthoforum Coordinator.
    [ Главная | Отправить сообщение | Поиск | Админ ]